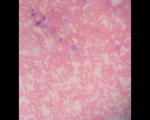
Identifique microorganismo.

Aspergillus flavus
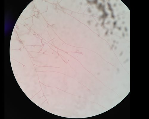
Identifique microorganismo.


Identifique microorganismo.

Trichosporon beigelii
Identifique microorganismo.


Identifique microorganismo.

Nocardia brasiliensis
Identifique microorganismo.


Identifique microorganismo.

Actinomadura madurae
Identifique microorganismo.


Identifique microorganismo.

Fusarium poae
Identifique microorganismo.


Identifique microorganismo.

Nocardia asteroides
Identifique microorganismo.


Identifique microorganismo.

Candida albicans
Identifique microorganismo.


Identifique microorganismo.

Aspergillus niger
Identifique microorganismo.


Identifique microorganismo.

Rhizopus spp.
Identifique microorganismo.


Identifique microorganismo.

Exophiala werneckii
Identifique microorganismo.


Identifique microorganismo.

Aspergillus fumigatus
Identifique microorganismo.


Identifique microorganismo.

Phialophora verrucosa
Identifique microorganismo.

