agglutinogens
Antigens (protien) on surface of red blood cell
Agglutinins
Antibodies that will bind to antigens
Agglutination
Antibody reaction which causes erythrocytes to clump together
What is a white blood cell called?
Leukocyte
What are granulocytes and what are the 3 types.
Cells containing cytoplasmic granules
Basophils, eosinophils, neutrophils
Hematocrit
% of total blood volume that is comprised of the packed erythrocytes
Male 40-54%, females - 38-47%
% of total blood volume that is comprised of the packed erythrocytes
Hematocrit
Antigens (protien) on surface of red blood cell
Agglutinogens
Antibodies that will bind to antigens
Agglutinins
Antibody reaction which causes erythrocytes to clump together
Agglutination
Agranulocytes, what are they amd what types?
Cells without cytoplasmic granules
Lymohocytes
Monocytes
Identify the cell
What kind of leukocyte?
what % in body?

Agranulocyte
Monocyte
2-8%
Identify the cell
What kind of leukocyte?
what % in body?

Granulocyte
Eosinophils
1-4%
Identify the cell
What kind of leukocyte?
what % in body?

Granulocytes
Basophils
.5-1%
Identify the cell
What kind of leukocyte?
what % in body?

Agranulocyte
Lymphocyte
20-40%
Identify the cell
What kind of leukocyte?
what % in body?

Granulocytes
Neutrophils
55-70%
Identify the cell
What kind of leukocyte?
what % in body?
Granulocyte
basophil
.5-1%
Identify the cell
What kind of leukocyte?
what % in body?
Granulocyte
Eosinophils
1-4%
Identify the cell
What kind of leukocyte?
what % in body?
Agranulocyte
Monocyte
2-8%
Identify the cell
What kind of leukocyte?
what % in body?
Agranulocyte
Lymphocyte
20-40%
Identify the cell
What kind of leukocyte?
what % in body?
Granulocyte
Neutrophil
55-70%
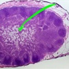
Identify the structure
Identify the structure
Thoracic duct