LAC Flashcards

(24 cards)

1
Q

Epidemiologia LAC:

A

Homem jovem (30a)
Trauma esportivo

How well did you know this?
1
Not at all
2
3
4
5
Perfectly
2
Q

Qual o mecanismo de trauma na LAC?

A

Trauma direto: mais comum, LAC alto grau
Trauma indireto: queda com cotovelo estendido, LAC baixo grau (cabeça do úmero impacta no acrômio)

How well did you know this?
1
Not at all
2
3
4
5
Perfectly
3
Q

Como é a anatomia da AC?

A

Cápsula articular é dividida em 4 partes: superior, inferior, posterior e anterior (a parte superior é muito mais espessa e importante
Disco fibrocartilaginoso
Lig acromioclavicular estabilizador HORIZONTAL
Lig coracoclaviculares estabilizador primário VERTICAL
- trapezoide: + forte, anterior e lateral (estabiliza posterior)
- conoide: posterior e medial (estabiliza anterior) coMoide Mole e Medial

How well did you know this?
1
Not at all
2
3
4
5
Perfectly
4
Q

Quais achados no exame físico da LAC?

A

Dor à palpação
Inferiorização do acrômio pelo peso do braço (LAC III e V)

How well did you know this?
1
Not at all
2
3
4
5
Perfectly
5
Q

Como diferenciar a LAC III da V?

A

Se há redução = III

How well did you know this?
1
Not at all
2
3
4
5
Perfectly
6
Q

Como é o exame físico da LAC IV?

A

Ocorre posteriorização ao aduzir o ombro devido à instabilidade no plano horizontal

How well did you know this?
1
Not at all
2
3
4
5
Perfectly
7
Q

O que é o Cross Arm Test?

A

Usado nas LAC I e II

Faz adução do braço e essa adução vai gerar impacto do acrômio na clavícula distal = dor

How well did you know this?
1
Not at all
2
3
4
5
Perfectly
8
Q

O que é o teste de O’Brien e como pode ser útil na avaliação da LAC?

A

Se o paciente tem dor nas duas fases (pronação e supinação), não estamos lidando com SLAP e sim com dor na AC —> investigar LAC

How well did you know this?
1
Not at all
2
3
4
5
Perfectly
9
Q

Qual teste avalia estabilidade horizontal da AC?

A

Paxino’s

Você coloca o indicador na região anterior da lateral da clavícula e o polegar na parte posterior do acrômio fazendo uma força contrária, tentando trazer a clavícula pra trás em relação ao acrômio

How well did you know this?
1
Not at all
2
3
4
5
Perfectly
10
Q

Como fazer o dx clínico da LAC segundo Rockwood?

A

Útil nas tipo I e II pq a partir da III tem deformidade visível

How well did you know this?
1
Not at all
2
3
4
5
Perfectly
11
Q

Como é a classificação de Rockwood? Qual o tipo mais comum e o mais raro?

A
How well did you know this?
1
Not at all
2
3
4
5
Perfectly
12
Q

Quais as particularidades da LAC grau VI e o que fazer?

A

Trauma em hiperabdução que gera essa inferiorização
Pode ficar subcoracoide e subacromial —> nas subcoracoides é de extrema importância reduzir, pois há risco de lesão de plexo
Associada à traumas de alta energia
Muito raras

How well did you know this?
1
Not at all
2
3
4
5
Perfectly
13
Q

Qual é a lesão associada mais comum na LAC?

A

1ª: SLAP (18%)
2ª mais comum: Lesões parciais articulares do manguito rotador

How well did you know this?
1
Not at all
2
3
4
5
Perfectly
14
Q

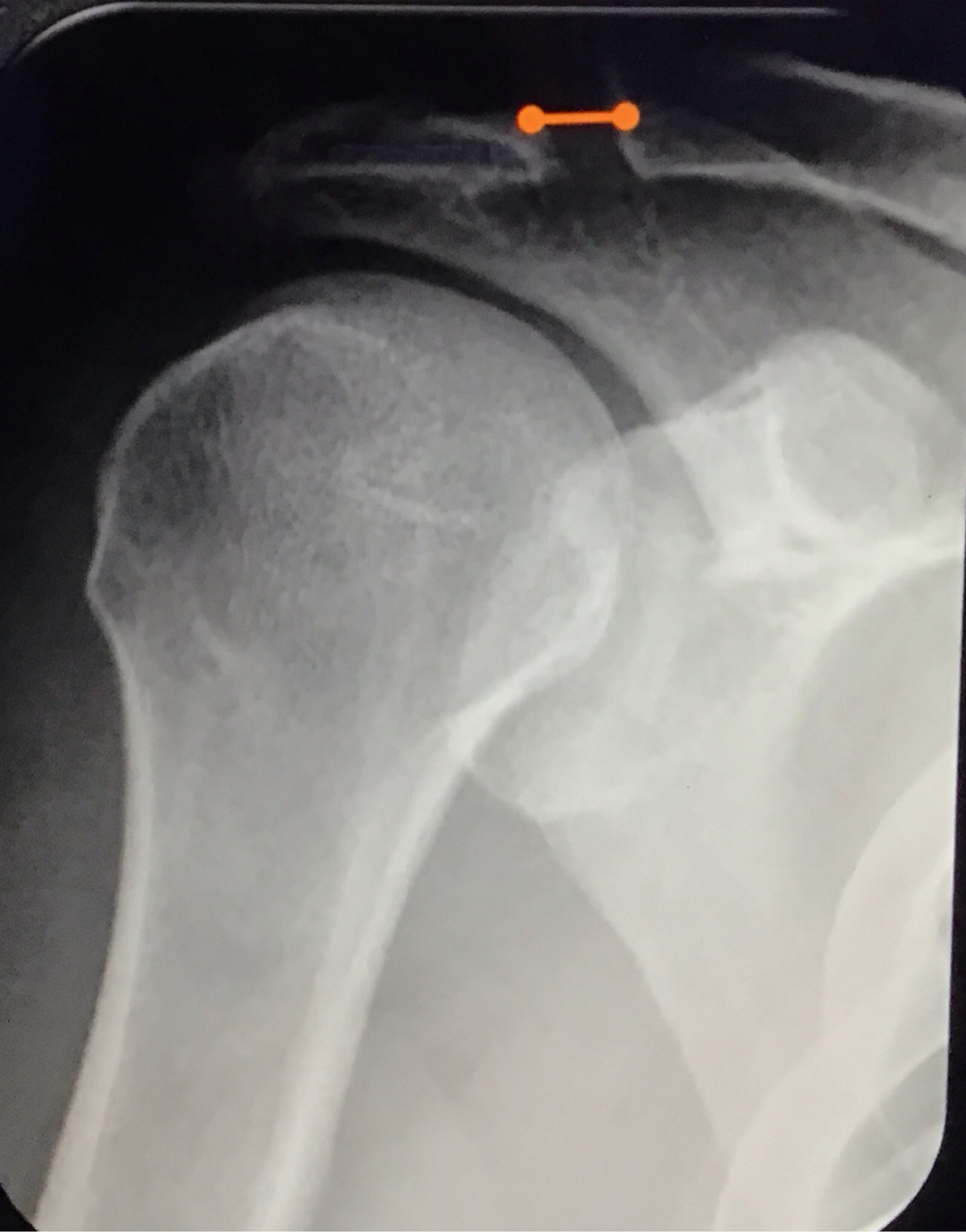
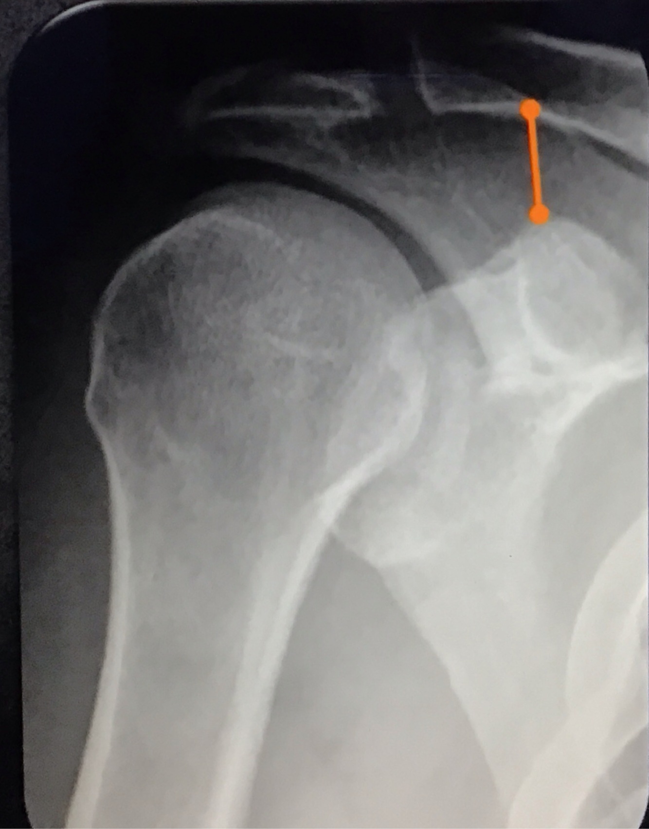
Qual a melhor incidência radiográfica pra avaliar LAC?

A

Zanca
angulação cranial de 10 a 15°

How well did you know this?
1
Not at all
2
3
4
5
Perfectly
15
Q

Qual a distância coracoclavicular normal?

A

11 a 13mm

How well did you know this?
1
Not at all
2
3
4
5
Perfectly
16
Q

Qual a distância acromioclavicular normal?

A

7mm nos homens
8mm nas mulheres

17
Q

O que pensar nos casos em que o paciente tem LAC mas a distância CC está normal? O que fazer?

A

Avaliar fx da base do coracoide!
A LAC ocorreu pq o coracoide subiu junto, e não pq o ligamento rompeu
Deve-se fazer a incidência de STRIKER NOTCH

18
Q

Qual a particularidade da LAC na criança?

A

É considerada fx SH I ou II da clavícula distal
Os ligamentos CC estão íntegros, a A.C. fica íntegra, ocorre fx fisária e lesão do periósteo superior, fazendo a clavícula subir igual na LAC

19
Q

Qual a classificação da LAC na criança?

A

Rockwood = do adulto!

A única diferença são as estruturas lesadas na criança: fx da fise lateral, periósteo superior e fáscia deltotrapezial

Tipo 1: estiramento da AC
2: fx fisária
3: lesão do periósteo superior e ascensão da clavícula
4: lesão do periósteo superior e lesão da fáscia deltotrapezial posterior
5: lesão da fáscia e periósteo superior

20
Q

Como é definido o tto cirúrgico x conservador na LAC?

A

Tipo 1 e 2: conservador
3: controverso
4, 5 e 6: cirúrgico

21
Q

Como fazer o tto cirúrgico na LAC?

A

Na LAC aguda (< 3 semanas) = alinhar a articulação (fio K com âncora CC, Hook plate, parafuso de Bosworth)

22
Q

Quais possíveis complicações pós op na LAC? Qual o melhor tto com relação às complicações?

A

Recidiva
Infecção no trajeto do pino (fio K)
Osteólise / fx (placa gancho / parafuso de bosworth)

Melhor tto amarrilhas CC = menos complicações

23
Q

Qual o melhor tto na LAC crônica (> 3 semanas)?

A

Necessita de fixação biológica

Transposição de Weaver Dunn —> transfere o coracoacromial pra região distal da clavícula, pra fazer a função do coracoclavicular

Outra opção:

Técnica de Mazzoca
- Resseca 10mm a clavícula lateral»_space; dessa ressecção, conta 35mm pra dentro (ou seja, 10 + 15 = 45mm —> fazendo o túnel do conoide)»_space; depois, recua 15mm e faz novo túnel (ou seja, 45 - 15 = 30, que seria +- o trapezoide)

24
Q

Quais as possíveis complicações no tto conservador? Como tratar?

A

Ossificação dos coracoclaviculares
Cronificação da dor (10% LAC 1 e 20% LAC 2): pode ser causada por osteólise da clavícula distal, artrose AC (56% dos casos), instabilidade residual

Osteólise e artrose AC = Munford (ressecção da clavícula distal)
Instabilidade = reconstrução ligamentar