The phenotype of the nude mouse model is:
Athymic and hairless (linked gene defect). ** No T cell function.**
Phenotype of SCID mouse?
Hypoplastic lymphoid tissues. No Ig or T cell responses. Sensitive to ionizing radiation because of defective DNA repair mechanisms.
T/F. Ectromelia virus is highly stable at room temperature.
TRUE
Which strains are most susceptible to mousepox (ectromelia) virus? Which are resistant?
Most susceptible: DBA/1, DBA/2, BALB/c, A, C3H
**Resistant: **C57BL/6, AKR
Mouse cytomegalovirus (MCMV) and thymic necrosis virus (MTV) are what type?
herpesviruses
MCMV is betaherpesvirus
Describe clinical signs and reservoir of MCMV. The pathogenicity of mouse cytomegalovirus (MCMV) __________ with age.
pathogenicity decreases with age
Asymptomatic in adult immunocompetent mice. Immunodeficient adult mice are susceptible to pathogenic infection. Neonates are highly susceptible to lethal infection, although maternal immunity is protective. Wild mice are reservoir. Persistently infected mice shed virus in saliva, urine, and tears for many months.

A central feature of non-lethal infection of mice with MCMV is
persistent infection (although MTV can also cause PI in salivary glands)
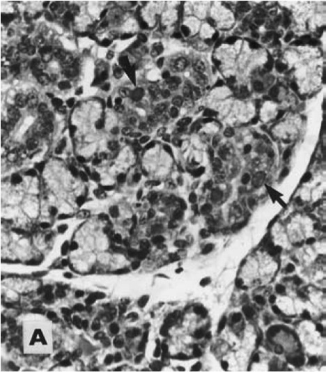
Persistent infection often affects the salivary glands and pancreas. Detection of enlarged cells with intranuclear inclusions, especially in salivary glands, are diagnostic, if present.
The type of immunity critical for protection against MCMV infection is
cellular
Severe, diffuse necrosis of the thymus is a clinical sign associated with
mouse thymic virus (MTV)
The hallmark histologic lesion of MTV is:
thymic necrosis associated with intranuclear herpetic inclusions in mice exposed within ~1 week after birth
MVM transmission and infection:
Characteristics of mouse adenovirus?
LAM, p 64

Histologic viral inclusions in mouse parvovirus are easier to detect in
infant mice than in adults
Mouse tissue. Etiology?

MAdV-2
The small DNA virus of mice that is highly antigenic in adults and induces multiple types of tumors in mice infected as neonates is called:
Murine polyoma virus (MPyV) - family Polyomaviridae (the other is K virus)
Natural infection is rare and asymptomatic in immunocompetent mice. Primary importance stems from use in murine models of experimental oncogenesis.
When and where do tumors arise in neonates experimentally infected with polyoma virus?
Experimental infection of neonatal mice can produce viremia and acute death. In surviving mice, tumors appear 2-12 months post-inoculation, and the salivary glands are prevalent sites in most strains. Tumors can also appear in skin adnexa, upper GI, and kidneys.
T/F. Prevention measures for airborne transmission are required for polyoma virus
True
Describe lactate dehydrogenase elevating virus (LDV) in terms of taxonomy, transmission, and clinical signs.
togavirus specific to mice
Primary mouse-to-mouse transmission is mechanical transfer from aggressive behavior. Inoculation of mice with contaminated biologicals (cell lines, transplantable tumors, serum) is most common source of induced infection. LDV can infect, but not replicate, in tumor cells.
Asymptomatic usually. Mild leptomeningitis and myelitis in C57BL/6. Causes increased levels of several serum enzymes, most notably lactate dehydrogenase (LDH). SJL/L mice show most dramatic increases (15-20X normal), which is due to a recessive somatic gene)
Infections with LDV induces a duration of viremia that peaks at _____ and then is __________
12-24 hours after infection; persistent at a lower level lifelong
Why is LDV difficult to detect?
infection produces modest humoral response, but virus-antibody complexes interfere with serologic tests
inhibitory factors in cells and serum may cause false negative PCR
Lungs from an immunocompetent mouse that exhibited generalized signs of illness in addition to chattering. What is the most likely etiology and mouse strain?

Sendai virus
DBA/2 are highly susceptible to lethal infection.
P&B, p 37
What is your presumptive diagnosis for 2-week old mice presenting with oily, matted hair, emaciation, and jaundice?
Reovirus-3
LAM, p 73
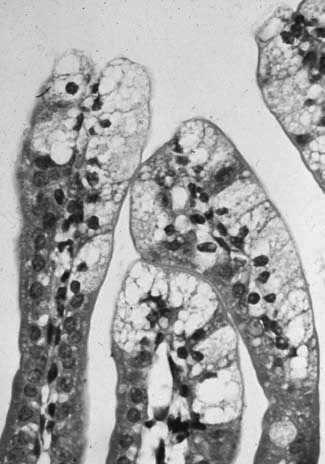
Why does EDIM cause more severe disease in mice less than 2 weeks old?

Rotavirus preferentially infects terminally differentiated enterocytes of the small and large intestine. The number of such cells decreases as the intestinal tract matures.
LAM, p 73-4

Phenotype of Rag-1 and Rag-2?
Hypoplastic lymphoid tissue. No Ig or T cell responses.