Lab Flashcards

Identifying cells, layers, tissues from slides (76 cards)

1
Q

Name the cells here

A
How well did you know this?
1
Not at all
2
3
4
5
Perfectly
2
Q
A
How well did you know this?
1
Not at all
2
3
4
5
Perfectly
2
Q
A
How well did you know this?
1
Not at all
2
3
4
5
Perfectly
3
Q
A

Eosinophil granules contain major basic protein.

How well did you know this?
1
Not at all
2
3
4
5
Perfectly
4
Q

Name the layers and tissues here (GI)

A
How well did you know this?
1
Not at all
2
3
4
5
Perfectly
5
Q

Relative frequencies of leukocytes in blood

A

Never Let Monkeys Eat Bananas; neutrophils (60%), lymphocytes (25%), monocytes (10%), eosinophils (3%), basophils (1%)

How well did you know this?
1
Not at all
2
3
4
5
Perfectly
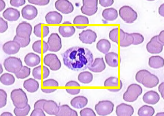
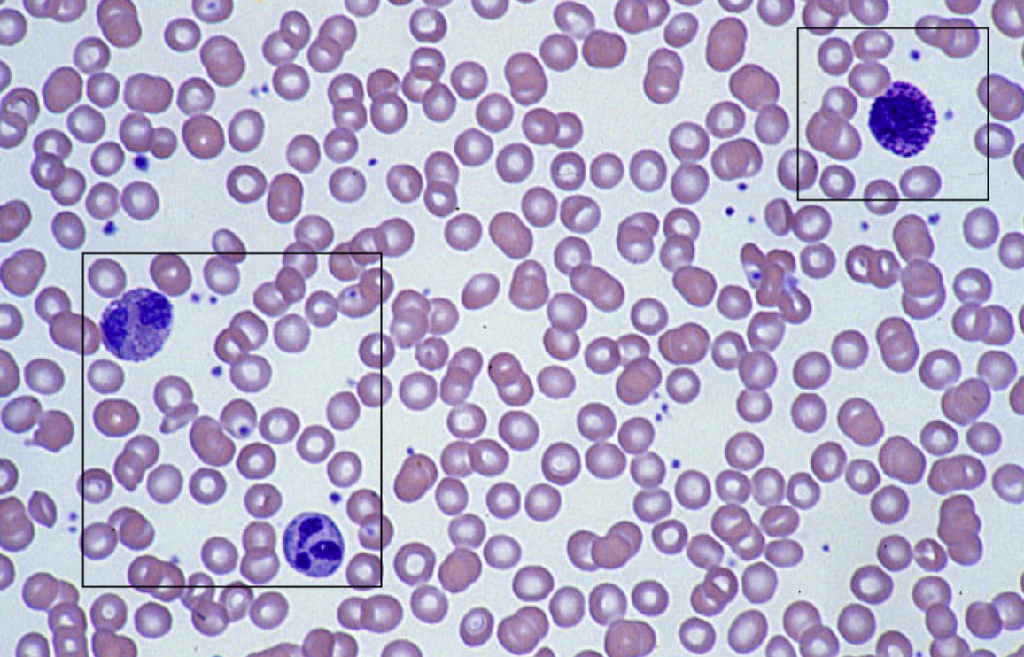
6
Q
A

Highlighted: neutrophil. Notice the unstained granules

How well did you know this?
1
Not at all
2
3
4
5
Perfectly
7
Q
A

Highlighted: lymphocyte. Notice contrast between eosinophils and neutrophil.

How well did you know this?
1
Not at all
2
3
4
5
Perfectly
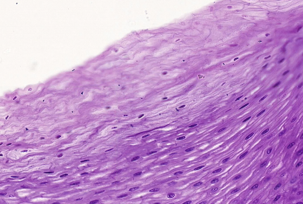
8
Q
A

Stratified squamous non-keratinized epithelium

How well did you know this?
1
Not at all
2
3
4
5
Perfectly
9
Q

Types of epithelium tissues

A

Simple: squamous (endothelium, mesothelium), cuboidal, columnar
Stratified: squamous (keratinized, non-keratinized), cuboidal, columnar
Pseudostratified
Transitional/uterine

How well did you know this?
1
Not at all
2
3
4
5
Perfectly
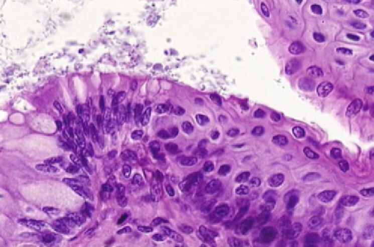
10
Q

What’s the name of the transitory area here?

A

Pectinate line (transition between simple columnar and stratified squamous non-keratinized epithelium)

How well did you know this?
1
Not at all
2
3
4
5
Perfectly
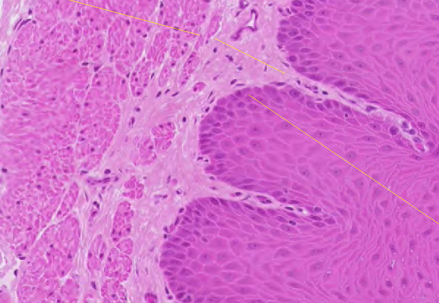
11
Q

What type of epithelial tissue is this?

A

Stratified squamous keratinized tissue. Notice difference in nuclei between keratin and squamous layers.

How well did you know this?
1
Not at all
2
3
4
5
Perfectly
12
Q

What layer is this?

A

Serosa layer (mesothelium + connective tissue)

How well did you know this?
1
Not at all
2
3
4
5
Perfectly
13
Q

What is the general name for this layer? What are the specific names of the 3 GI layers shown?

A

General: mucosal layer
GI layers (inner to outer): epithelium, lamina propria, muscularis mucosae

How well did you know this?
1
Not at all
2
3
4
5
Perfectly
14
Q

Name the GI layers and their composition beyond the mucosa here.

A

Submucosa (CT), muscularis externa inner circular (longitudinal cut smooth muscle), muscularis externa outer longitudinal (transverse cut smooth muscle), serosa/adventitia (CT and mesothelium)

How well did you know this?
1
Not at all
2
3
4
5
Perfectly
15
Q

Types of tissues

A

Epithelium, connective, muscle, neuronal

How well did you know this?
1
Not at all
2
3
4
5
Perfectly
16
Q

What types of vessels are these?

A

Venules (notice color of smooth muscle vs color of vessel lining)

How well did you know this?
1
Not at all
2
3
4
5
Perfectly
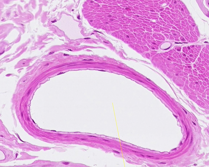
17
Q

What are the 2 large vessels shown here?

A

Arteriole and lymphatic vessel above it. Notice color of arteriole lining vs. muscularis externa and irregularity of CT lining of lymphatic. Also notice lighter endothelium vs smooth muscle surrounding arteriole.

How well did you know this?
1
Not at all
2
3
4
5
Perfectly
18
Q

What are the large structures here?

A

Skeletal muscle. Notice size of fibers and darker color due to mitochondria.

How well did you know this?
1
Not at all
2
3
4
5
Perfectly
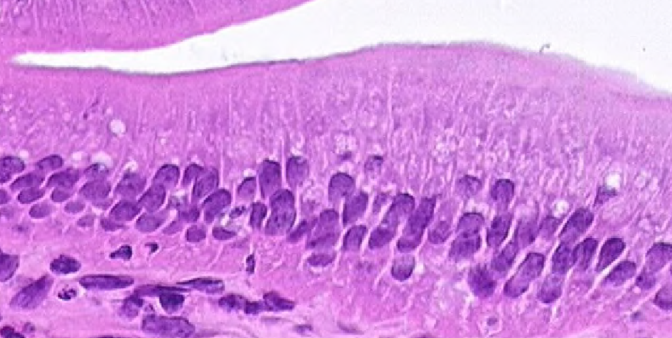
19
Q

What type of epithelium is shown here?

A

Simple columnar epithelium, cut longitudinally

How well did you know this?
1
Not at all
2
3
4
5
Perfectly
20
Q

What type of epithelium is shown here?

A

Simple columnar epithelium, cut is oblique or tangential

How well did you know this?
1
Not at all
2
3
4
5
Perfectly
21
Q

Which 2 cell types are present here?

A

Enterocytes and goblet cells (mucus is stained pink)

How well did you know this?
1
Not at all
2
3
4
5
Perfectly
22
Q

Which cell is this?

A

Plasma cell; clock nucleus, basophilic cytoplasm, Golgi exclusion

How well did you know this?
1
Not at all
2
3
4
5
Perfectly
23
Q

Which cell is this?

A

Lymphocyte

How well did you know this?
1
Not at all
2
3
4
5
Perfectly
24
Which cell is this?
Macrophage; inclusions/vesicles w/ clock nucleus (usually hard to distinguish nucleus)
25
Which cell is this?
Mast cell
26
Name the different tissue types present here.
Stratified squamous keratinized epithelium, loose connective tissue, dense irregular connective tissue. Notice the difference in color between CT layers due to different collagen composition.
27
What cell is this?
Mast cell. Notice the clock nucleus and red granules (contain heparin and histamine).
28
What cells are shown here?
Lymphocyte migrating through CT compartment, plus 2 fibroblasts. Notice high nucleus to cytoplasm ratio in lymphocyte
29
What tissue structure is this? What are the most prominent cells?
Mucosal-Associated Lymphoid Tissue (specifically GALT here). Many of the cells here are lymphocytes.
30
What type of cells are these?
Macrophages. Notice the small cytoplasmic vesicles/inclusions.
31
What types of cells are shown here?
Center: plasma cell (notice clock nucleus, basophilic cytoplasm due to Ab protein production). Surrounding: lymphocytes (large nucleus to cytoplasm ratio)
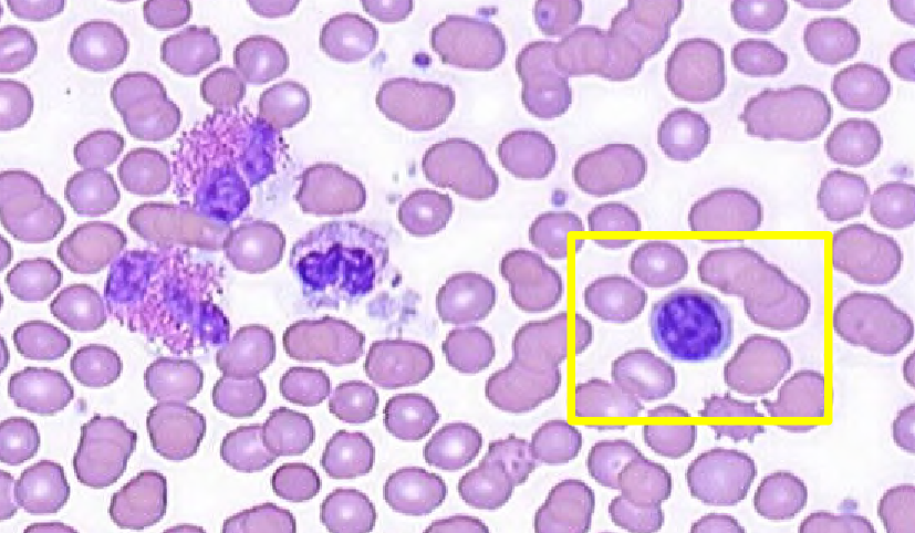
32
What cell is this?
Neutrophil; notice the lobed nucleus and smooth eosinophilic cytoplasm
33
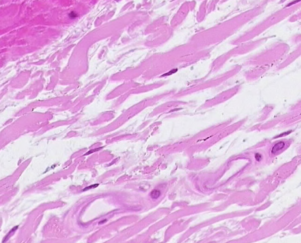
What type of connective tissue is this?
Dense regular CT. Waviness is due to artefactual shrinking. Notice how all fibers are packed along one dimension.
34
Contrast and name the two types of connective tissue here.
Above: dense sheet-like CT (specifically epimysium, above muscle. There is also epitenon, above tendon, in this lab). Below: dense regular CT
35
Name the type of CTs here.
Dense sheet-like CT (perichondrium) and hyaline cartilage.
36
What cells are these?
Unilocular adipocytes (or white adipocytes). Fat stored in one large space (empty here because of staining), cell is hypertrophic.
37
What cells are these?
Multilocular adipocytes. Compared to unilocular ones, these have more central nuclei, many lipid bubbles, and are more eosinophilic (mitochondria + less space devoted to fat)
38
What stain is used here? What are the dark lines?
Verhoeff's stain staining elastin fibers
39
What stain is used here? What are the black stained lines?
Gomori silver stain, staining Type III collagen with a black silver precipitate
40
What cells are stained here? What's going on with the color?
Macrophages. Inclusions/vesicles are highlighted because these cells have phagocytosed a specific ink as part of the staining.
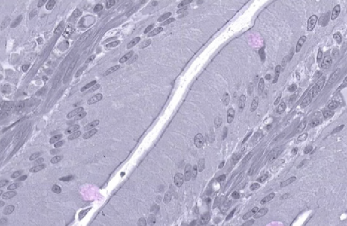
41
What kind of cells are these? How can you tell?
Neutrophils; segmented nucleus with smooth eosinophilic cytoplasm; adhering to endothelial wall as part of immune response.
42
What's abnormal in this picture?
Erythrocytes and neutrophils in loose CT (specifically this is the serosal layer), indicating inflammatory response.
43
What is this special cell formation?
Foreign body giant cell; syncytia of macrophages in response to large objects/invaders
44
What's wrong here?
Sickled erythrocytes (sickle cell anemia)
45
Name and compare the two structures and their cells.
Above: eccrine sweat gland, secretory portion with a simple columnar epithelium Below: eccrine sweat gland, duct portion with a stratified cuboidal epithelium
46
What type of epithelium is this?
Pseudostratified epithelium (trachea, ciliated, looks like stratified columnar)
47
What type of epithelium is this?
Transitional epithelium (umbrella cells w/ 2 nuclei, relaxed form)
48
What process is the epithelium undergoing here?
Metaplasia, transition between stratified squamous and simple columnar. Notice how this is accompanied by inflammation.
49
Which cell structures are apparent here?
Nucleus and Golgi (unstained space)
50
Name the tissue, cells, and regions/structures here.
Hyaline cartilage isogenous groups of chondrocytes in lacunae. Surrounded by darker territorial matrix and lighter interterritorial matrix.
51
What kind of cartilage is this?
Fetal cartilage. Notice the high cellular content, especially in the developing perichondrium. Surrounded by mesenchyme.
52
What type of cartilage is this?
Fibrocartilage. Notice the Type 1 collagen fibers anchoring into the hyaline cartilage.
53
What rare type of epithelium is this? Where is it commonly located?
Stratified columnar epithelium, tear secreting area under eyelid.
54
What type of cell is this?
Osteoclast. Large, multinucleated. Creates Howship's lacuna for resorption.
55
Name the 3 different cells on the bone here.
Left: osteoblasts (cuboidal, actively secreting osteoid) Middle: osteocytes (fully mature and trapped in bone matrix) Right: bone-lining cells (squamous, quiescent)
56
How is the bone being formed here? What type of bone is being formed? How do you know?
Flat bone formed through intramembranous bone formation (specifically mandible here). Endochondral ossification requires initial collagen structure to replace/calcify.
57
Name the layer and the tissue.
Fibrous periosteum layer, made of dense sheet-like connective tissue.
58
What layer is in the box here?
Cellular periosteum. Notice that this bone is growing upwards (on the slide); asymmetrical osteoid secretion
59
What layer do the cells lining the bone form?
Cellular endosteum; lines all inside bone surfaces
60
What is the microscopic appearance of this bone?
Woven bone (newly formed)
61
What is the structure highlighted here?
Blood vessel within the periosteum, likely a capillary. Remember that bone is highly vascularized, while collagen is avascular.
62
What is the macroscopic appearance of the bone here?
Spongy (cancellous) (trabecular) bone
63
What are the steps of mineralization here?
1. Resting 2. Proliferation ("lifesaver" columns) 3. Maturation + hypertrophy (expansion of lacunae) 4. Degeneration + calcification (apoptotic chondrocytes, pyknotic nuclei) 5. Resorption + ossification (replacing chondrocyte matrices with bone, then rapid mineralization)
64
What causes the difference in color here?
Mineralized bone matrix is highly eosinophilic. Unmineralized/cartilaginous matrix is highly basophilic due to the presence of GAGs.
65
What's going on with this nucleus?
This is an example of pyknotic nuclei in a degenerating chondrocyte. Sign of apoptosis.
66
Name the highlighted structures here.
Notochord, neural tube, developing spinal root (dorsal root ganglion here)
67
What is this area termed?
Epiphyseal growth plate
67
Identify the epithelia, what they're lining/facing, and what they derive from (left to right)
Left to right: 1. Ectoderm-derived epithelium facing amniotic cavity 2. Visceral layer lateral plate mesoderm-derived epithelium surrounding truncus arteriosus and facing pericardial cavity. 3. Mesoderm-derived endothelium of the aorta 4. Epithelium lining developing ventricle. Also from visceral layer, facing pericardial cavity. 5. Parietal layer lateral plate mesoderm-derived epithelium lining inside body wall facing pericardial cavity.
68
What is this structure? What are its components?
Somite (area of condensed, developing mesenchyme next to neural tube). Myotome in the middle, developing striated muscle; dermatome = condensed mesenchyme towards epithelium, sclerotome = condensing mesenchyme closer to neural tube
69
What are these two structures?
Trachea (anterior) and esophagus (posterior)
70
What cells are these?
Developing embryonic erythrocytes
71
What structures are here?
Brain (anterior, rostral neural tube) and developing eyes
72
Name the layers of the cornea, left to right/anterior to posterior
-Corneal epithelium (strat. squam.) -Bowman's layer (basement + acellular collagen) -Corneal stroma (dense connective) -Descemet's membrane (thick basement, acellular) -Corneal endothelium (simple squam./cuboidal)
73
Name the highlighted sections here left to right as well as the polarity of layers.
-Optic nerve fibers (basal against vitreous body) -Ganglion cell layer -Inner plexiform layer -Inner nuclear layer -Outer plexiform layer -Outer nuclear layer -Apical photoreceptor tips -Cuboidal RPE -Choroid layer (photoreceptor blood supply) -Fibrous sclera around eye
74
What is this structure and what is its purpose?
Ciliary body; specialization of retinal/uveal tissue. Contains pigmented epithelium (fluid source for anterior/posterior chambers),