L1 Macula Flashcards

(35 cards)

1
Q

What is early AMD?

A
  • Dry changes (soft drusen, hyper and hypo pigmentation of RPE)
How well did you know this?
1
Not at all
2
3
4
5
Perfectly
2
Q

What is late AMD?

A
  • Either: End stage dry AMD (geographic atrophy) or presence of
    neovascular AMD
How well did you know this?
1
Not at all
2
3
4
5
Perfectly
3
Q

AREDS classification of AMD

A
How well did you know this?
1
Not at all
2
3
4
5
Perfectly
4
Q

Risk factors of AMD

A
How well did you know this?
1
Not at all
2
3
4
5
Perfectly
5
Q

why do we get drusen?

A

1.damage to photoreceptor by oxidative stress

RPE cells force out unwanted or damaged proteins or lipids that can accumulate in brutes membrane

How well did you know this?
1
Not at all
2
3
4
5
Perfectly
6
Q

What is drusen?

A

abnormal lipid deposits generated by photoreceptors.

between the basal lamina of the RPE and the inner collagenous layer of Bruch’s membrane

pale yellow

How well did you know this?
1
Not at all
2
3
4
5
Perfectly
7
Q

What causes Dry AMD?

A
How well did you know this?
1
Not at all
2
3
4
5
Perfectly
8
Q

What are the symptoms of Dry AMD?

A

-gradual impairment of vision
-later stages:
+ve scotoma
difficulty recognising faces
-difficulty seeing in dim light
painless

How well did you know this?
1
Not at all
2
3
4
5
Perfectly
9
Q

What are the signs of Dry AMD?

A

hard/soft drusen

focal hypo/hyper pigmentation of RPE

geographic atrophy
drusenoid rpe detachment (later stages ^)

How well did you know this?
1
Not at all
2
3
4
5
Perfectly
10
Q

What are the differences between hard and soft drusen?

A

hard:

  • small yellow/white spots
    -part of normal age processing of eye
    -less than half retinal vein width

soft
thickening of Bruch’s membrane

-Larger in size, may coalesce to form confluent drusen ( >125 micron)

Can form drusenoid pigment epithelium detachment

-should be monitored

How well did you know this?
1
Not at all
2
3
4
5
Perfectly
11
Q

soft drusen

A
How well did you know this?
1
Not at all
2
3
4
5
Perfectly
12
Q

hard drusen

A
How well did you know this?
1
Not at all
2
3
4
5
Perfectly
13
Q

what is hyper pigmentation?

image

A

RPE cell proliferationRPE cell migration
Increase in melanin in RPE cells

How well did you know this?
1
Not at all
2
3
4
5
Perfectly
14
Q

What is hypopigmentation?

image

A

seen as small patches of mottled pigment RPE layer thinning

RPE cell atrophy
Reduction in melanin in RPE cells

How well did you know this?
1
Not at all
2
3
4
5
Perfectly
15
Q

What is Geographic atrophy ?

A

1.atrophic areas enlarge and coalesce
2. underlying choroidal vasculature becomes visible

  1. Advanced GA: visible scleral tissue, loss of drusen,
    severe central vision impairment
How well did you know this?
1
Not at all
2
3
4
5
Perfectly
16
Q

What is the prognosis or Dry AMD

A

➢Visual loss is gradual

  • Can take approx 10 years to reduce to 6/60 vision or less
    *
    Central visual loss only – peripheral vision remains intact
  • Can try and develop eccentric viewing
  • Try low vision aids
17
Q

What is the differential diagnosis of Dry AMD?

A
  • Myopic degeneration
  • CSCR
  • Toxic retinopathies
    (chloroquine,bulls eye macuopathy
  • Inflammatory maculopathies ( choroiditis, rubella)
18
Q

How is Wet AMD caused?

19
Q

What are the symptoms of Wet AMD?

20
Q

What are the signs of Wet AMD?

21
Q

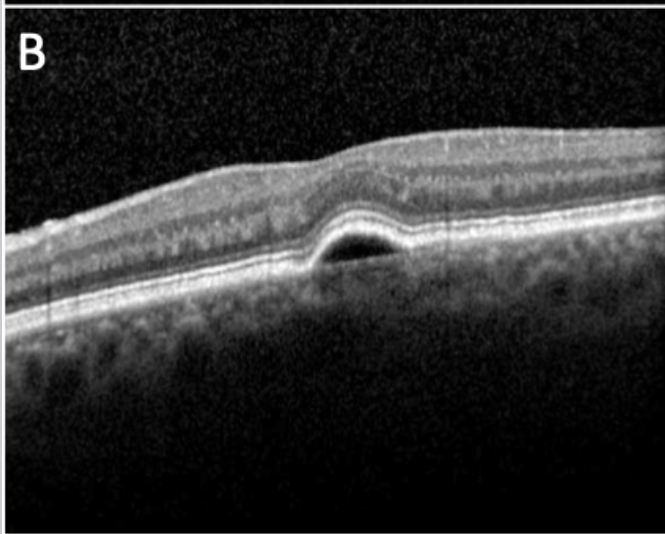
What is this?

A

Pigment epithelium detachment (PED)- when RPE is separated from bucks membrane

on an OCT it looks like a dome shaped elevation of the RPE

22
Q

Why do we get PED?

23
Q
A

serous pd
Orange/pale dome-shaped elevated lesion of
variable size

  • Smooth contours, sharply delineated edges
  • Hypo-fluorescence on OCT

transilluminate if filled with serous fluid

24
Q
A

drusenoid ped

hyper reflective red

often seen in Dry AMD due to confluent drusen

Drusenoid PEDs appear as yellow or yellow–white elevations of the RPE that are usually found within the macula. They may have scalloped borders and a slightly irregular surface

25
firbrovascular ped
26
The space between the rpe and brutes membrane can be occupied by
Serous exudate * Drusen * Fibrovascular tissue * Blood (or a combination of these)
27
What is choroidal neovascular membrane?
Abnormal growth of vessels from the choroidal vasculature to the neurosensory retina (through Bruch's membrane). Choroidal neovascular membranes (CNVM) is the abnormal growth of blood vessels beneath the retina. These blood vessels grow in the choroid and break through the bruchs membrane . When they leak or bleed in the retina they cause vision loss (They break through the barrier between the choroid and the retina. )
28
CNVM
29
How do we get drusenoid PED
-As the soft drusen coalesce and accumulate RPE can separate from Bruch’s -no leakage visible on OCT or FFA * Differential diagnosis: Choroidal neovascularisation (neovascular AMD)
30
Why do we get hypo/hyper pigmentation?
1. drusen blocks transportation of metabolites 2. stops nutrients going to RPE 3. rpe dies off 4. causing hypo/hyper pigmentation
31
What are the 3 types of CNVM?
Type 1 occult Type 2 classic Type 3 Retinal Angiomatous Proliferation (RAP)”)
32
Which classification of CNVM is this
Type 1 occult neovascular membrane is located below the RPE.
33
Which classification of CNVM is this?
Type 2 ("classic") new vessels pass through the RPE thus is located above the RPE in the subretinal space.
34
Which classification of CNVM is this?
Type 3 (“Retinal Angiomatous Proliferation (RAP)” neovascularization that originates from the retinal capillaries, within the neurosensory retina (and not from the choroid) that progresses posteriorly into the subretinal space.
35
CNVM appearance
Dirty grey-green colour (sub- retinal brighter than sub-RPE) * Slightly elevated, dome shaped, subtle to detect * Often accompanied by haemorrhages and/or exudates (but not always) * Classify as either ‘Classic CNV’ or ‘Occult CNV’ on FFA