
Superior frontal gyrus

Middle frontal gyrus

Inferior frontal gyrus

Paracentral lobule of parietal lobe

Calcarine fissure (sulcus) of occipital lobe

Superior temporal gyrus

Middle temporal gyrus

Inferior temporal gyrus

Transverse temporal gyri (of Heschl)

Occipitotemporal gyrus

Parahippocampal gyrus

Uncus

Insular lobe

Cingulate gyrus (of limbic lobe)

Optic chiasm

Fornix

Corpus callosum

Anterior commissure

Thalamus

Hypothalamus
Parts of the corpus callosum


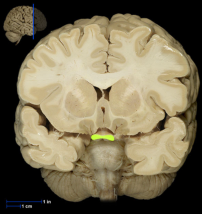
Mammillary bodies

Lateral ventricles

Midbrain