What type of joint is the talocrural joint?
Hinge-type synovial joint - dorsiflexion and plantarflexion.
Articulating surfaces?
Formed by the tibia, fibula and the talus.
The tibia and fibula are bound together by strong tibiofibular ligaments. Together they form a bracket-shaped socket, covered in hyaline cartilage. This socket is known as the mortise.
The body of talus fits snugly into the mortise formed by the bones of the leg. The talus is wedge-shaped (broad anteriorly and narrow posteriorly).
Dorsiflexion - anterior part of talus is held in the mortise - joint is more stable.
Plantarflexion - posterior part of talus is held in the mortise - joint is less stable.

Ligaments of the ankle?
There are main sets of ligaments that originate from each malleolus:
1) Medial ligament (or deltoid ligament) is attached to the medial malleolus. A fan-shaped ligament, consisting of four ligaments that insert into the talus, calcaneus and navicular bones.
Prevents over-eversion of the foot.
2) Lateral ligament is attached to the lateral malleolus.
Resists over-inversion of the foot - comprised of three distinct ligaments:
i) Anterior talofibular
ii) Posterior talofibular
iii) Calcaneofibular

Clinical relevance - the ankle ‘ring’
The associated joint and associated ligaments can be visualised as a ring in the coronal plane.
Upper part - articular surfaces of the tibia anf fibular
Lower part - subtalar joint (talus and calcaneus)
Sides - medial and lateral ligaments
When dealing with an injury of the ankle, a clinical must bear in mind that a ring breaks in two places, rather than one. For example, fracture of the ankle joint is associated with ligament damage (which would be apparent in an X-ray).
Movements and muscles involved?
1) Plantarflexion - muscles of the posterior compartment of leg.
2) Dorsiflexion - muscles of the anterior compartment of the leg.
Neurovascular supply?
Arterial supply
Malleolar branches of the anterior and posterior tibial and fibular arteries.
Innervation
1) Tibial
2) Deep fibular
3) Superficial fibular
Clinical relevance - ankle sprain
Partial or incomplete tears of ligament in the ligaments of the ankle joint.
Lateral ligament is more likely to be damaged for two reasons:
1) Weaker than the medial ligament
2) Lateral ligament resists inversion
The anterior talofibular ligament is the lateral ligament most at risk of irreversible damage.
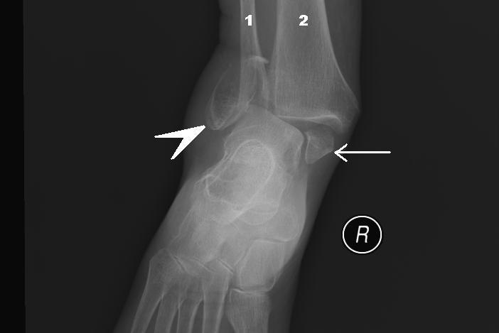
Clinical relevance - Pott’s fracture-dislocation
Can be termed bimalleolar fracture (medial and lateral malleoli).
Can be termed trimalleolar fracture (medial and lateral malleoli and distal tibia).
Produced by forces eversion of the foot. Occurs in a series of stages:
1) Forced eversion pulls of medial ligaments, producing an avulsion fracture of the medial malleolus.
2) Talus moves laterally, breaking off the lateral malleolus.
3) Tibia is forced anteriorly, shearing off the distal and posterior part of the talus.
