What is this organism? To what group of protozoa does it belong? What is it otherwise referred to as? What type of pseudopodia does it posses?

Amoeba proteus.
Belongs to the Amoeboid protozoa. Referred to as “Giant amoeba”. Has lobopodia.
Why is it necessary for amoebae to have contractile vacuoles?
To pump out excess water as it enters the cell, or else the cell may burst
What is the hyaline cap? Is it visible during cytoplasmic streaming of Amoeba proteus?
It is a cap on the ends of pseudopodia during streaming (solid cap that does not look like cytoplasm). It is visible in A. proteus
What is the name of this protist? To what group of protists does it belong? Is the test visible? Where are the pseudopodia? How many nuclei does this protist have?

Arcella sp. Belongs to Amoeboid protists. Test is the circular halo,and pseudopodia emerge from holes in the test.
This protist is multinucleate
What are these? What are they made of? What type of pseudopodia are commonly found in these organisms? How do these differ from the pseudopodia of Amoeba proteus?
Radiolarian tests. Usually made of silica. They have axopodia, which are phagocytic pseudopodia supported by microtubules
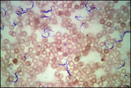
What is this organism? What is the kinetoplast and where is it located on this specimen? Describe the flagella of this organism. Is this organism a phytoflagellate or a zooflagellate?

Trypanosoma.
Kinetoplast is the dense granule of DNA in the mitochondria at the posterior end of the cell. The flagellum runs along the side of the body and inserts into the end of the cell, aiding in undulating movement. It is a zooflagellate
What is this organism?
Describe the arrangement of the flagella. Does it posess a covering?
Ceratium sp.
1 transverse flagellum runs between theca, one longitudinal flagellum pokes out from theca gap.
Ceratium possesses a covering called a theca
What is the environmental significance of the Red Tides produced by certain dinoflagellates?
Red Tides can contain toxins that can suffocate fiiishhhh