Joint and Bone Flashcards

(22 cards)

1
Q
A

White space are lacunes
Condriacytes live in the lacunes
The condriacyes produce matixs

How well did you know this?
1
Not at all
2
3
4
5
Perfectly
2
Q

What get tired in osteoporosis?

A

Controcytes stop making matrixes

How well did you know this?
1
Not at all
2
3
4
5
Perfectly
3
Q

What is Eburnation?

A

Rubbing of bone (Ivory bone)

How well did you know this?
1
Not at all
2
3
4
5
Perfectly
4
Q

What immune response is in Rhematoid Arthritis?

A

Activated T cells, Activated B cells , IL-1
RF is then measure with IgM

How well did you know this?
1
Not at all
2
3
4
5
Perfectly
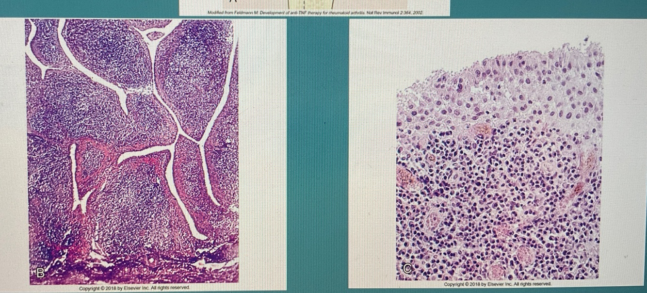
5
Q

What is happening to the cells in RA?

A

Synovial Villous hypertrophy and hyperplasia

How well did you know this?
1
Not at all
2
3
4
5
Perfectly
6
Q
A

Left - usually single line of synovial cells (white spaces) but it hypertrophy and -plasia in RA
Right - inflam of the synovium

How well did you know this?
1
Not at all
2
3
4
5
Perfectly
7
Q

How does gout form?

A

To much urate in the blood and get deposited into he joints as crystals
Macrophages try to eat but cant and secrete TNF IL-6
Gather around and form a gout

How well did you know this?
1
Not at all
2
3
4
5
Perfectly
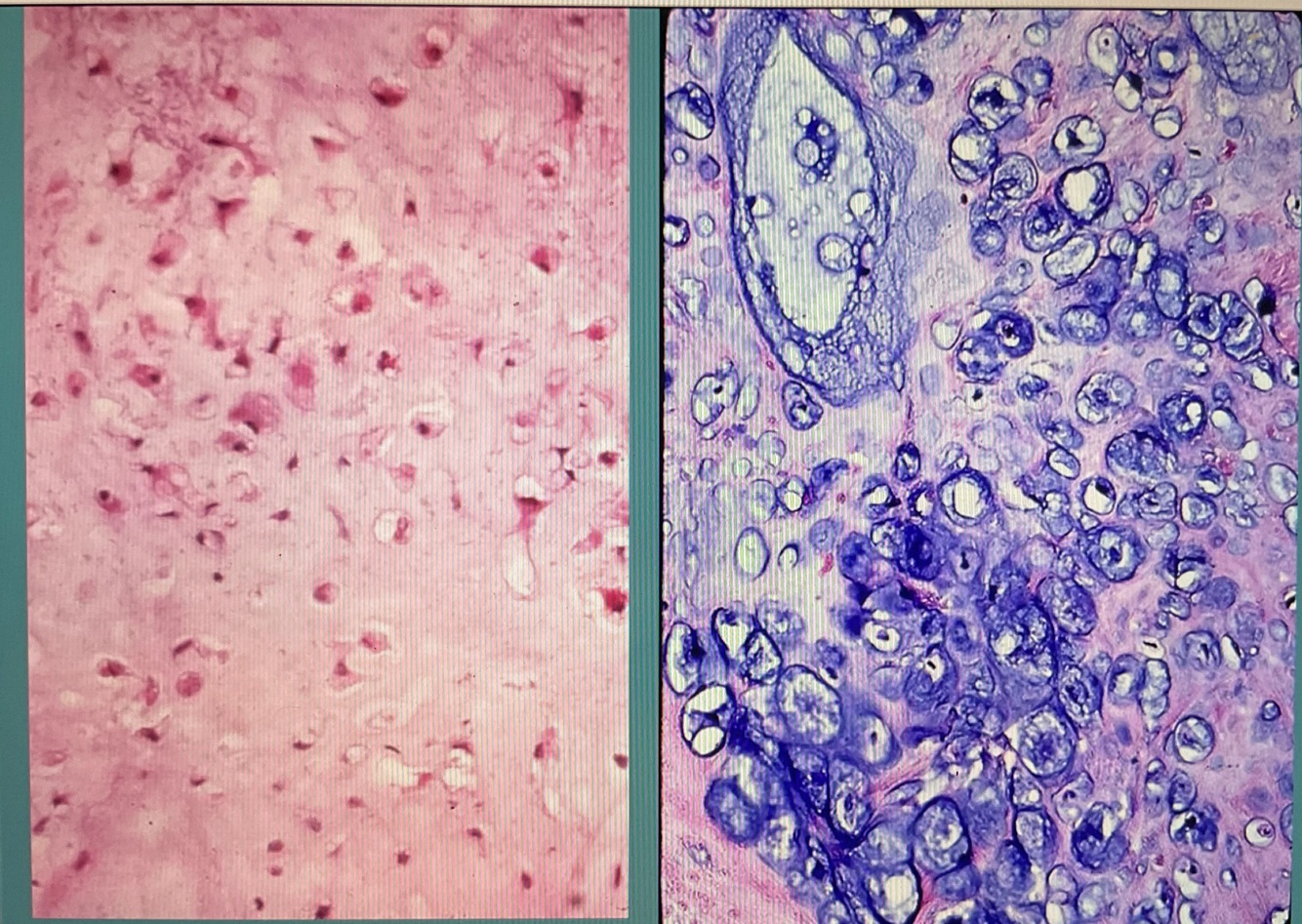
8
Q
A

White area is the crystals and around it is the histiocytes try to eat it and for a ring (granuloma like)
Gout

How well did you know this?
1
Not at all
2
3
4
5
Perfectly
9
Q

Cortex Greek

A

Bark or outside

How well did you know this?
1
Not at all
2
3
4
5
Perfectly
10
Q

What is affected in Osteoporosis?

A

Thinner and fewer Trabeulae in cancellous bone
A lot in femur necks and hips

How well did you know this?
1
Not at all
2
3
4
5
Perfectly
11
Q

What type of change is hyperparathyroidism?

A

Adenoma (80%) and Hyperplasia (15%)

How well did you know this?
1
Not at all
2
3
4
5
Perfectly
12
Q

Hyperparathyroidism cause osteoporosis how?

A

Over production of calcium and taking out the calcium in the bones
Too many osteoclasts

How well did you know this?
1
Not at all
2
3
4
5
Perfectly
13
Q
A

Osteoclast absorbing bone

How well did you know this?
1
Not at all
2
3
4
5
Perfectly
14
Q

Where is osteosarcoma most commonly found?

A

The funnel of the femur or tibia
Metathesis (funnel of the bone)

How well did you know this?
1
Not at all
2
3
4
5
Perfectly
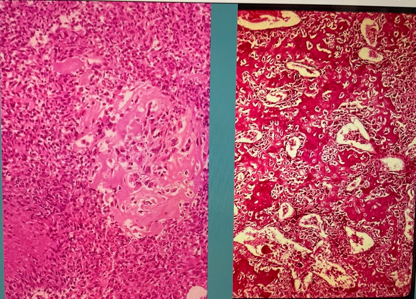
15
Q
A

Left - Blueish parts are tumor cells and are very active ( you can tell it originated from the bone because it is making the pink around the area)

How well did you know this?
1
Not at all
2
3
4
5
Perfectly
16
Q

How can you tell is the cancer started in the bone or it is a metastasis?

A

The cancer cells are making the pink things in the bone
Where as the metastasis will not be making the pink material

17
Q

What is a Chondrosarcoma?

A

Cancer of the cartilage
More common in older people
Usually pelvis, shoulder and ribs

18
Q
A

Chondrosarcoma

19
Q
A

Left - low grade Chondrosarcoma
Right - high grade Chondrosarcoma

20
Q

What is multiple Myeloma?

A

Cancer of plasma cells that stick in the bone
In the bone but not of the bone

21
Q
A

Vast sheets of plasma cells in multiple myeloma

22
Q

where does multiple myeloma usually form?

A

Skull and spinal cord