Kræft Flashcards

(45 cards)

1
Q
  • Hyppigste kræftsygdomme hos MÆND i Danmark (i rækkefølge):
A

prostatakræft
lungekræft
tyk- og endetarmskræft
blærekræft
modermærkekræft

How well did you know this?
1
Not at all
2
3
4
5
Perfectly
2
Q
  • Hyppigste kræftsygdomme hos KVINDER i Danmark (i rækkefølge):
A

brystkræft
lungekræft
tyk- og endetarmskræft
modermærkekræft
livmoderkræft

How well did you know this?
1
Not at all
2
3
4
5
Perfectly
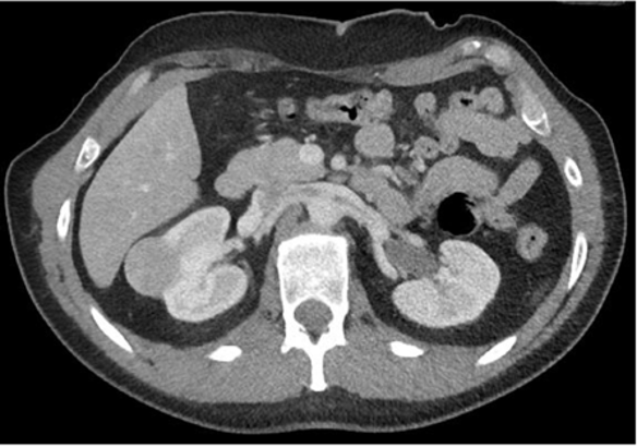
3
Q

Hvilken CT-projektion er vist?

A
  • Aksial (Transversal)
How well did you know this?
1
Not at all
2
3
4
5
Perfectly
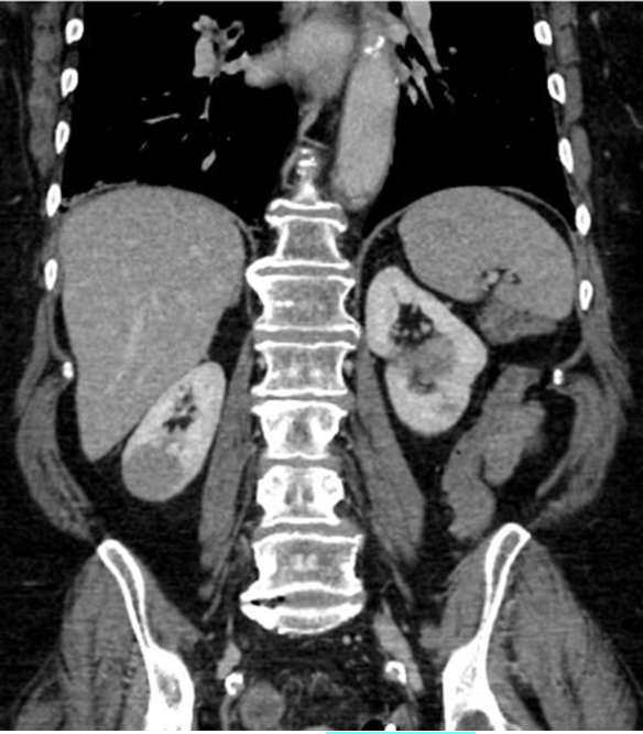
4
Q

Hvilken CT-projektion er vist?

A
  • Coronal
How well did you know this?
1
Not at all
2
3
4
5
Perfectly
5
Q

Hvilken CT-projektion er vist?

A
  • Sagital
How well did you know this?
1
Not at all
2
3
4
5
Perfectly
6
Q

Forberedelse til FDG-PET/CT:

A
  • Der kræves 6 timers faste for fast føde og drikkevarer forud for undersøgelsen
  • Ingen svær fysisk udfoldelse 12-24 timer før undersøgelse
  • Pausering af insulin min. 4 timer
How well did you know this?
1
Not at all
2
3
4
5
Perfectly
7
Q

Indikationer for FDG-PET/CT ved onkologisk tilstande:

A
  • Primær diagnostik (f.eks. lungecancer, MUP/MAS)
  • Stadieinddeling (mange cancere)
  • Stråleplanlægning (f.eks. HOH)
  • Behandlingskontrol (f.eks. lymfom)
  • Recidivopsporing (mange cancere)
  • Infektionsfokus
  • Patienter med sukkersyge
How well did you know this?
1
Not at all
2
3
4
5
Perfectly
8
Q

Radionuklidbehandling:
- Indikation:

A
  • Thyroideacancer
  • Neuroendokrine tumorer
  • Knoglemetastaserende prostatacancer
How well did you know this?
1
Not at all
2
3
4
5
Perfectly
9
Q

GFR-bestemmelse med 99mTc-DTPA:
* Forberedelse:

A
  • Der er ingen særlig forberedelse til GFR-bestemmelse
  • Ingen CT- eller MR-kontrast < 24 timer før undersøgelsen
  • Ingen IV-væske (og ingen nikotin) kræves af patienten under undersøgelsen 99mTc-DTPA-GFR mellem injektion af sporstof og blodprøvetagning
How well did you know this?
1
Not at all
2
3
4
5
Perfectly
10
Q

Medicinsk kodning:
Eksempel: ”rectumslimhinde, adenokarcinom og endoskopisk biopsi”:
* Rectumslimhinde: 1
* Adenokarcinom: 2
* Endoskopisk biopsi: 3

A

1: topografikode (T-kode)
2: morfologikode (M-kode)
3: procedurekode (P-kode)

How well did you know this?
1
Not at all
2
3
4
5
Perfectly
11
Q

Immunanalyser – Immunfarvinger:
- TTF1:

A

lunge
gl. thyroidea

How well did you know this?
1
Not at all
2
3
4
5
Perfectly
12
Q

Immunanalyser – Immunfarvinger:
- CDX2:

A

mave-tarm

How well did you know this?
1
Not at all
2
3
4
5
Perfectly
13
Q

Immunanalyser – Immunfarvinger:
- PSA og NKX3.1:

A

prostata

How well did you know this?
1
Not at all
2
3
4
5
Perfectly
14
Q

Immunanalyser – Immunfarvinger:
- ER (østrogenreceptor):

A

mamma
gynækologisk

How well did you know this?
1
Not at all
2
3
4
5
Perfectly
15
Q

Immunanalyser – Immunfarvinger:
- PAX8:

A

gl. thyroidea
nyre
gynækologisk

How well did you know this?
1
Not at all
2
3
4
5
Perfectly
16
Q

Immunanalyser – Immunfarvinger:
- GATA3:

A

mamma
urothel

How well did you know this?
1
Not at all
2
3
4
5
Perfectly
17
Q

Immunanalyser – Immunfarvinger:
- CK7:

A

lunge
mamma
øvre mave-tarm
gynækologisk

How well did you know this?
1
Not at all
2
3
4
5
Perfectly
18
Q

Immunanalyser – Immunfarvinger:
- CK20:

A

colon (nedre mave-tarm)

How well did you know this?
1
Not at all
2
3
4
5
Perfectly
19
Q

Immunanalyser – Immunfarvinger:
- p40:

A

planocellulært karcinom

20
Q

Histologiske typer af cancer:
- Planocellulære carcinomer:

A

øvre del af kroppen”:
hud
lunger
hoved-hals
esophagus (proksimal 2/3)
cervix
anus

21
Q

Histologiske typer af cancer:
- Adenokarcinomer:

A

nedre del af kroppen”:
mamma (bryst)
lunger
GI-kanalen (distale 1/3 af esophagus –> rectum)
galdeveje
pancreas
uterus
ovarier

22
Q

Histologiske typer af cancer:
- behandling, der er mere egnet til Planocellulære carcinomer:

A
  • Strålebehandling
23
Q

Histologiske typer af cancer:
- behandling, der er mere egnet til Adenokarcinomer:

24
Q

Kemoterapi:
- Annet: organer, der kan være udsat for senbivirkning til kemoterapi:

A

Hjertet
Lungerne
Nyrerne
Nerverne

25
Mammacancer – Bryskræft: * Mammasymptomer, der udløser brystkræftpakkeforløb:
- Palpatorisk suspekt tumor - Nytilkommen papilretraktion - Nytilkommen hudindtrækning - Papil/areola-eksem/ulceration - Klinisk suspekte aksillære lymfeknuder - Billeddiagnostisk suspekt forandring - Søgen efter primær tumor ved bioptisk verificerede aksilmetastaser
26
Mammacancer – Bryskræft: Behandling: * Lille knude: **1** * Mellemstor knude: **2** * Stor knude: **3**
1: Lumpektomi 2: Onkoplastisk lumpektomi (lumpektomi + strålebehandling) 3: Mastektomi
27
Mammacancer – Bryskræft: * Henvisning til genetisk rådgivning jvf. DSMG:
- Kvinde med brystkræft **FØR 50 år** - Kvinde med brystkræft, hvor tumorvævet er **ER-negativt, HER2-negativt og PR-negativt** – (tidligere triple-negative) - Kvinde med **bilateral brystkræft** - Kvinde med **kræft i æggestokke – (ovariecancer)** - **≥ 2 førstegradsslægtninge** med brystkræft - **Mand med brystkræft**
28
Immunterapi: - Indikation:
behandlingen gives ofte til patienter med **dissemineret kræftsygdom (metastaser)**
29
Strålebehandling: - Stereotaktisk strålebehandling vs. Konventionel strålebehandling:
**Stereotaktisk strålebehandling**: - STØRRE stråledoser pr. gang (pr. fraktion) --> Antallet af strålefraktioner er LAVERE - Generelt FÆRRE behandlingsdage **Konventionel strålebehandling**: - MINDRE stråledoser pr. gang (pr. fraktion) --> Antallet af strålefraktioner er HØJERE - Generelt FLERE behandlingsdage
30
Strålebehandling: - Absolut indikation:
avanceret hoved-hals og cervixcancer
31
Hjernemetastaser: - Behandling:
Tabl **Prednisolon** 100mg daglig for at mindske ødemtendens Behandlingen afhænger af flere faktorer: - **Kirurgi** (≤ 3 hjernemetastaser) - Strålebehandling: * **Stereotaktisk behandling**: når der er et **BEGRÆNSET antal hjernemetastaser**, normalt op til 1-4 læsioner * **Helhjernebestråling**: når der er **FLERE hjernemetastaser** eller når metastaserne er mere udbredte i hjernen
32
Hoved-Halscancer: Forekomst: * Hyppigste forekomst i DK: **1** * Stigende forekomst i DK: **2** * Faldende forekomst i DK: **3**
1: Oropharynx (mundsvælg) 2: Mundhulecancer og Pharynxcancer 3: Larynxcancer (Strubekræft)
33
Hoved-Halscancer: Risikofaktorer og Ætiologi: * Hypopharynxcancer (+ ”andre hoved-halscancere” og generelt):
tobak, alkohol
34
Hoved-Halscancer: Risikofaktorer og Ætiologi: * Nasopharynxcancer:
EBV (Epstein Barr virus) (<-- primær årsag)
35
Hoved-Halscancer: Risikofaktorer og Ætiologi: * Oropharynxcancer (mundsvælgkræft):
HPV 16 og 18 (<-- primær årsag)
36
Hjernetumor – Tumor cerebri – Hjernesvulst: - Udredning og Diagnose:
MR vævsdiagnostik (biopsi)
37
Hjernetumor – Tumor cerebri – Hjernesvulst: - Behandling:
**Kirurgi** (OP) + **Adjuverende behandling**: * **WHO grad 1**: **observation** * **WHO grad 2**: observation ELLER strålebehandling og kemoterapi, hvis ikke stabil sygdom * **WHO grad 3 og 4**: **strålebehandling og kemoterapi**
38
Hjernetumor – Tumor cerebri – Hjernesvulst: * Børne tumorer:
pilocytisk astrocytom medulloblastom ependymom gangliegliom
39
Øvre gastrointestinal cancer (GI) cancer: Inkluderer: * Esophagus – Gastroesophagale overgang (GEJ) * Ventrikel * Pancreas * Lever * Galdeblære/galdegang * Tyndtarm Udredning og Diagnose:
1) Henvises fra e.l. til **gastroskopi** – obs. cancer 2) Der tages **biopsi** 3) Cancer --> **CT af thorax og abdomen** 4) Vurder igen ved ny gastroskopi + **EUS (endoskopisk UL)** + evt. biopsi af ll.nn.
40
Lever cancer – Hepatocellulær cancer (HCC): - Den mest almindelige form for kræft i leveren er:
METASTASE fra tyktarm, mave, bryst og lunge
41
Akutte onkologiske tilstande: Febril neutropeni: - Definition/Diagnose:
infektion (ofte uden fokus) og nedsat immunforsvar: * **KEMOTERAPI** indenfor seneste måned * **Peni**: **↓** (Hgb, leuko, neutro, trombo) * **Feber**: temp. > 38,3
42
Akutte onkologiske tilstande: Akut medullært tværsnitssyndrom: - Behandling:
1) Akut ved klinisk mistanke: **Prednisolon** 2) **MR-scanning** + evt. kirurgi (dekompression og stabilisering af columna) 3) Palliativ (akut) strålebehandling
43
Akutte onkologiske tilstande: Vena cava superior syndrom: - Udredning:
akut CT thorax og abdomen
44
Akutte onkologiske tilstande: Vena cava superior syndrom: - Behandling:
* **Akut**: Prednisolon * **Subakut**: 1) **stent**; 2) **kemoterapi**
45
Akutte onkologiske tilstande: Hypercalcæmi: - Behandling:
rehydrering (isotonisk NaCl) i.v. Bisfosfonater