JAAD Flashcards

(59 cards)

1
Q
A

Reactive angioendotheliomatosis (RAE), rare, benign entity characterized by proliferation of endothelial cells within vascular lumina. Tx: steroids & treat underlying disorder (SLE, infection, heart dx)

How well did you know this?
1
Not at all
2
3
4
5
Perfectly
2
Q
A

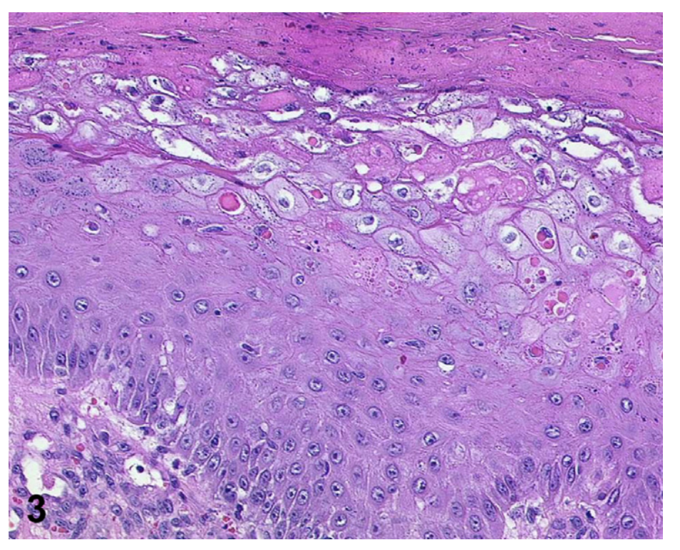
Kaposi’s varicelliform eruption

How well did you know this?
1
Not at all
2
3
4
5
Perfectly
3
Q

Which of the following factors does not increase risk of herpes infection in patients with atopic dermatitis?
A. Increased IFN-g levels
B. Increased total IgE levels
C. Impaired skin barrier
D. Filaggrin mutation FLGR501X
E. Increased Staphylococcus aureus (S. aureus) colonization

A

A. Increased IFN-g levels

IFN-g levels are decreased in patients with AD because of an upregulation of interleukin 4 and interleukin 5. IFN-g has a decisive role in viral defense mediated by CD8 T lymphocytes; its reduction may induce susceptibility to HSV.

How well did you know this?
1
Not at all
2
3
4
5
Perfectly
4
Q

Examples of septated fungi?

A

Aspergillus, Fusarium, and Candida species

How well did you know this?
1
Not at all
2
3
4
5
Perfectly
5
Q

Pauci-septated fungal hyphae branching at right angles is seen in?

A

Mucormycetes

How well did you know this?
1
Not at all
2
3
4
5
Perfectly
6
Q

What virulence factor do mucormycotic infections utilize?
A. Iron sequestration
B. Melanin production
C. Polysaccharide capsule
D. Thermal dimorphism
E. Hydrolytic enzyme secretion

A

A. Iron sequestration
Mucormycetes sequester iron from their host to support their survival. For this reason, patients with a state of iron overload have an increased incidence and severity of invasive mucormycosis.

How well did you know this?
1
Not at all
2
3
4
5
Perfectly
7
Q

What is the most likely diagnosis?
A. Exanthematous drug eruption
B. Symmetrical drug-related intertriginous and flexural exanthema
C. Urticaria
D. Unilateral laterothoracic exanthem (ULE)
E. Atypical pityriasis rosea

A

D. Unilateral laterothoracic exanthem (ULE)
Also known as asymmetric periflexural exanthem, this is an uncommon uni- lateral self-limited morbilliform rash often depic- ted in children in which the cause is unknown but viral origin is suspected. It can be quite pruritic, persists an average of 5 weeks, and heals with desquamation. ULE has been previously reported following both COVID-19 infection and vaccina- tion, both mRNA and recombinant; therefore, COVID-19 testing is advised to rule out active infection.

How well did you know this?
1
Not at all
2
3
4
5
Perfectly
8
Q

Which of the following has NOT been reported as a cutaneous reaction after mRNA COVID-19 vaccinations?
A. Delayed large local arm reactions
B. Cosmetic filler reactions
C. Bazex syndrome
D. Chilblain-like lesions
E. Herpes zoster

A

C. Bazex syndrome
Bazex syndrome, also known as acrokeratosis paraneoplastica, is a paraneoplastic syndrome in which hyperkeratotic lesions appear on acral surfaces in association with internal malignancies. There have been no reported cases of Bazex syndrome occurring after COVID-19 vaccination.

How well did you know this?
1
Not at all
2
3
4
5
Perfectly
9
Q

What is the most likely diagnosis?
A. Kimura disease
B. Scrofuloderma
C. Rosai-Dorfman disease
D. Hodgkin lymphoma
E. Autosomal dominant hyper-IgE syndrome

A

A. Kimura disease
Kimura disease is a rare chronic inflammatory disorder of unknown etiology that often presents with painless lymph nodes or subcutaneous lymphoid masses in the head and neck region. The disease occurs predom- inantly in Asian individuals, and men are more commonly affected than women. Elevated serum IgE level and peripheral eosinophilia are helpful clues.

How well did you know this?
1
Not at all
2
3
4
5
Perfectly
10
Q

Which of the following is a prom- ising long-term treatment option for this patient with Kimura disease?
A. Corticosteroids
B. Cyclosporine
C. Surgery
E. Radiation therapy
F. Dupilumab

A

F. Dupilumab
Dupilumab is an inter- leukin 4 (IL-4) alpha antagonist that inhibits IL-4 and IL-13 signaling and has been shown to be an effective long-term treatment option in patients with Kimura disease. It would also be helpful for our patient’s comorbid conditions, atopic dermatitis, and asthma.

How well did you know this?
1
Not at all
2
3
4
5
Perfectly
11
Q

Histopathology of Monkeypox (Orthopox virus)?

A

Ballooning degeneration of keratinocytes with the presence of eosinophilic intracytoplasmatic inclusion bodies (Guarnieri bodies) is consistent with infection from Orthopox virus.

Dermoscopy with the trizonal pattern of central necrosis, white peripheral halo, and a paler pink zone has been also described as a reproducible and additional supportive tool to integrate clinico- pathological correlation when dealing with lesions potentially related to monkeypox.

How well did you know this?
1
Not at all
2
3
4
5
Perfectly
12
Q

What is the most typical presentation of secondary multiple miliary osteoma cutis?
A. Male patient, lesions on the face
B. Female patient, lesions on the face
C. Male patient, lesions on the trunk
D. Female patient, lesions on the trunk
E. Monomorphous pink papules on the face and trunk

A

B. Female patient, lesions on the face
Secondary MMOC typically occurs on the face and tends to affect middle-aged women with a sex ratio of 8:1

How well did you know this?
1
Not at all
2
3
4
5
Perfectly
13
Q

Which of the following drugs is the most common trigger of this condition (photo recall dermatitis)?
A. Methotrexate
B. Simvastatin
C. St. John’s wort
D. Trastuzumab
E. Doxycycline

A

A. Methotrexate
Photo recall dermatitis is most commonly precipitated by chemothera- peutic agents. Methotrexate, an antimetabolite anti- neoplastic is the most commonly implicated drug in the development of this condition.3 Other common implicated drugs include taxanes, which our patient received, and antibiotics.

How well did you know this?
1
Not at all
2
3
4
5
Perfectly
14
Q

What is the pathophysiologic mechanism of bullae formation in pemphigoid gestationis?

A

Th2 response to placental tissues causing degradation of the dermoepidermal junction.
Gestational hormonal changes cause a Th2 immune response to placental tissue leading to the formation of bullous pemphigoid-180 auto- antibodies that activate complement and chemo- taxis of eosinophils. Eosinophilic degradation of the dermoepidermal junction leads to the formation of bullae.

How well did you know this?
1
Not at all
2
3
4
5
Perfectly
15
Q

What location is most common for verrucous xanthomas to appear?

A

Oral cavity. In most cases, verrucous xanthomas appear as a solitary slow growing lesion affecting the oral cavity. A large case series, including 212 cases, reported that more than 50% of lesions were located on the gingiva.
Excision of the lesion is sufficient treatment of the lesion, with recurrence being rare.

How well did you know this?
1
Not at all
2
3
4
5
Perfectly
16
Q

What is the most likely diagnosis?
A. Leukocytoclastic vasculitis (LCV)
B. Erythema multiforme
C. Pityriasis lichenoides et varioliformis acuta (PLEVA)
D. Leukemia cutis
E. Lymphomatoid papulosis (LyP)

A

C. Pityriasis lichenoides et varioliformis acuta (PLEVA)
PLEVA can present with acute, recurrent erythematous-to-red-brown papules that may crust or ulcerate. Histological features include parakeratosis, interface dermatitis with a lichenoid band, and a wedge-shaped lymphocytic infiltrate.1 This patient specifically has Febrile Ulceronecrotic Mucha Haberman Disease (FUMHD), diagnosed as the most severe transformation of pityriasis lichen- oides. It may be characterized by painful necrotic lesions, a high fever, and other systemic symptoms; however, there is no definitive criteria for diagnosis.

How well did you know this?
1
Not at all
2
3
4
5
Perfectly
17
Q
A

Angina bullosa hemorrhagica (ABH). ABH is a poorly understood condition characterized by recurrent, short-lived, hemorrhagic bullae located on the mucous membrane lining the oral cavity.1 The bullae rapidly expand and then spon- taneously rupture and heal without scarring or discomfort. Histologic findings in ruptured lesions show epidermal erosions. In this case, H&E stained sections reveal a submucosal bulla with denuded but otherwise unremarkable mucosa (Fig 2, A and B). The dermis is notable for marked papillary edema with a mixed inflammatory infiltrate consist- ing predominantly of lymphocytes and scattered neutrophils. (Fig 2, C and D). No vasculitis or intraepidermal separation is identified, and DIF studies are negative.

How well did you know this?
1
Not at all
2
3
4
5
Perfectly
18
Q

Tumors involving the eyelid margin with pagetoid spread next step in management?

A

Conjunctival map biopsies

How well did you know this?
1
Not at all
2
3
4
5
Perfectly
19
Q

Which of the following is the most common initial presentation of EGPA?
A. Adult-onset asthma
B. Pulmonary nodules
C. Polyneuropathy
D. Cardiomyopathy
E. Glomerulonephritis

A

A. Adult-onset asthma
EGPA progresses through 3 phases—an initial prodrome of atopic disease, an eosinophilic phase with systemic involvement, and a vasculitic phase. Adult-onset asthma has been reported in 96% to 100% of cases during initial presentation. Additionally, sinusitis and recurrent allergic rhinitis are common findings.

How well did you know this?
1
Not at all
2
3
4
5
Perfectly
20
Q

Which enzyme is involved in the pathway of ochronosis?

A

Homogentisate oxidase
This patient’s hyperpigmentation is a result of the local competitive inhibition of homogentisic oxidase by hydroquinone.4 This leads to the accumulation of homogentisic acid in the skin.

How well did you know this?
1
Not at all
2
3
4
5
Perfectly
21
Q

Tinea pedis, tear-drop shaped microconidia, producing port-wine pigment?

A

T. rubrum

How well did you know this?
1
Not at all
2
3
4
5
Perfectly
22
Q

Medlar bodies “copper pennies” are diagnostic of infection with which organism?

A

Chromomycosis

How well did you know this?
1
Not at all
2
3
4
5
Perfectly
23
Q

Which of the following dermo- scopic findings is commonly seen in BCC but uncommon in trichoblastoma?
A. Arborizing vessels
B. Blue ovoid nests
C. Ulceration
D. Crystalline structures (chrysalis)
E. Blue-grey globules

A

B. Blue ovoid nests
The clinical and dermoscopic findings for both trichoblastoma and BCC are extraordinarily similar, which presents a diagnostic challenge. Clinically, both tend to pre- sent as slow-growing telangiectatic nodules, often on the head and neck in older patients. Even under dermoscopy, BCC and trichoblastoma share many of the same findings such as arborizing vessels and blue-grey globules; however, the finding of blue ovoid nests is frequently seen in BCC (64%) but is uncommon in trichoblastoma (15%).

How well did you know this?
1
Not at all
2
3
4
5
Perfectly
24
Q

For patients with biopsy-proven trichoblastoma, what is the most appropriate next step?
A. Management and treatment will vary by case
B. Surgical excision
C. Clinical monitoring
D. Mohs micrographic surgery
E. Superficial radiation therapy

A

A. Management and treatment will vary by case.
Despite being a benign tumor, trichoblastoma has the potential for malignant transformation into trichoblastic carcinoma. Unlike BCC, which rarely ever metastasizes, trichoblastic carcinoma is more aggressive with a much higher metastatic potential and mortality. Because of the possibility for malig- nant transformation, surgical excision of trichoblas- toma is often performed and may sometimes even be necessary for accurate histologic diagnosis.

25
What's the diagnosis? Treatment?
Papular acantholytic dyskeratosis (PAD) (of the genitocrural folds). Discrete white to skin-colored smooth or verrucous papules that coalesce into plaques on the vulva and perineum reflect the morphology of PAD. PAD is a rare chronic acantholytic dermatosis that presents in young women with asymptomatic but persistent lesions limited to the genital, inguinal, and perineal skin. PAD occurs less frequently in men and can involve the penis, scrotum, perineum, or thighs. Histology shows overlapping features of Hailey-Hailey and Darier disease, including suprabasilar acantholysis, parakeratosis, and dyskeratosis. Tx: Combination oral magnesium, low-dose naltrexone, and isotretinoin.
26
Genetic mutation has been implicated in papular acantholytic dyskeratosis? A. ATP7A B. ATP2A C. ATP2C1 D. Postzygotic somatic mutation E. Loss of heterozygosity mutation
C. ATP2C1 Historically, PAD was considered to be a separate entity from Hailey-Hailey disease, occurring sporadically in patients without family history. However, evidence of mutations in the ATP2C1 gene suggests a relation to Hailey-Hailey disease. ATP2C1 encodes a calcium- dependent Golgi apparatus ATPase involved in desmosome protein function.
27
Which of the following is not a risk factor for angiosarcoma? A. Human herpes virus 8 B. Klippel-Trenaunay syndrome C. Radiation therapy D. Postebreast cancer treatment E. Milroy disease
A. Human herpes virus 8 HHV8 does not have an established association with angiosarcoma
28
Angiosarcoma stains?
positive for CD30 and CD15
29
Which of the following is not a mainstay for management of pemphigus vulgarism? A. Rituximab B. Prednisone C. Azathioprine D. Mycophenolate mofetil E. Etanercept
E. Etanercept The use of etanercept has been piloted with a very few patients, and the effect was found to be inconclusive.
30
What would one expect to see in a biopsy of Lupus miliaris disseminatum faciei? A. Dermal granulomatous reaction with central caseous necrosis B. Dilated hair follicles containing keratin, seba- ceous, and bacterial debris C. Noncaseating naked granulomas D. Paisley-tie pattern of tadpole-shaped ducts E. Suppurative granulomas containing Kinyoun-positive bacilli
C. Noncaseating naked granulomas Noncaseating naked granulomas are characteristic of sarcoidosis. The lack of necrosis helps to distin- guish this entity from LMDF. In addition to the histologic differences between these diagnoses, additional studies such as chest x-ray, serum cal- cium, and serum angiotensin-converting enzyme levels are helpful in further excluding sarcoidosis.
31
What is the underlying pathologic mechanisms contributing to retronychia? A. Proximal nail fold trauma B. Irritant dermatitis C. Chronic fungal infection D. Chronic bacterial infection E. Nail matrix trauma
E. Nail matrix trauma Retronychia occurs secondary to minor physical trauma to the nail matrix often from the distal free edge of the nail plate being pushed backwards into the nail matrix, as would happen with long nails or with poor fitting footwear. might be a singular event, such as a stubbed toe, or might occur from repetitive trauma as one might experience with jogging, dancing.
32
In addition to the lungs and skin, which other organs (or organ systems) are most commonly involved in blastomycosis? A. Bone, CNS, genitourinary tract B. Bone, endocrine system, heart C. CNS, digestive system, heart D. CNS, genitourinary tract, heart E. Digestive system, heart, genitourinary tract
A. Bone, CNS, genitourinary tract Blastomycosis most often results from inhalation of Blastomyces dermatitidis conidia resulting in a pneumonia-like illness. It can spread via hematogenous or lymphatic systems to the skin (most common), bone, central nervous system, and genitourinary tract.
33
What is the best treatment option for North American blastomycosis? A. Amphotericin B B. Echinocandins C. Fluconazole D. Itraconazole E. Voriconazole
D. Itraconazole Itraconazole is the preferred agent for immunocompetent patients with mild to moderate disease. Amphotericin B reserved for CNS involvement or immunocompromised. Fluconazole not as effective as Itraconazole.
34
Kaposiform hemangioendothelioma stains positive for?
Podoplanin/D2-40 Negative for GLUT-1 and HHV-8.
35
First-line treatment for kasabach-Merritt phenomenon? A. Endoscopic sclerotherapy B. Propranolol therapy C. High-dose systemic corticosteroids D. Interferon-a E. Vincristine
E. Vincristine Vincristine is a vinca alkaloid antimitotic agent that blocks formation of microtubules in cells. Intravenous vincristine has been found to decrease tumor size, reduce pain, and improve the aesthetic appearance of Kaposiform hemangioendothelioma.
36
Ichthyosis bullosa of Siemens defect in?
Keratin 2e defect. It presents with blistering, mild hyperkeratosis of extremities, and superficial peeling of the skin, a distinctive feature called the "Mauserung phenomenon" that is absent in other forms of ichthyosis.
37
What is Laugier-Hunziker syndrome?
A benign, acquired condition that involves gradual progression of asymptomatic macular hyperpigmentation of the mucocutaneous surfaces and nails.
38
Histopathology of FDE?
FDE will manifest as a lichenoid tissue reaction with dyskeratotic necrotic cells within the epidermis along with vacuolar changes at the dermoepidermal junction and edema at the papillary dermis. Superficial and deep interstitial and perivascular infiltrate composed of lymphocytes, eosinophils, and occasionally neutrophils is commonly found within the papillary and mid-dermis. Damage to the melanocytes within the basal layer leads to pigmentary incontinence and leakage of melanin into the papillary dermis that is engulfed by macrophages.
39
What is the most common laboratory finding in Cholesterol embolization syndrome? A. Neutropenia B. Peripheral blood eosinophilia C. Leukocytosis D. Elevated ESR E. Thrombocytopenia
B. Peripheral blood eosinophilia Peripheral blood eosinophilia is common, occurring in up to 80% of cases. Fluctuations in eosinophilia count can be a clue to recurrent showering of emboli.
40
Hemosiderotic fibrolipomatous tumor staining profiles?
CD34+, rest are negative Has identical chromosomal translocation as Myxoinflammatory fibroblastic sarcoma
41
Which of the following is NOT an acceptable treatment for neurotic excoriation? A. Habit reversal therapy B. Prednisone C. Opioid antagonists D. N-acetyl cysteine E. Topical timolol
B. Prednisone Other pharmacologic therapies that have shown success in the treatment of ED include selective serotonin reuptake inhibitors, benzodiazepines, opioid antagonists, lamotrigine, and inositol. Prednisone has not been identified as a therapy for ED.
42
All of the following are included in the histopathologic differential diagnosis of pagetoid spread except: A. Melanoma B. Squamous cell carcinoma in situ C. Sebaceous carcinoma D. Extra Mammary Paget's disease E. Mycosis fungoides
E. Mycosis fungoides Mycosis fungoides histopathologically shows a band-like lymphocytic superficial infiltrate. Atypical lymphocytes
43
What cancer is most often associated with erythroderma of Ofuji? A. CTCL B. Kidney cancer C. Gastric cancer D. Non-Hodgkin lymphoma E. Bladder cancer
A. CTCL
44
What histopathologic findings are most commonly associated with erythroderma of Ofuji? A. Hyperkeratosis and parakeratosis with a peri- vascular infiltrate of lymphocytes and neutrophils B. Foci of orthokeratosis alternating with para- keratosis in vertical and horizontal directions C. Dermal infiltration of lymphocytes, histiocytes, and eosinophils D. Spongiosis, acanthosis, and an eosinophilic infiltrate
C. Dermal infiltration of lymphocytes, histiocytes, and eosinophils. Patients with PEO classically have dermal infiltrates consisting of lymphocytes (100%), histiocytes (87%), and eosinophils (82%). Neutrophils and giant cells are present in less than 5% of cases. In patients with mycosis fungoides manifesting as PEO, the infiltrate will have a high percentage of atypical lymphocytes, as seen in our patient.
45
What is the most likely diagnosis? A. Nevus comedonicus B. Milia en plaque (MEP) C. Syringoma D. Sebaceous hyperplasia E. Follicular mucinosis
B. MEP MEP is a rare primary milia characterized by an erythematous plaque containing numerous milia. The region commonly involved is the retroauricular area. Biopsy of this patient shows a keratin-filled cyst in the dermis.
46
Which of the following is associated with NXG? A. Diabetes mellitus B. Lung disease C. Multiple myeloma or monoclonal gammopathy of undetermined significance (MGUS) D. Diabetes insipidus (DI) E. Hyperlipidemia
C. Multiple myeloma or MGUS. The etiology of the NXG is unclear; however, up to 80% of patients can have associated monoclonal gammopathies, most commonly IgG-k; this can precede or follow the onset of cutaneous lesions by many years.
47
Which of the following would NOT be an appropriate treatment option for NXG? A. Observation B. Alkylating chemotherapeutic agents C. Corticosteroids D. Intravenous immunoglobulin E. Antimetabolites (methotrexate or azathioprine)
E. Antimetabolites (methotrexate or azathioprine)
48
What is the most likely diagnosis? A. Erythrokeratolysis hiemalis B. Erythrasma C. Tinea corporis and cruris D. Erythrokeratodermia variabilis (EKV) E. Progressive symmetric erythrokeratoderma (PSEK)
D. EKV EKV, an AD disorder, presents with transient erythematous patches and stable hyperkeratosis. Individual erythematous lesions persist for minutes to hours, although they may last for days. Simultaneously or over time hyperkeratosis evolves. Sharply demarcated, yellow-brown to pink-brown plaques with figurate borders progressively develop on the limbs, buttocks, and trunk in nearly symmetrical distribution. Histopathology shows orthokeratosis, basket-weave hyperkeratosis, moderate-to-severe acanthosis with prominent granular layer, papillomatosis, and dilated elongated capillaries with minimal perivascular inflammation in the papillary dermis.
49
Most likely mutation associated with Erythrokeratodermia variabilis? A. GJB3 and GJB4 B. SPINK5 C. KRT14 D. LOR E. KRT1, KRT10
A. GJB3 and GJB4 EKV is a disorder of cornification associated with noninflammatory erythema caused by dominant mutations in the connexin genes GJB3 and GJB4 clustered on human chromosome 1p35.1. Connexins are transmembrane proteins that form intercellular channels. Mutations result in altered activity of gap junctions and cause impaired epidermal differentiation. Commercial genetic testing is available to identify missense mutations in the coding sequence of the GJB3 and GJB4 genes. Responds to Isotretinoin.
50
Which of the following is NOT an endocrine abnormality associated with McCune-Albright? A. Precocious puberty B. Cushing syndrome C. Hypophosphatemic rickets D. Hyperthyroidism E. Hyperparathyroidism
E. Hyperparathyroidism Precocious puberty, Cushing syndrome, hypophosphatemic rickets, and hyperthyroidism are all reportedly associated with McCune-Albright syndrome. Hyperparathyroidism is the only endocrinologic sequelae listed that has not been reported to be associated with McCune-Albright syndrome.
51
McCune-Albright syndrome is a genetic mutation in? A. SPRED1; postzygotic mutation B. GNAS1; autosomal dominant C. PTPN11; autosomal dominant D. GNAS1; postzygotic mutation E. STS; X-linked recessive
D. GNAS1; postzygotic mutation McCune-Albright syndrome is caused by a nonheritable postzygotic mutation in the GNAS1 gene. This mutation is found only in individuals demonstrating mosaicism. The protein product of the GNAS1 gene, Gsa, is activated in excess as a result of this mutation, which overstimulates adenylyl cyclase, leading to an overproduction of intracellular cyclic adenosine monophosphate.
52
Which of the following is true regarding bacillary angiomatosis? A. A combination of 2 antibiotics is the first-line treatment of choice. B. In patients with advanced HIV infection, treat- ment can be suspended after 2 months if their CD4 cell count is greater than 100/"L. C. Transmission can occur through tick or flea bites. D. Cases have also been reported in solid organ transplant recipients but not in healthy individuals.
C. Transmission can occur through tick or flea bites. Bartonella infection is classically associated with exposure to cats, but transmission can also occur through arthropod vectors.
53
Additional tests, clinical and skin biopsy, to confirm Atypical leishmaniasis associated HIV? A. Rapid plasma reagin test and fluorescent treponemal antibody absorption (FTA-ABS) B. Montenegro skin test C. Bone marrow biopsy D. Anti-MDA5 (CADM-140) E. Muscular magnetic resonance imaging (MRI)
C. Bone marrow biopsy This sample may be used for culture and polymerase chain reactionebased assays. In our patient, culture and polymerase chain reaction of bone marrow were positive for Leishmania donovani.
54
Most likely diagnosis? Infectious Rheumatoid arthritis SAPHO syndrome
SAPHO syndrome SAPHO (synovitis, acne, pustulosis, hyperostosis, and osteitis) syn- drome is a rare disorder characterized by cutaneous and osteoarticular manifestations that include acne, palmoplantar pustulosis, psoriasis, arthralgia, chest pain, and enthesitis.
55
First-line treatment for SAPHO syndrome? A. Methotrexate B. Azathioprine C. Ibuprofen D. Infliximab E. Clindamycin
C. Ibuprofen SAPHO syndrome treatment is mostly supportive. Nonsteroidal anti- inflammatory drugs like ibuprofen are used for pain and isotretinoin for acne treatment. Isotretinoin may cause a dose- and duration-dependent hyperostosis similar to that seen in SAPHO syndrome called retinoid hyperostosis (RH). RH is most commonly asymptomatic and seen after long- duration therapy. RH is unlikely in our patient given her short duration of isotretinoin therapy and the long delay from retinoid exposure to symptom onset.
56
Neutrophilic eccrine hidradenitis, If this patient requires further chemotherapy, what is a potential treatment strategy to mitigate new lesions? A. Discontinue cytarabine B. Start low-dose methotrexate C. Avoid piperacillin-tazobactam D. Start dapsone before chemotherapy E. Start an oral retinoid
D. Start dapsone before chemotherapy
57
Lung involvement, bronchiectasis, in a patient with yellow nail syndrome (yellow nails, lungs and lymphedema), What other common association in this condition necessitates a respiratory workup for urgent management? A. Chronic cough B. Chronic sinusitis C. Interstitial lung disease D. Lung carcinoma E. Pleural effusions
E. Pleural effusions Often the most dangerous component of YNS and the one requiring the most urgent management, such as surgery, pleurodesis, or medical management with octreotide, pleural effusions occur in approximately half of patients with YNS and are often recurrent.
58
Which of the following is associated with fissured 'scrotal' tongue? A. Melkersson-Rosenthal syndrome B. Reactive arthritis C. Broad-spectrum antibiotics D. Smoking/tobacco use E. Chewing trauma to the tongue
A. Melkersson-Rosenthal syndrome Although fissured tongue is most commonly idiopathic, especially in older patients, it is also associated with a number of diseases. Along with Melkersson-Rosenthal syndrome, other common associations include Down syndrome, Sjogren syndrome, Cowden syndrome, acromegaly, and psoriasis.
59
Which wavelength of ultraviolet (UV) light induces keratinocyte carcinogenesis by the formation of pyrimidine dimers? A. 10 to 280nm B. 280 to 315 nm C. 315 to 400 nm D. 750 to 1000 nm
B. 280 to 315 nm This range represents UVB radiation. UV radiation is a well-known exac- erbating factor for cutaneous lupus erythematosus. UV radiation promotes development of cutaneous lupus by augmenting lymphocytic recruitment and antibody-mediated cytotoxicity. UVB specifically causes keratinocyte apoptosis by damaging DNA via strand breaks and pyrimidine dimer formation. Additionally, UVB increases recruitment of lympho- cytic cells by increasing inflammatory cytokine and chemokine release of interleukin-1, tumor necrosis factor-a, intracellular adhesion molecule-1, and histocompatibility class II molecules.