what is the blue outline?

mediastinal shadow
What is 9?

_____
possibly common carotid a. or internal jugular v.
What is 8?

left ventricle
What is 7?

left atrial appendage (auricle)
What is 6?

pulmonary trunk
What is 5?

descending thoracic aorta
What is 4?

aortic knob/knucle (arch)
What is 3?

superior vena cava
What is 2?

ascending aorta/superior vena cava
What is 1?

right atrium
What is 5?

inferior vena cava
What is 4?

left atrium
What is 3?

aortic arch
What is 2?

ascending aorta
What is 1?

Right ventricle
What is the space #4?

posterior mediastinum
What is the space #3?

middle mediastinum
What is the space #2?

anterior mediastinum
What is the space #1?

superior mediastinum
what is 4?

posterior clear space
what is 2?

anterior clear space
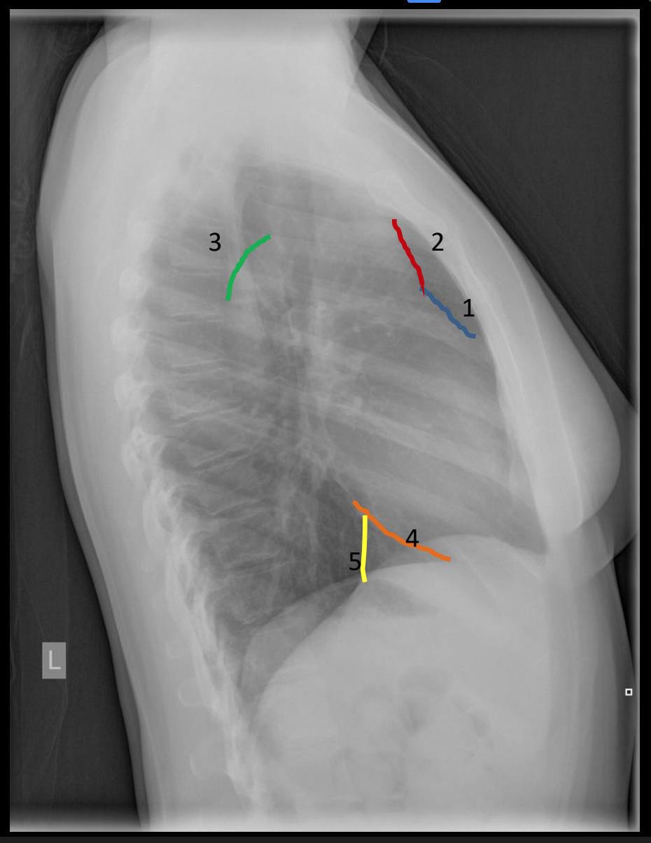
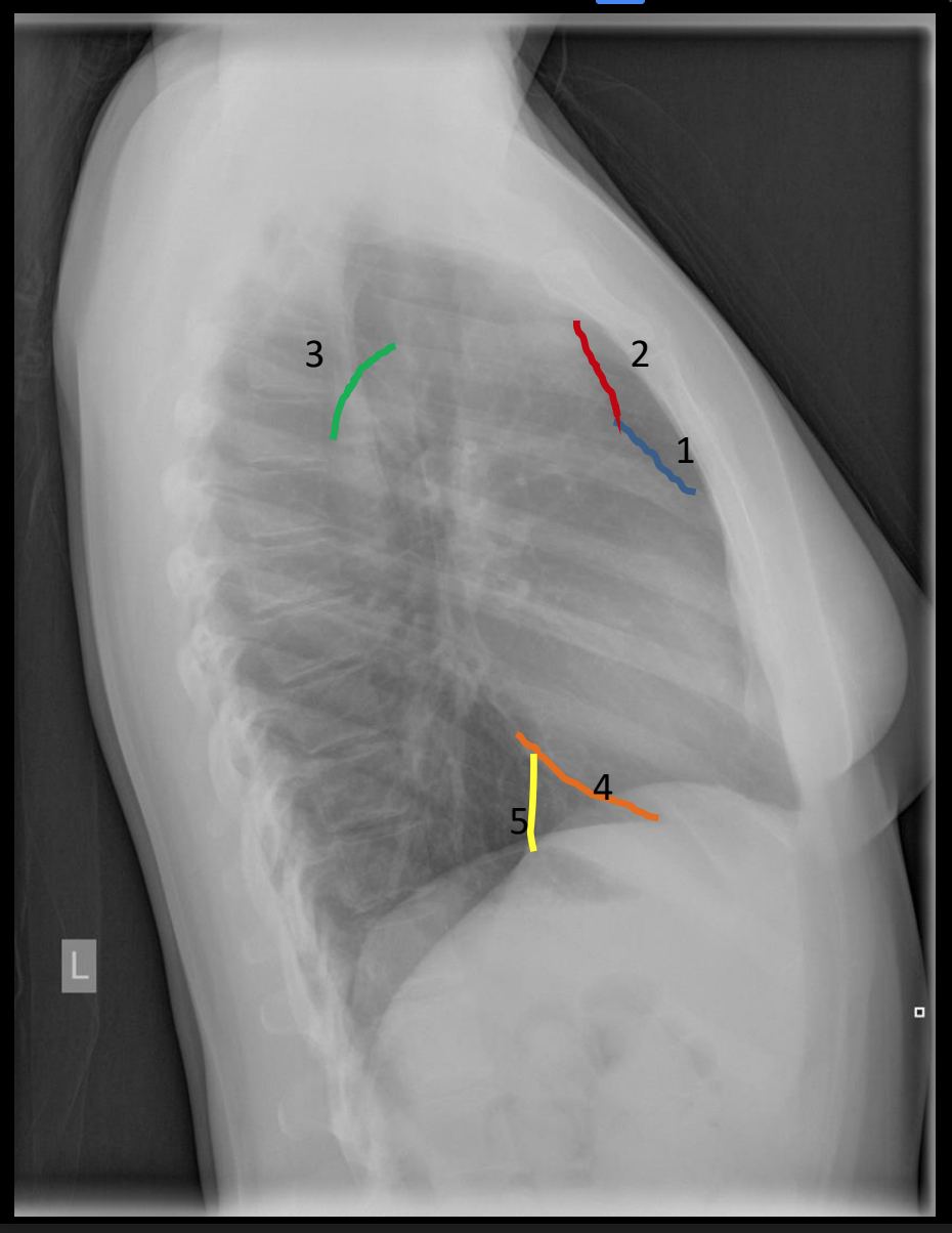
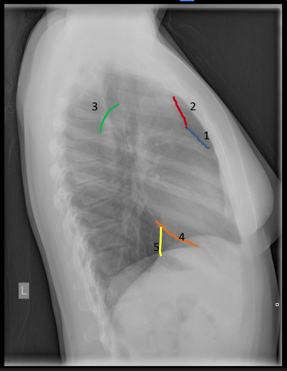
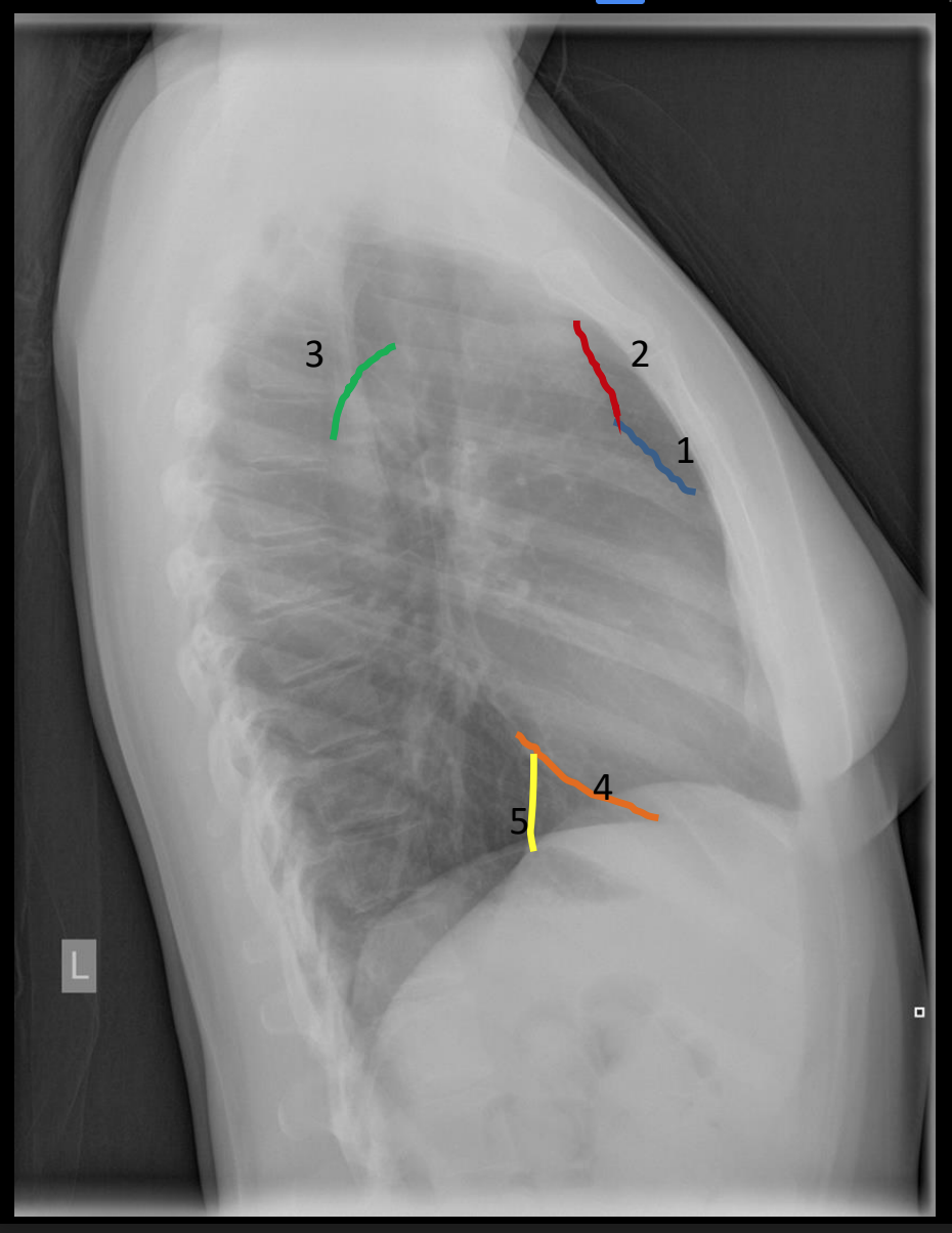
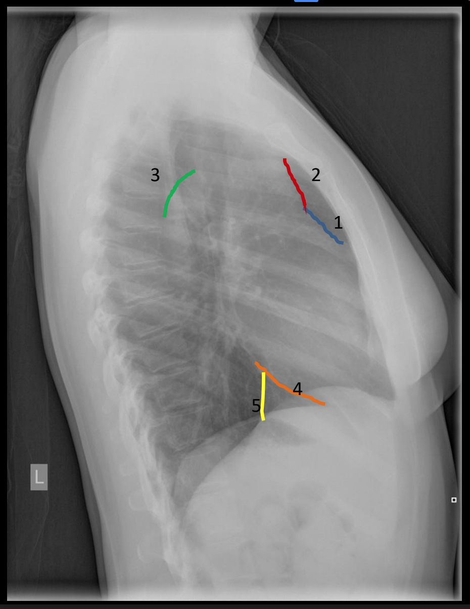
what is 7?

spine of left scapula
what is 6?

superior margin of anterior right rib 9
what is 5?

left hemidiaphragm