Lab 8 Flashcards

(14 cards)

1
Q

Which of the following is the current gold standard in imaging for the detection of a PE?
a. Chest x-ray
b. CTPA
c. US
d. VQ scan

A

b

How well did you know this?
1
Not at all
2
3
4
5
Perfectly
2
Q

T/F

One advantage of CTPA over other methods of diagnosing a PE is the higher spatial and contrast resolution.

A

True

How well did you know this?
1
Not at all
2
3
4
5
Perfectly
3
Q

T/F

Beam hardening artifact from the SVC is a limitation of CTPA.

A

True

How well did you know this?
1
Not at all
2
3
4
5
Perfectly
4
Q

How can beam hardening artifact in the SVC be improved/reduced during a CTPA?
1. Dilution of contrast using a saline flush
2. Injecting contrast at a high flow rate and gradually reducing the flow rate during the scan
3. Performing the scan with the patient prone
4. Coaching the patient with breathing instructions
5. Both 1+2

A

Dilution of contrast using a saline flush

How well did you know this?
1
Not at all
2
3
4
5
Perfectly
5
Q

Which of the following is a potential patient dependent limitation during a CTPA study?
a. Patient position
b. Sex
c. Weight
d. Beam hardening artifact from SVC

A

Beam hardening artifact from SVC

How well did you know this?
1
Not at all
2
3
4
5
Perfectly
6
Q

Which of the following is an ideal IV contrast injection flow rate for a CTPA study?
a. 1cc/s
b. 3cc/s
c. 5cc/s
d. 8cc/s

A

5cc/s

How well did you know this?
1
Not at all
2
3
4
5
Perfectly
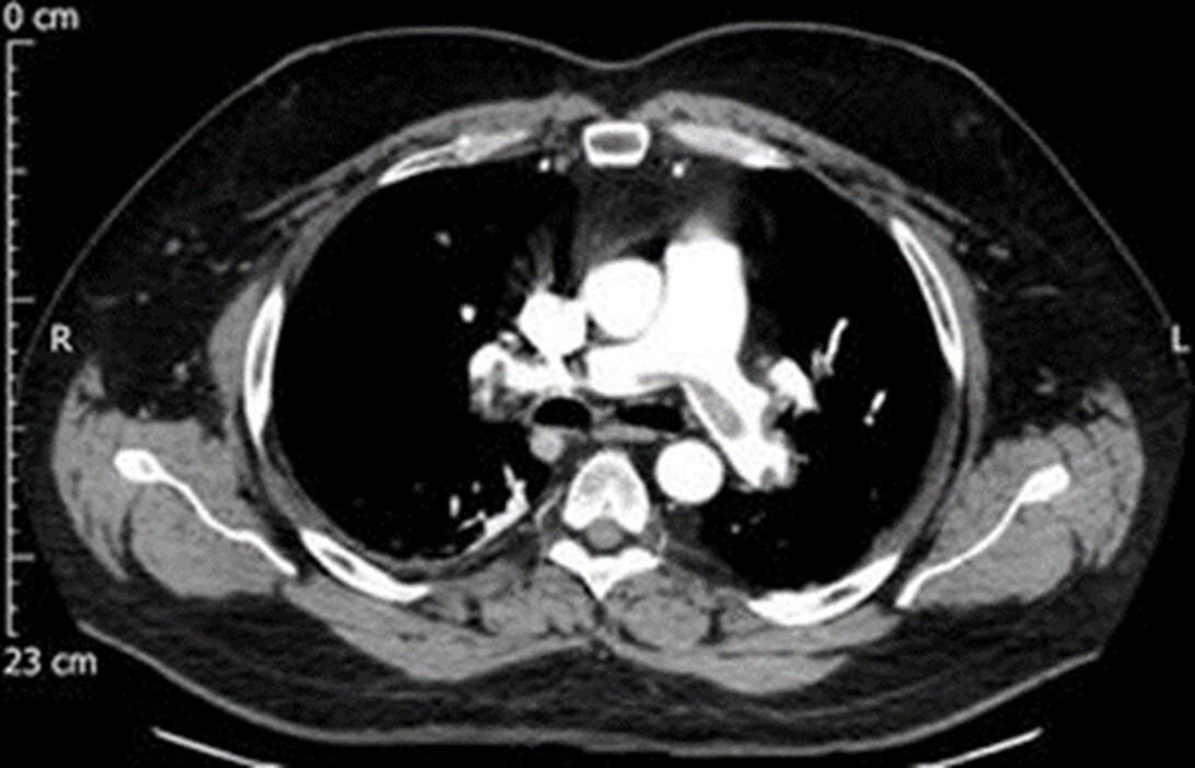
7
Q

What aspects of the following image makes it so that the image has excellent enhancement?

A

-Contrast is in the pulmonary arteries only. There is very little contrast in the aorta
-64 slice scanner
-ROI was placed in the pulmonary artery and was triggered at 140 HU

How well did you know this?
1
Not at all
2
3
4
5
Perfectly
8
Q

Aside from reminding the patient to remain still, what could the technologist have done to ensure image acquisition occurred at peak pulmonary artery enhancement?

A

Expiratory imaging

How well did you know this?
1
Not at all
2
3
4
5
Perfectly
9
Q

Why is the expiratory phase in imaging recommended during a CTPA

A

-In cases of Valsalva’s, we get a lower quality image in the pulmonary arteries. Expiration imaging avoids suboptimal PA opacification. During inspiration there is a variable increase in unspecified venous blood from the IVC, briefly diluting contrast entering the SVC.
-Expiratory imaging improves diagnostic quality of CTPA by eliminating transient attenuation artifact
-Showed greater attenuation of the Pulmonary trunk, right + left Pulmonary arteries.

How well did you know this?
1
Not at all
2
3
4
5
Perfectly
10
Q

To visualize subsegmental pulmonary emboli, what should the reconstruction slice thickness be?:
a. Less than 1mm
b. Greater than 1mm
c. Greater than 1mm but less than 2mm
d. Between 2 and 5 mm

A

a. Less than 1mm

How well did you know this?
1
Not at all
2
3
4
5
Perfectly
11
Q

Your timing bolus series provides the following graph. If the scanner prep delay is 5 seconds, what would the total scan delay be, to ensure image acquisition occurs at optimal PA opacification?
a. 4 seconds
b. 5 seconds
c. 8 seconds
d. 13 seconds

A

13 seconds

How well did you know this?
1
Not at all
2
3
4
5
Perfectly
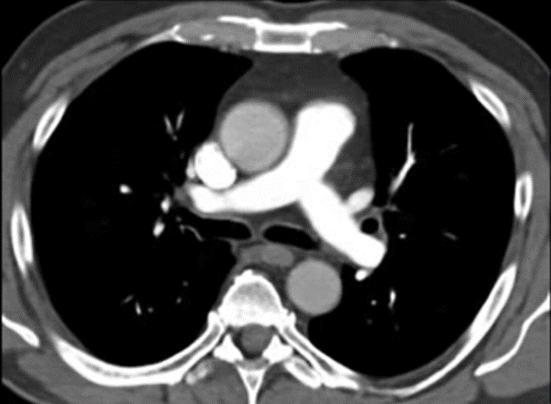
12
Q

You end up with the following CTPE scan. An ROI placed in the pulmonary trunk yields a mean HU of 100. Is the scan optimal, yes or no, and why?

A

No, it is not optimal, the pulmonary trunk is not opacified as much as it should be.

How well did you know this?
1
Not at all
2
3
4
5
Perfectly
13
Q

If your opacification was suboptimal despite your total prep delay being accurate, provide 4 other PRACTICAL solutions you would consider to optimize opacification.

A

Increase the contrast volume
Inject faster
Coach breathing
Try to get a good 18 - 20G IV

How well did you know this?
1
Not at all
2
3
4
5
Perfectly
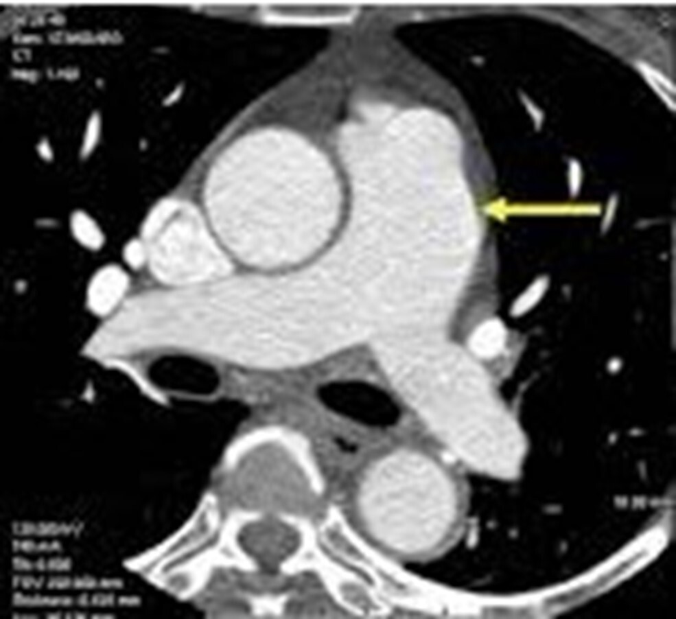
14
Q

Is this study positive for PE?

a. Yes
b. No

A

Yes

How well did you know this?
1
Not at all
2
3
4
5
Perfectly