Kienbock Flashcards

Alencar + Pedrãos (32 cards)

1
Q

Quais os 3 padrões de anastomose e suas respectivas porcentagens

Classificação de Gelberman

A
  • Uma anastomose: 33%
  • Três vasos: 66%
  • Quatro vasos: 10%
How well did you know this?
1
Not at all
2
3
4
5
Perfectly
2
Q

Em quantos % dos pacientes a Ulna minus está presente ?

A

78%

How well did you know this?
1
Not at all
2
3
4
5
Perfectly
3
Q

Em quanto aumenta a pressão do capitato sobre o semilunar quando o punho está em extensão

A

40 mmHg

How well did you know this?
1
Not at all
2
3
4
5
Perfectly
4
Q

Além da ulna minus, que outra condição anatômica está presente no punho dos paientes q desenvolvem kienbock ?

A

Menor inclinação Radial

How well did you know this?
1
Not at all
2
3
4
5
Perfectly
5
Q

Quem dá o suprimento sanguíneo dorsal para o semilunar

A

Arcos transversos proximais e distais sobre a articulação mediocarpica e radiocarpica

How well did you know this?
1
Not at all
2
3
4
5
Perfectly
6
Q

Qual o sinal mais precoce da ausência de vascularização

A
  • aumento de densidade no Rx
How well did you know this?
1
Not at all
2
3
4
5
Perfectly
7
Q

Quais os principais achados radiográficos do Kienbock

A
  • Esclerose
  • Perda da altura do semilunar/migração proximal do capitato
  • Perda da altura carpal
  • Fragmentação do semilunar no AP
  • ROTAÇÃO DO ESCAFOIDE
How well did you know this?
1
Not at all
2
3
4
5
Perfectly
8
Q

Como é realizado o método de Youm para avaliar altura carpal

A

Base do 3° meta até art do rádio
___________________________
comp do 3° meta

How well did you know this?
1
Not at all
2
3
4
5
Perfectly
9
Q

Qual o valor normal da altura carpal pelo metodo de youm

A

0,54 + ou - 0,03

How well did you know this?
1
Not at all
2
3
4
5
Perfectly
10
Q

Como é calculado o índice de Pires

Qual seu valor normal

A

Altura carpal dividido pelo tamanho do capitato

normal = 1,46 a 1,67

How well did you know this?
1
Not at all
2
3
4
5
Perfectly
11
Q

Quanto tempo após o início dos sintomas aparecem os sinais radiográficos de Kienbock

A

18 meses

How well did you know this?
1
Not at all
2
3
4
5
Perfectly
12
Q

Qual o nome do sinal de Kienbock na RM

A

black lunate sign

todo o semilunar com hipossinal, ao contrário dasd do impacto ulnar, onde o hipossinal é focal

How well did you know this?
1
Not at all
2
3
4
5
Perfectly
13
Q

Qual o nome da classificação de Kienbock

A

Classificação de Lichtman

How well did you know this?
1
Not at all
2
3
4
5
Perfectly
14
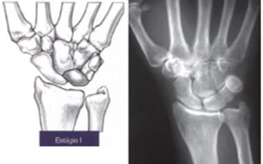
Q

Como é o estágio I de Lichtman

A
  • Rx normal
    ou
  • Fratura Linear
  • Hipo em T1 e T2 na RM
How well did you know this?
1
Not at all
2
3
4
5
Perfectly
15
Q

Como é o estágio II de Lichtman

A
  • ESCLEROSE
    ou
    Múltiplas linhas de fratura
  • melhor visto no Rx em perfil
How well did you know this?
1
Not at all
2
3
4
5
Perfectly
16
Q

Como é o estágio III de Lichtman

A

IIIA: COLAPSO do semilunar mas altura carpal mantida
No perfil semilunar tem Distância AP alargada

IIIB: Capitato migra proximalmente
******Escafoide em Flexão******
Diminuição da altura carpal
DISI
******Ângulo RadioEscafoide > 60º******

17
Q

Como é o estágio IV de Lichtman

A
  • Alterações artríticas na radiocarpal e mediocarpal
  • fromação de osteófitos
18
Q

Quais os grupos de tratamento de kiembock

A
  • I, II, IIIA com variância ulnar negativa
  • I, II, IIIA com variância ulnar positiva ou neutra
  • IIIB
  • IV
19
Q

Qual o método preverido para I, II, IIIA com VU negativa

A

Osteotomia de encurtamento do rádio

20
Q

Qual deve ser o encurtamento do rádio

21
Q

Em quantos % é reduzida a carga sobre o semilunar após a osteotomia de encurtamento do rádio

22
Q

Qual o método preverido para I, II, IIIA com VU positiva

A
  • Encurtamento do capitato (osteotomia no colo) podendo ser adicionada a fusão capitato-hamato
  • Osteotomia do RD com redução do angulo de inclinação radial
  • Técnica de ILLARRAMENDI
    Retira porção central da metáfise do RD
23
Q

Qual o Nome do procedimento de osteotomia do capitato com fusão capitat-hamato

A
  • Procedimento de Almquist
24
Q

Qual o método preverido para IIIB

A

Procedimentos de salvamento

Artrodese intercarpal (STT, escafoide-capitato)

Carpectomia da fileira proximal

25
Qual o método preverido para IV
carpectomia proximal pode ser feita artrodese total de punho
26
Qual a condição para realizar a carpectomia proximal
Fossa do semilunar e cabeça do capitato íntegras
27
Na tecnica de **_enxerto vascularizado_** para doença de Kiembock o **_vaso mais utilizado é a artéria_**
**_4,5 intercompartimental supraretinacular_** ## Footnote **5 é a mais calibrosa**
28
Quais as preferências do autor para tto de kienbock
29
A fratura do semilunar corresponde a qual estágio de Lichtman
II se forem multipals linhas de fratura
30
Qual região do **capitato** está mais sugeita a necrose avascular
- Polo Proximal vascularização é retrógrada
31
Na **_Classificação de Zapico_**, qual o tipo mais frequente a sofrer **_fragmentação_** Qual tipo mais associado a **_Ulna minus_**
Tipo I
32
A partir de quantos mm a osteotomia de encurtamento do capitato pode gerar incongruência da ARUD
- 4mm