Lab 4 Slides Flashcards

(11 cards)

1
Q
A

Acid Fast negative

How well did you know this?
1
Not at all
2
3
4
5
Perfectly
2
Q
A

Acid Fast positive

How well did you know this?
1
Not at all
2
3
4
5
Perfectly
3
Q
A

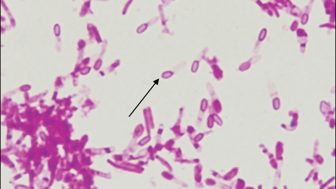
Central Elliptical Endospore

How well did you know this?
1
Not at all
2
3
4
5
Perfectly
4
Q
A

Thermal Elliptical Endospore

How well did you know this?
1
Not at all
2
3
4
5
Perfectly
5
Q
A

Subterminal Endospore

How well did you know this?
1
Not at all
2
3
4
5
Perfectly
6
Q
A

Capsular Staining

Pictured is Capsular (+)

How well did you know this?
1
Not at all
2
3
4
5
Perfectly
7
Q
A

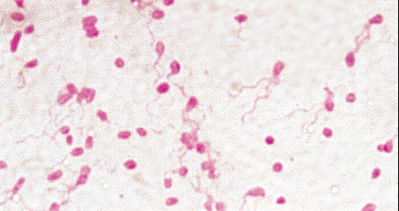
Polar Flagella

How well did you know this?
1
Not at all
2
3
4
5
Perfectly
8
Q
A

Amphitrichous Flagella

How well did you know this?
1
Not at all
2
3
4
5
Perfectly
9
Q
A

Peritrichous Flagella

How well did you know this?
1
Not at all
2
3
4
5
Perfectly
10
Q
A

Lophotrichous Flagella

How well did you know this?
1
Not at all
2
3
4
5
Perfectly
11
Q
A

Bacterial Flagella without staining - Phase Contrast

How well did you know this?
1
Not at all
2
3
4
5
Perfectly