Lab Practical 1 Flashcards

(40 cards)

1
Q

What type of tissue is this?

A

Spongy bone

How well did you know this?
1
Not at all
2
3
4
5
Perfectly
1
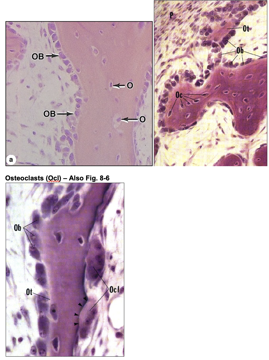
Q

What type of tissue is this? What type of cells are present?

A

spongy bone
- osteoblasts, osteocytes

How well did you know this?
1
Not at all
2
3
4
5
Perfectly
2
Q

What type of tissue is this? What structures are present?

A

compact bone
- osteon (whole structure)
- central canal (dark circle)
- lamellae (rings)
- osteocytes (flattened cells on lamellae)
- canaliculi (thin lines perpendicular to lamellae)

How well did you know this?
1
Not at all
2
3
4
5
Perfectly
3
Q

What types of tissue are present? Where are each of them located in the body?

A
  • top - hyaline cartilage -elbows
  • middle - elastic cartilage - ears
  • bottom - fibrocartilage - pubic symphysis
How well did you know this?
1
Not at all
2
3
4
5
Perfectly
4
Q

What type of tissue is this? What structures are indicated by the letters?

A
  • hyaline cartilage
    • P - perichondrium
    • C - chondrocyte
    • M - matrix
How well did you know this?
1
Not at all
2
3
4
5
Perfectly
5
Q

What type of tissue is this? What structures are indicated by the letters?

A
  • elastic cartilage
  • C- chondrocytes
  • M - matrix
  • P - perichondrium
How well did you know this?
1
Not at all
2
3
4
5
Perfectly
6
Q
A

elastic cartilage

How well did you know this?
1
Not at all
2
3
4
5
Perfectly
7
Q
A
  • fibrocartilage
  • C - chonrdrocytes
How well did you know this?
1
Not at all
2
3
4
5
Perfectly
8
Q

What cells are indicated by the arrows? What type of tissue do these appear in?

A
  • fibroblasts
  • CT
How well did you know this?
1
Not at all
2
3
4
5
Perfectly
9
Q

What type of tissue is this? What structures are they usually by?

A
  • mast cells
  • blood vessels
How well did you know this?
1
Not at all
2
3
4
5
Perfectly
10
Q

What type of tissue is this?

A
  • type 1 collagen
How well did you know this?
1
Not at all
2
3
4
5
Perfectly
11
Q
A

Collagen fiber

How well did you know this?
1
Not at all
2
3
4
5
Perfectly
12
Q

What type of fiber is this? What type of stain is required for this these fibers?

A
  • reticular fibers (CT)
  • silver stain
How well did you know this?
1
Not at all
2
3
4
5
Perfectly
13
Q

What type of fiber is this?

A
  • Elastic fibers (CT)
How well did you know this?
1
Not at all
2
3
4
5
Perfectly
14
Q

What type of cell is this?

A

plasma cells

How well did you know this?
1
Not at all
2
3
4
5
Perfectly
15
Q

What is this?

A

Ground substance

How well did you know this?
1
Not at all
2
3
4
5
Perfectly
16
Q

What type of tissue is this? What cell is shown here?

A
  • loose CT
  • lymphocytes
17
Q
A
  • loose connective tissue
18
Q

What two types of tissue are indicated in these pictures?

A
  • L - loose connective tissue
  • D - dense irregular tissue
19
Q

What type of tissue is this?

A
  • dense regular connective tissue
20
Q

What structure are the arrows pointing to?

A

the basement membrane

21
Q

What structures are indicated in this picture?

A
  • MV - microvilli
  • TJ - tight junction
  • AJ - zonulae adherens
  • IF - intermediate filaments
22
Q

What structures are indicated in this picture?

23
Q

What structures are indicated in this picture?

24
What type of tissue is this?
simple squamous epithelium
25
What type of tissue is this?
simple cuboidal epithelium
26
What type of tissue is this?
simple columnar epithelium
27
What type of tissue is this?
stratified squamous epithelium
28
What type of tissue is this?
transitional epithelium
29
What type of tissue is this?
Pseudostratified ciliated columnar epithelium (PSCCE)
30
What type of cells are pictured here?
goblet cells
31
What organelle is pictured here? What is the outer membrane called? What structures are on this outer membrane?
nucleus, nuclear membrane, nuclear pores
32
What are the structures indicated by H?
chromatin
33
What structures are indicated in this picture?
nuclear pores
34
What organelles are pictured here?
- ribosomes - rough ER - smooth ER
35
What organelle is pictured here? What do each of the abbreviations indicate?
- golgi apparatus - N - nucleus - TV - transport vesicles - RER - rough ER - CGN - cis face of golgi - TGN - trans face of golgi - SV - secretory vesicles
36
What organelle is pictured here?
lysosomes
37
What organelle is pictured here?
mitochondria
38
What structures are pictured here?
- MF - microfilaments - MT - microtubules
39
What structure is pictured here?
intermediate filaments