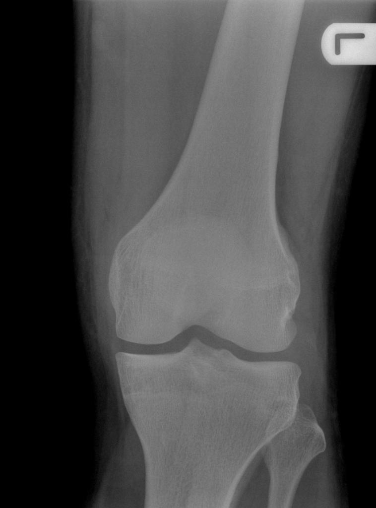
What does this x-ray show?

This is an antero-posterior radiograph of the left knee of an unknown patient taken at an unknown date. There appears to be no radiological evidence of osteoarthritis: i.e. there is no loss of joint space, osteophytes, subchondral sclerosis or subchondral cysts. There are also no visible fractures or prostheses. In summary, this is a normal radiograph of a patient’s left knee”
What key features should you mention on every knee x-ray?
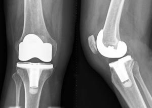
What does this x-ray show?

These are radiographs of an unknown patient taken at an unknown time. They show antero-posterior and lateral views of the patient’s right knee. The most pertinent finding is that there is a well-aligned, cemented total knee replacement. There does not appear to be any peri-prosthetic fractures visible. There are no signs of any other fractures, nor of osteoarthritis (though this may have been an indication for the TKR). In summary, these are AP and lateral radiographs of a patient with a right TKR.
TLDR: Well-aligned, cemented TKR with no peri-prosthetic fractures
What key features should you mention in a knee x-ray showing a prosthesis?
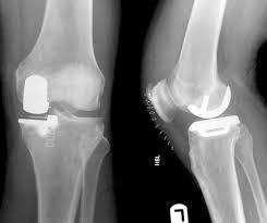
What does this x-ray show?

These are radiographs of an unknown patient taken at an unknown time. They are AP and lateral radiographs of the patient’s left knee. The most pertinent finding is a well-aligned, cemented(?) unicondylar knee replacement in the medial compartment. Surgical clips over the medial aspect of the knee are also visible, suggesting that this radiograph is just a few days post op. There appears to be some osteophytes in the medial aspect of the joint line and some subchondral sclerosis in the lateral compartment, suggestive of OA and potentially explaining the unicondylar prosthesis. There are no fractures visible, peri-prosthetic or otherwise.
TLDR: well-aligned, cemented unicondylar knee replacement of medial compartment with surgical clips visible. Osteophytes and subchondral sclerosis in lateral compartment.
What does this x-ray show?

Normal skyline view x-ray of R knee
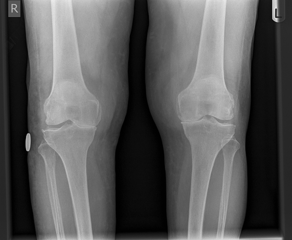
What does this x-ray show?

This is an AP bilateral knee radiograph of unknown patient unknown date that shows signs consistent with osteoarthritis: There is loss of joint space in the medial compartment of both knees, seemingly more severe on the right than the left. Subchondral sclerosis is visible on the proximal tibia in both knees, with subchondral cysts visible on the left proximal tibia and right distal femur. There also appears to be bilateral osteophyte formation. There is an unknown object on the right leg that appears to be spherical and metallic. In summary, this is a bilateral knee radiograph consistent with a diagnosis of osteoarthritis.
TLDR: All LOSS signs visible –> OA, worse in the medial compartment, present in the lateral. Unknown object on right leg.
What does this x-ray show?

Skyline view OA of patellofemoral compartment: loss of joint space, osteophytes, subchondral sclerosis.
What does this x-ray show?

Bilateral skyline view- to show orientation
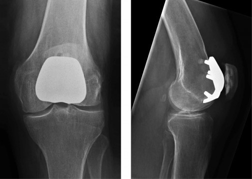
What does this x-ray show?

Patellofemoral arthroplasty: Prosthesis of patellofemoral compartment