Lab 4: Integumentary Flashcards

(6 cards)

1
Q

What are the three layers of the integument? What are the important strata?

A
  1. Epidermis
    • Stratum corneum
    • Stratum lucidum
    • Stratum granulosum
    • Stratum spinosum
    • Stratum basale
  2. Dermis
    • Papillary layer
      • Dermal papillae
    • Reticular layer
  3. Hypodermis
    • NOT a part of integument but included due to close involvement in structure and function
How well did you know this?
1
Not at all
2
3
4
5
Perfectly
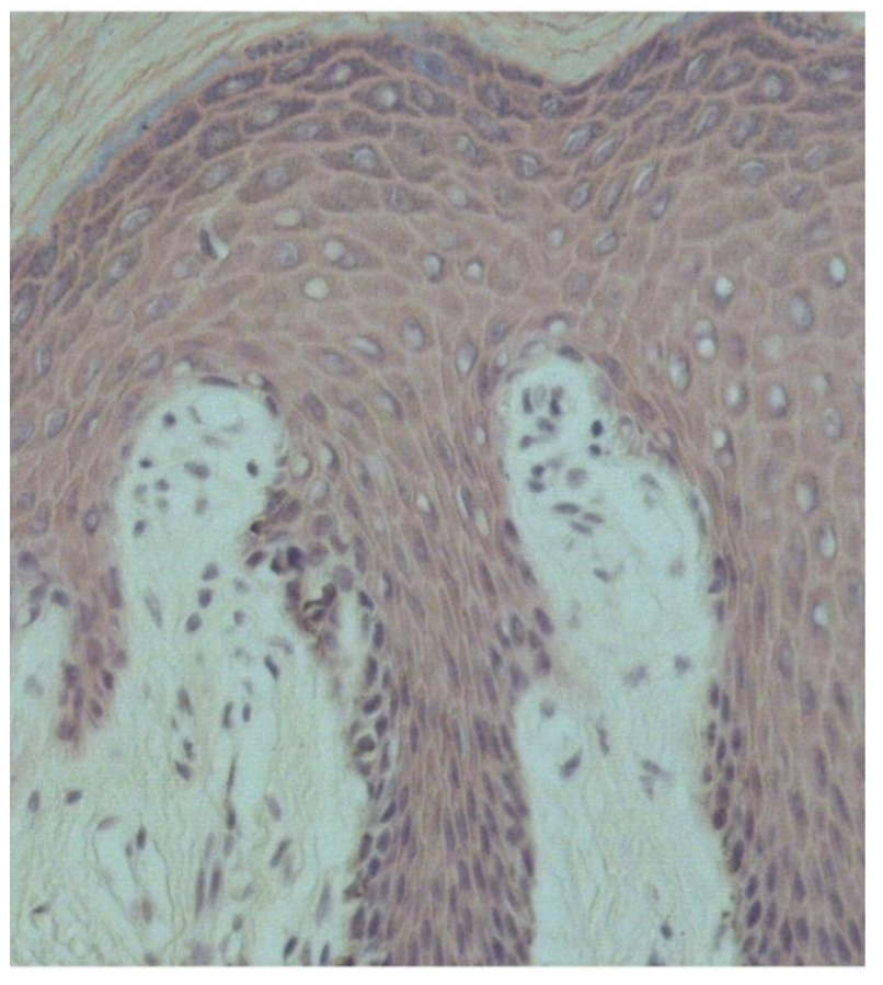
2
Q

What are identifying features of the different strata of epidermis?

A

Stratum corneum
- A thick stratified layer of dead keratinocytes
Stratum lucidum
- 1-2 layers of cells undergoing keratinization
Stratum granulosum
- Dark band of cells lining the lucidum and spinosum
Stratum spinosum
- The dense layer of living keratinocytes
Stratum basale
- The basement membrane

How well did you know this?
1
Not at all
2
3
4
5
Perfectly
3
Q

What are identifying features of the dermis?

A

Papillary layer
- Dermal papillae is the connective tissue layer below the epidermal ridges
Reticular layer
- Has dense irregular layer of collagen fibers

How well did you know this?
1
Not at all
2
3
4
5
Perfectly
4
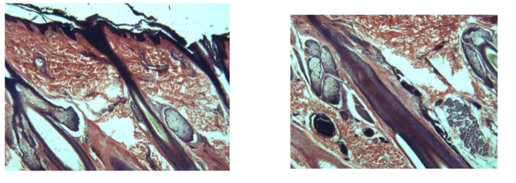
Q

What are the 8 accessory structures in this image?

A
How well did you know this?
1
Not at all
2
3
4
5
Perfectly
5
Q

Label the 7 points on this slide

A
How well did you know this?
1
Not at all
2
3
4
5
Perfectly
6
Q

Label the 5 points on this slide

A
How well did you know this?
1
Not at all
2
3
4
5
Perfectly