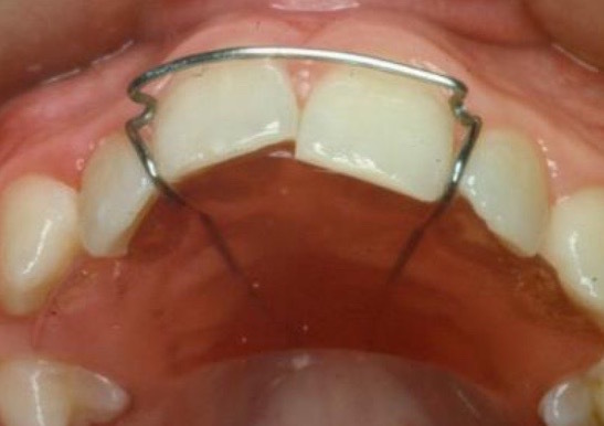
What is a labial bow?
A largely horizontal wire labial to the incisor teeth
What are the uses of a labial bow?
Retention: holding the appliance up anteriorly
Guidance: of canines during retraction
Active: retracting of the incisors
Retention: holding the corrected teeth in their new position
What are the 4 elements of a removable appliance?
Active components
Retentive components
Baseplate
Anchorage
Which of the 4 elements of a removable appliance does a labial bow fulfil?
2 = active and retentive component
What are the different orthodontics active components?
Springs, bow and screws
What are the two types of labial bow?
High labial bow and reverse looped bow
What is a high labial bow suited for?

An active component only (made of very thin wire and contains apron spring)
What is a reverse looped bow suited for?

More versatile (active and retentive)
In a reverse looped bow where is the loop situated?
Beyond the working area
What is retention?
The capacity of an appliance to remain fixed in the mouth
E.g. of labial bow positions relative to the normally angulated central incisor…
High gingival position may engage some undercut but incisor has little undercut -> the bow is too flexible and the undercut too little to provide good retention

How do we tighten the labial bow?
By squeezing the loop = lift it back up = flattens the top of the bow

How do we raise or lower the bar?
By adjusting the flat bit of the loop = Flexes the bow so it sits at the right position

Name two alternative anterior retainers?
Southend clasp (anterior retainer of choice)
Adams anterior clasp
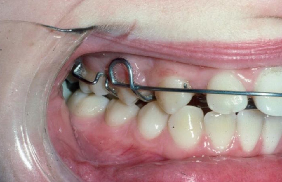
What is a Southend clasp?
Fits right down to the gingival margin = stiff and engages a lot of undercut

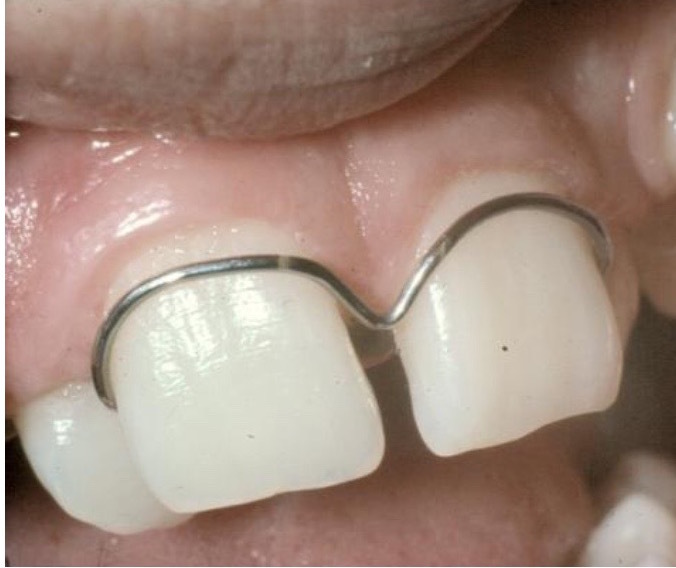
What does an Adams anterior clasp look like?

How does a labial bow control tooth movement?
It can guide canine retraction (by preventing the canine escaping labially and lessen any tendency to rotate)
How does a labial bow move teeth?

How may a labial bow help in treatment of Class II div I (lower jaw appears further back and teeth proclined = over-jet)?
Which thickness of wire should be used to make a labial bow for retention?
Stiff (thick) wire
Which thickness of wire should be used to make a labial bow for guiding a canine?
Stiff (thick) wire
Which thickness of wire should be used to make a labial bow for retracting incisors?
Flexible wire
Which thickness of wire should be used to make a labial bow for retaining tooth positions?
Stiff (thick) wire
The difficulty with needing a flexible wire for retracting incisors following retraction of canines in Class II div I?
Once canines have been moved into the wanted position by the spring we split the bow to make it much more flexible while retracting the incisors (curl the ends a little) -> to get the right force and good range of action = needs to activate 3 mm = tighten curve of bow in area where canines used to be
Bow can be made much stiffer again by soldering the ends together
n.b. not frequent method any more but works well in the right case
