Lab Tissues Flashcards

(29 cards)

1
Q

What is the type of tissue shown? What is the space indicated in the image? Where would you find it? What function does it have?

A

Simple squamous epithelium

indicated space - lumen

Locations:

  1. Endothelium - lines cardiovascular and lymphatic systems
  2. Mesothelium - epithelial layer of serous membranes
  3. air sacs of lungs, Bowman’s capsule of kidneys, inner surface of eardrum

Function: filtration, diffusion, and secretion in serous membranes

How well did you know this?
1
Not at all
2
3
4
5
Perfectly
2
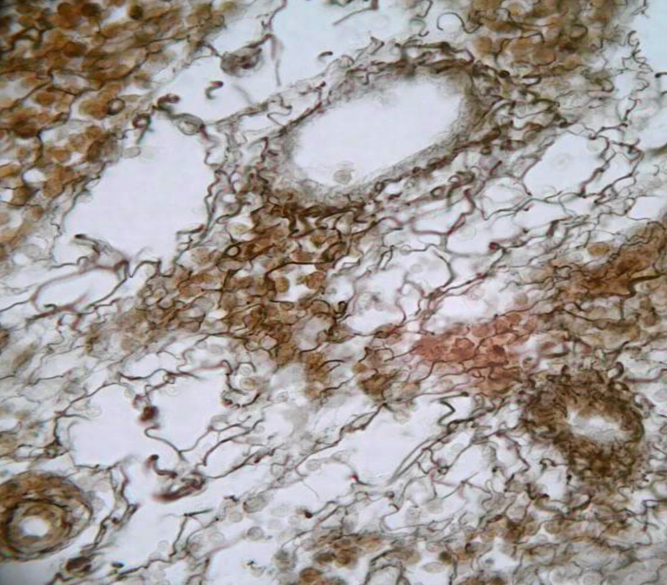
Q

What type of tissue is this? What are the structures and spaces indicated in the photo? Where would you find it? What functions does it have?

A

simple cuboidal epithelium

space - lumen
structure - connective tissue

Locations:

  • surface of ovaries
  • capsule of lens of eye, pigmented epithelium of retina
  • lines kidney tubules
  • secreting portion of thyroid gland, pancreas

Function: secretion and absorption

How well did you know this?
1
Not at all
2
3
4
5
Perfectly
3
Q

What is this type of tissue? What is on its apical surface? Where would it be found? What are its functions?

A

Nonciliated simple columnar epithelium

Apical surface - microvilli

Location: GI tract, ducts of glands, gallbladder

Function: secretion and absorption

  • larger than cuboidal: higher level of absorption and secretion
  • goblet cell secretes mucus
  • helps protect stomach lining
How well did you know this?
1
Not at all
2
3
4
5
Perfectly
4
Q

What is this type of tissue? What is on its apical surface? Where would it be found? What are its functions?

A

Ciliated simple columnar epithelium

apical surface - cilia

Location:

  • bronchioles of respiratory tract, paranasal sinuses
  • fallopian tubes, uterus
  • central canal of spinal cord, ventricles of brain

Function:
cilia beed in unison, moving mucus/foreign particles toward throat
- speed up by coughing/sneezing
help move oocytes expelled from ovaries through fallopian tubes

How well did you know this?
1
Not at all
2
3
4
5
Perfectly
5
Q

What is this type of tissue? What is on its apical surface? Where would it be found? What are its functions?

A

Ciliated pseudo stratified columnar epithelium (can also be nonciliated)

apical surface: Cilia
- nonciliated without cilia/goblet cells

Location:
Ciliated: airways of upper respiratory tract
Nonciliated: large ducts of many glands, epididymis, male urethra

Function:
Ciliated: secretes mucus from goblet cells that trap particles, sweeps away for elimination
Nonciliated: variety of functions in absorption and protection

How well did you know this?
1
Not at all
2
3
4
5
Perfectly
6
Q

What is this type of tissue? Where would it be found? What are its functions?

A

Nonkeratinized stratified squamous epithelium

Location: wet surfaces - mouth, esophagus, epiglottis, pharynx, vagina, tongue

Function: protection against abrasion, water loss, UV radiation, foreign invasion
- defense against microbes

How well did you know this?
1
Not at all
2
3
4
5
Perfectly
7
Q

What is this type of tissue? What is on its apical surface? Where would it be found? What are its functions?

A

Kertatinized stratified squamous epithelium

apical surface: keratin - tough, fibrous intracellular protein that protects skin

Location: superficial layer of the skin

Function: protection against abrasion,w water loss, UV radiation and foreign invasion
- 1st line of defense against microbes

How well did you know this?
1
Not at all
2
3
4
5
Perfectly
8
Q

What is this type of tissue? What is on its apical surface? Where would it be found? What are its functions?

A

Stratified cuboidal epithelium

Apical surface: lumen

Location: ducts of sweat and esophageal glands, part of male urethra

Function: protection, limited secretion and absorption

How well did you know this?
1
Not at all
2
3
4
5
Perfectly
9
Q

What is this type of tissue? Where would it be found? What are its functions?

A

Stratified columnar epithelium
- apical cells are typically more columnar than basal

Location:

  • lines portion of urethra
  • large excretory ducts of esophageal glands
  • small areas in anal mucous membrane
  • conjunctiva of eye

Function: protection and secretion

How well did you know this?
1
Not at all
2
3
4
5
Perfectly
10
Q

What is this type of tissue? What is on its apical surface? Where would it be found? What are its functions? What is the difference between A and B?

A

Transitional epithelium
- variable appearance, can be relaxed or stretched

Apical surface: cells give away state

  • Spherical - relaxed
  • flattened - stretched

Location: urinary bladder, portions of ureters and urethra

Function: multiple layers and elasticity allow urinary organs to stretch and maintain protective lining with different volumes of fluid without rupturing

How well did you know this?
1
Not at all
2
3
4
5
Perfectly
11
Q

Identify A, B and C in the image.

A

A. Nonciliated simple columnar cell
B. Basement membrane
C. Connective tissue

How well did you know this?
1
Not at all
2
3
4
5
Perfectly
12
Q

What are the yellow structures in the image? What are their function? What kind of epithelial cells would you find them with?

A

Goblet cells - modified columnar cells epithelial cells that secret music at their apical surface

Columnar cells

How well did you know this?
1
Not at all
2
3
4
5
Perfectly
13
Q

What kind of connective tissue is this? What are all the highlighted structures? Where would you find this kind of CT and what is its function?

A

Areolar connective tissue - loose CT

Green - Fibroblast
Red - Mast cell surrounded by histamine
Blue - Elastic Fiber
Yellow - Collagen fiber

Location: in and around nearly every body structure

Function:
strength, elasticity, support

How well did you know this?
1
Not at all
2
3
4
5
Perfectly
14
Q

What kind of connective tissue is this? What are the highlighted structures and spaces? Where is it found? What is its function?

A

Adipose tissue - loose CT

Blue - plasma membrane
Yellow - Blood vessel
Space - fat storage area

Location: wherever areolar connective tissue is located, around heart and kidneys, yellow bone marrow, padding at joints, behind eyeball

Function: reduces heat loss through skin, energy reserve, support and protests organs

How well did you know this?
1
Not at all
2
3
4
5
Perfectly
15
Q

What kind of connective tissue is this? Where is it found? What is its function?

A

Reticular connective tissue - loose CT
- made of reticular fibers and reticular cells

Location: stroma of liver, spleen, lymph nodes

  • red bone marrow
  • reticular lamina of basement membrane
  • surrounds blood vessels and muscles

Function:

  • forms stroma of organs
  • bind smooth muscle tissue cells
  • filters are removed worn out blood cells in spleen, microbes in lymph nodes
How well did you know this?
1
Not at all
2
3
4
5
Perfectly
16
Q

What kind of connective tissue is this? What are the circled structures? Where is it found? What is its function?

A

Dense connective tissue - dense CT

circle - fibroblast
Square - Collagen fibers

Location: tendons (muscle to bone)

  • ligaments (bone to bone)
  • aponeurosis (muscle to muscle/bone)

Function: strong attachment between structures
- withstands tension along axis

17
Q

What kind of connective tissue is this? What are the highlighted structures and spaces? Where is it found? What is its function?

A

Dense irregular connective tissue - Dense CT

Blue - nucleus of fibroblast
Green - blood vessels
Yellow - collagen fibers

Location - occurs in sheets

  • fasciae
  • reticular region of dermis
  • pericardium of heart
  • perichondrium of cartilage

Function: provides tensile (pulling) strength in many directions

18
Q

What kind of connective tissue is this? Where is it found? What is its function?

A

Elastic connective tissue - Dense CT
- predominantly made of elastic fibers with fibroblasts between them

Location: lung tissue, elastic arteries, trachea, bronchial tubes, vocal cords, ligaments of penis, ligaments between vertebrae

Function: allows organs to stretch
- strong elastic, can recoil to original shape after stretching

19
Q

What kind of connective tissue is this? What are the highlighted structures and spaces? Where is it found? What is its function?

A

Hyaline cartilage - Cartilage
- ground substance is smooth, cells surrounded by perichondrium

yellow: Lacuna
Green - Chondrocyte (cell)

Location: most abundant cartilage in body
- ends of bones, anterior ends of ribs, nose, larynx, trachea, bronchi/tubes

Function: provides smooth surfaces for movement at joints, flexibility and support

20
Q

What kind of connective tissue is this? Where is it found? What is its function?

A

Fibriocartilage - cartilage

  • surrounded by thick bundles of collagen, lack perichondrium
  • has lacuna

Location: pubic symphysis (where hips bones join), intervertebral discs, menisci of knee, portions of tendons

Function: support and joining structures together
- strongest type of cartilage due to strength and rigidity

21
Q

What kind of connective tissue is this? What are the highlighted structures and spaces? Where is it found? What is its function?

A

elastic cartilage - cartilage

  • chondrocytes in threadlike network of elastic fibers
  • perichondrium present

Location:

  • lid of larynx (epiglottis)
  • external ear
  • auditory tubes

Function: provides strength and elasticity
- maintains shape of certain structures

22
Q

Describe a cell in interphase

A

contains defined nuclear envelope, nucleolus and chromatin

- state of high metabolic activity

23
Q

Describe G1, S, and G2

A

G1: metabolically active

  • organelles and cytosolic components replicate
  • centrosomes begin replicating

S: DNA replication
- both daughter strands has portion of mother strand

G2: cell growth, protein synthesis
- centrosome replication complete

24
Q

What phase is this cell in? What happens in this phase?

A

Prophase:
chromatin condense and shorten into chromosomes
- chromosomes consist of two identical chromatids held together by centromere

Mitotic spindle forms: football shaped microtubules attach to kinetochore of centromere

Nucleolus and nuclear envelop break down

25
What phase is this cell in?
Metaphase microtubules of mitotic spindle align centromeres of the chromatid pairs at the center of the mitotic spindle
26
What phase is this cell in? What starts at this phase?
Anaphase - centromeres split, separating chromatids and pulling them toward opposite poles of cell - individual chromatid becomes a chromosome again Cytokinesis begins - division of cell cytoplasm - cleavage furrow: slight indentation of plasma membrane due to actin filaments
27
What phase are these cells in? What happens in this phase?
Telophase begins after chromosomal movement stops mitotic spindle breaks up chromosomes uncoil and turn back into chromatin nuclear envelope forms around chromatin mass & nucleoli appear once completed, cytokinesis continues until completion = 2 daughter cells in interphase
28
What is this structure? When does it form? What kind of cells produce it?
cell plate - begins growing in telophase plant cells (ex. onion root tips)
29
What are the differences in cell replication in plants and animal cells?
Animal cells have: centrioles, asters Plant cells: cell plate for cytokinesis