what is this orginizum and what is the function of the indicated part

Anabeana, a genus of cyanobacteria.
fixes carbon
give the shape and gram stain result

cocci
gram positive
name the organizum and its indicated parts

Amoeba
Which antiseptic was most effective in killing off the bacteria on this petri dish?

P
The purple iodine stain on these granules is a positive test for…?
starch
There is substantial evidence that mitochondria and chloroplasts are remnants of once free-living bacteria that came to live in intimate contact with archaea; this is part of a theory termed the ______________ theory.
endosymbiotic
What is the name of these locomotory structures that all members of the phylum possess?

paramecium cillia
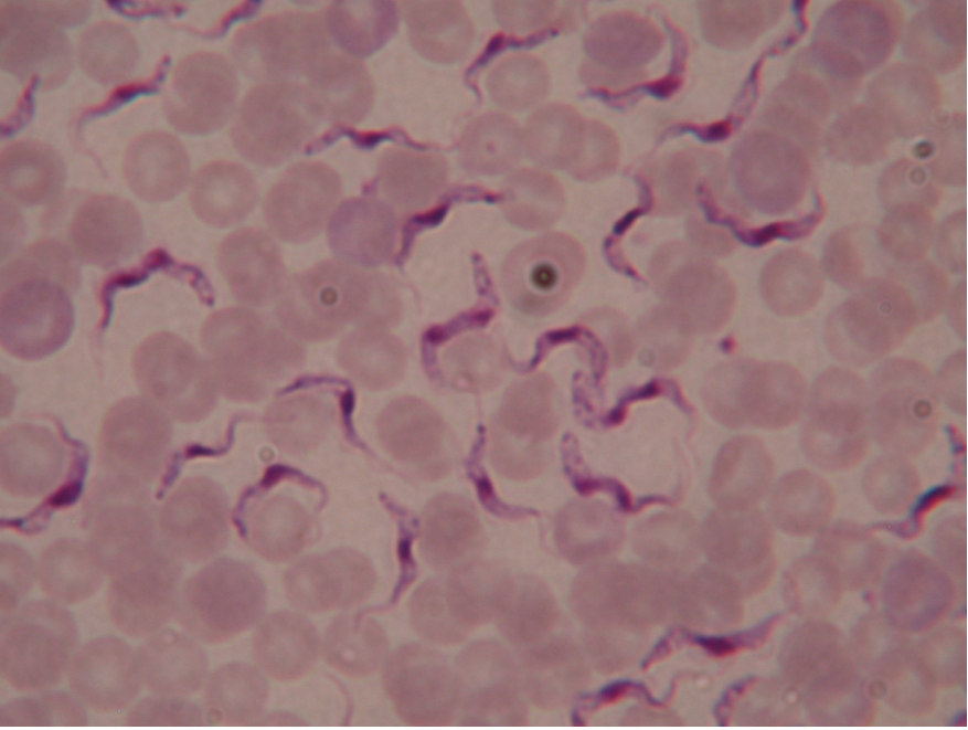
what is the organism shown lineage phylum what disease does this cause

Trypanosoma gambienese Lineage Excavata phylum Kinetoplastida
causes african sleeping sickness
what is this organisim

Rotifer
diagram A represents a gram negative bacterium

false
what lineage and phylum is this organism

lineage excavata phylum parabasalida : trichonympha: ;oves in termites and help termites digest cellulos in wood
what is the organism and what is the structure indicated
Phylum Actinopoda. lineage rhizaria
part indicated axopdia (long thin pseudopodia) gather food
match the parts to the lables

A Peristome
B capsule Sporangium
C Seta of Sporophyte
D Gametophyte
name the lineage

Excavata: Euglena viridis
name the lineage

avelolata : ceratium
name the lineage

Stamenopila
name the form group with in phylum rhodophyta

microscopic filamentous
name the form froup within the phylum Rhodophyta

filamentous branched
name the form froup within the phylum Rhodophyta

encrusting coralline
name the form froup within the phylum Rhodophyta

jointed coraline
name the organism and lineage and name structures

Stramenopila: phylum Phaeophyta ( brown alge)
A Blade
B stipe
C Hold fast
not shown air blader Bubble
name the structures and name the organism

Euglena
A flagellum
B eyespot
C vacuole
D Paramylon graanules
E chloroplast
F Nucleus
Which cellular structure is responsible for rejecting the Gram staining procedure, resulting in a Gram negative stain?
lipopolysaccharide coat
this is the upper surface of a thallose liverwort these cup structures are

gemmae cups, containing multicellular gemmae inside produced by mitosis (for asexual reproduction)