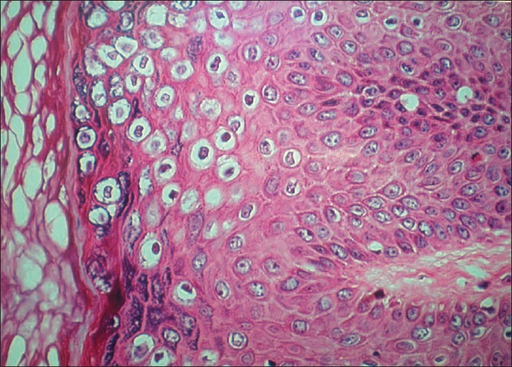
What is this a histology image of?
What other feature would be seen on histology which cannot be seen here (a feature of the epidermis)?

Viral warts
Papillomatosis
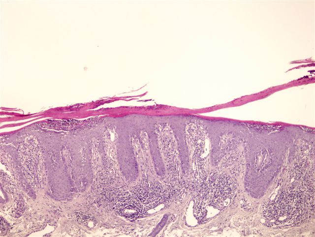
What is this a histology section of?

Psoriasis
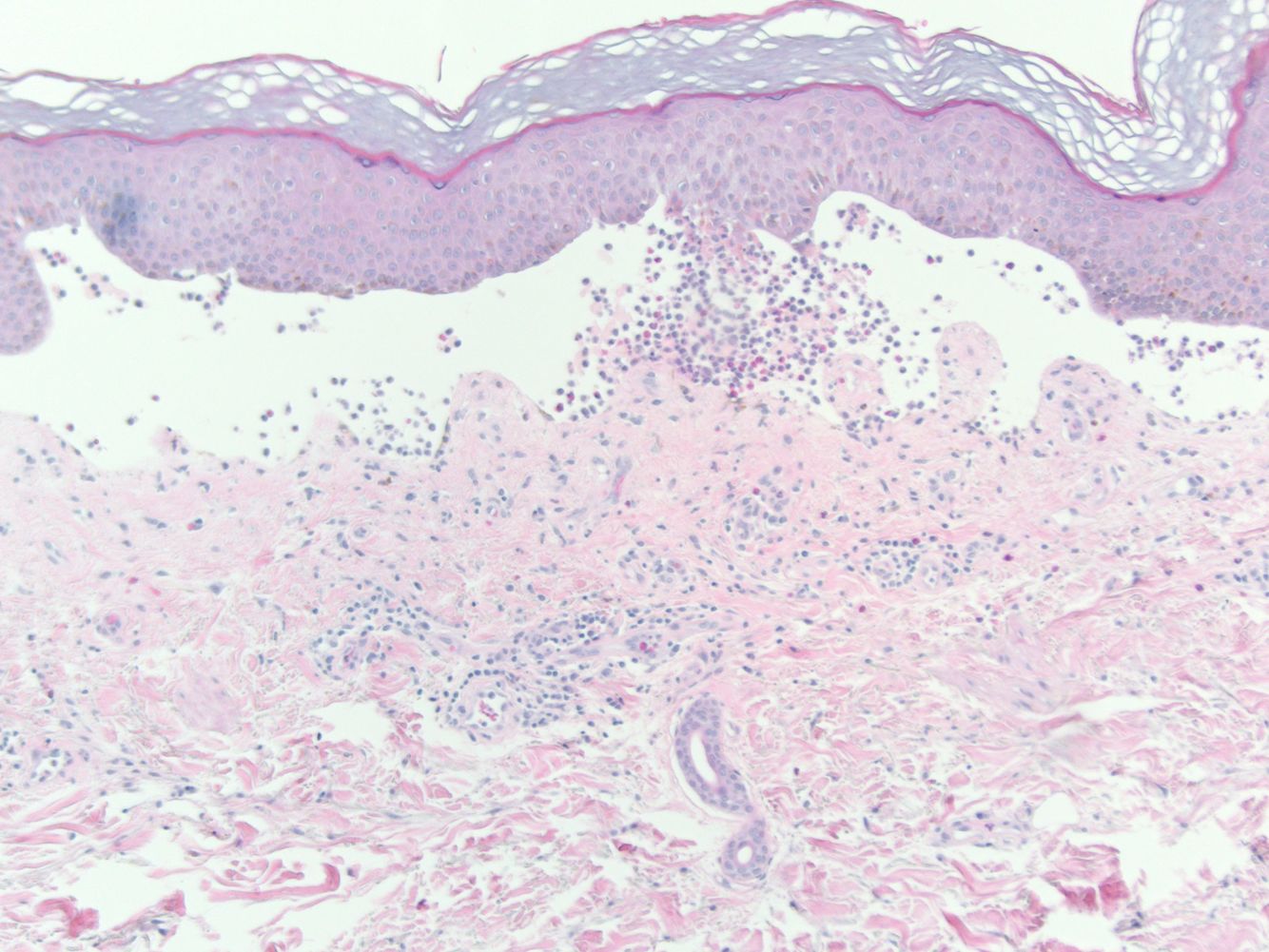
What is this a histology section of?

Bullous pemphigoid
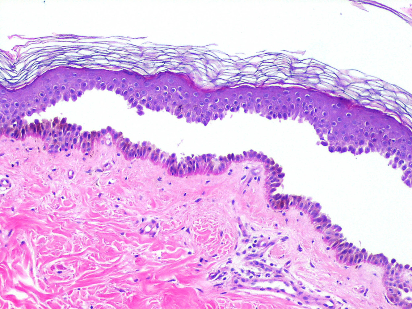
What is this a histology section of?

Pemphigus vulgaris
A build up of what occurs in PCT type 1?
Uroporphyrinogen III
(because there is no uroporphyrinogen decarboxylase)
What could be the cause for a child crying when in direct sunlight?
Erythropoietic protoporphyria
What is there a build up of in erythropoietic protoporphyria?
What enzyme is deficient?
Photoporphyrin IX
Ferrochelatase
Abdo pain, painful urination, psychiatric signs, fast pulse, high BP are symptoms suggesting which porphyria?
What is there a build up of?
Acute intermittent porphyria
Porphyrobilinogen
Onycholysis [nail detachment], blistering of sun exposed skin, hyperpigmentation, hypertrichosis [abnormal body hair growth]) are symtoms suggestive of which type of porphyria?
PCT Type 1
Painful photosensitivity, burning/itching sensation are suggestive of which type of porphyria?
Erythropoietic protoporphyria
What is the first line treatment for acne rosacea?
Topical metronidazole
What is the first line treatment for acne vulgaris?
Topical benzyl peroxide
How is psoriasis diagnosed?
Clinical diagnosis +/- biopsy
What is the first line treatment for psoriasis?
Topical corticosteroid
Topical vitamin D3 analogue
Thyroid disease and malignancy can cause what type of itch?
Neurogenic
How are autoimmune blistering diseases e.g. pemphigus diagnosed?
Biopsy with immunofluorescence
What group of drugs can commonly precipitate TEN?
Antibiotics
Most likely cause of itchy red and dry hands during surgical block of a student with atopic eczema?
Allergic contact dermatitis - type IV reaction
What cell is responsible for vitamin D metabolism?
Keratinocytes
Stuck on appearance
Seborrhoeic keratosis
Picket fence pearly border/translucent, slow growing lump or non-healing ulcer
BCC
Chronic UV exposure/hyperkeratotic (crusted) lump or ulcer
SCC
red, scaly patch – old womens leg
Bowen’s disease
Genetic skin condition – dry and flaky skin – very high risk of skin cancer at young age
Xeroderma pigmentosum