What are the five most likely agents to be used for Bio terrorism?
1) Anthrax (bacillus anthracis)
2) Tularemia (Francisella tularensis)
3) Plague (Yersinia pestis)
4) Smallpox (Variola virus)
5) Botulinum toxin
Which of these agents is a large g(+) bacillus that can form endospores that can last for 100 years?

Anthrax
What are the necessary parts of anthrax that allow it to be virulent?
Anthrax must have a polyglutamyl capsule (protein based) and toxin plasmids in order to be virulent. Toxins include:
1) Protective antigen: allows binding to host cells, aids entry of other factors into the cell
2) Edema factor: increases cAMP causing fluid release that inhibits phagocytosis
3) Lethal factor: lysis of macrophages, release of TNF and IL-1 causing hyperinflammation
Patient presents with an erythematous and necrotic lesion on the arm that is reported to be painless. Patient also has fever, malaise and regional LAD. What is a likely diagnosis?

This type of lesion can be many things. In this case, it is a manifestation of cutaneous anthrax that was acquired through touch contact with the agent.
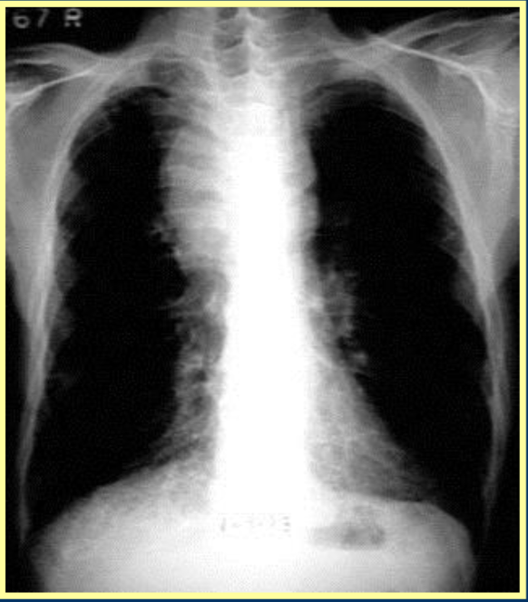
Patient initially presents with flu-like Sx including malaise, cough, myalgia, hypoxia, dyspnea, but no rhinitis
CXR shows mediastinal widening and lymph nodes appear swollen
Likely diagnosis?

Pulmonary or inhaled anthrax
Patient presents with bloody diarrhea, abdominal pain, nausea, anorexia, and fever.
Image show isolated agent.
Likely diagnosis?

GI anthrax that likely came on 1-7 days after eating spores in contaminated meat
Likely to also see necrosis of lymphatic tissue

Patient is known to have been exposed to anthrax. What is the treatment plan?
Ciprofloxacin or Doxycyclin in addition to vaccination
If no vaccine available, must continue antibiotics for 8 weeks
Which of these agents is a tiny g(-) bacillus with a very small infective dose?
If not by bioterrorism, where might the person have gotten this bacteria?
How would it be treated?

This is likely a case of Tularemia
Image shows a cutaneous ulceroglandular ulcer
This can be acquired through contact with deer flies, ticks, rodents like rabbits.
Treated with streptomycin
Can also cause fever, chills, headache, back pain, pneumonia, splenomegaly
Which of these agents is spread through respiratory droplets, direct physical contact, airborne, fecal-oral, vectorborne pathways. Is a g(-) coccobacillus, facultative intracellular, and has 3 major manifestations?
Bubonic plague
Bubonic: groin and other LAD
Septicemic: bacteremia and purpuric lesions
Pneumonic: systemic manifestations, likely fatal if not treated
Patient presents initially with flu-like Sx then develops a maculopapular rash and blisters on skin even on palms and soles of feet. Likely diagnosis?
Smallpox
Often infects the blood vessels of the skin, mouth, throat
