What tracheostomy technique is associated with increased incidence of stenosis?
A trach for the 2nd time.
A 64 y/o man with a total laryngectomy goes for a lap chole. What type of ETT should you use?
Anode tube
What device is most appropriate in this type of pulmonary disease? (don’t know what pic is)
ETT Not endobronchial, not LMA, not anode.
What type of poisoning would most likely be associated with a closed-space heater fire with incomplete combustion?
Carbon monoxide (CO)
What airway management is indicated for acute burn patients?
Intubation ASAP and secure the airway
Identify

Laryngoflex
Identify

Anode ETT, wire enforced
What are stay sutures?
They are placed into the tracheal wall to help identify stoma location after a tracheostomy.
How long are stay sutures left in place?
72 hours or 3 days
What would you expect in an achondroplastic dwarf related to his/her cervical spine?
Atlanto occipital subluxation

Label


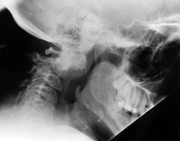
What disease process is depicted?
What drug is most likely associated?

Ludwig’s angina
ACE inhibitors
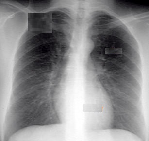
What breath sound do you expect to hear with this image?

Rales with increased lung water.

How would you intubate this pt?

Nasal route
What is depicted?

Shiley uncuffed
What is depicted?

Shiley cuffed
What is depicted?

Fenestrated cuffed trach
What cranial nerve and what branches are being monitored?
What type of surgery is being performed?
Facial nerve, temporal, buccal branches
Parotidectomy
What is the incidence of angioedema in the US?
15%
What is depicted?
When is it contraindicated?

Williams airway
Anode ETT
What type of spinal anesthetic should be used for hip surgery in lateral decubitus position?
hypobaric tetracaine
What is the tracheostomy inner cannual circuit connection?
15mm
What sinus is involved in a blowout fracture?
Maxillary sinus
What is depicted?
What antihypertensive is most frequently associated with this condition?
Angioedema produced arteriolar dilation, venular inflammation. Located below the DERMIS
Ace inhibitors