Lesão do ligamento cruzado anterior
Anatomia
Divisões:
Tamanho:
Tamanhos das origens e inserções:
Vascularização:
Inervação:
Bandas anteromedial e posterolateral AM-PL
Tamanho: 31-35mm
Footprint tibial > Femoral - Local de ruptura
Artéria genicular média
Nervo articular posterior (ramo do tibial)

Lesão do ligamento cruzado anterior
Biomecânica
Restringe quais movimentos:
Quais bandas agem na flexo-extensão
Restrição anterior da tibia a 90º
Retrição RI e varovalgo à 0º
Banda AM Tensa em flexão
Banda PL Tensa em extensão

Lesão do ligamento cruzado anterior
História da doença
Sensação de subluxação
Incapacidade
Dor
Derrame
Hemartrose pós traumática = 78% LCA
Lesão do ligamento cruzado anterior
Mecanismo
Torsional: RI do Fêmur + RE da tibia + Semiflexão + Valgo
- Contusão óssea do condilo e platô lateral
Hiperextensão:
-Contusão óssea anterior no fêmur e na tíbia
Lesão do ligamento cruzado anterior
Diagnóstico
Testes especiais
Pivot Shift (Mcintosh)
Inicia em Extensão, RI e força em Valgo
Realizar flexão gradativa
Ressalto aos 30º - Redução da tibia que estava luxada anteriormente por força do TIT.
Jerk Test - Pivot shift reverso
Começa em flexão e luxa na extensão

Lesão do ligamento cruzado anterior
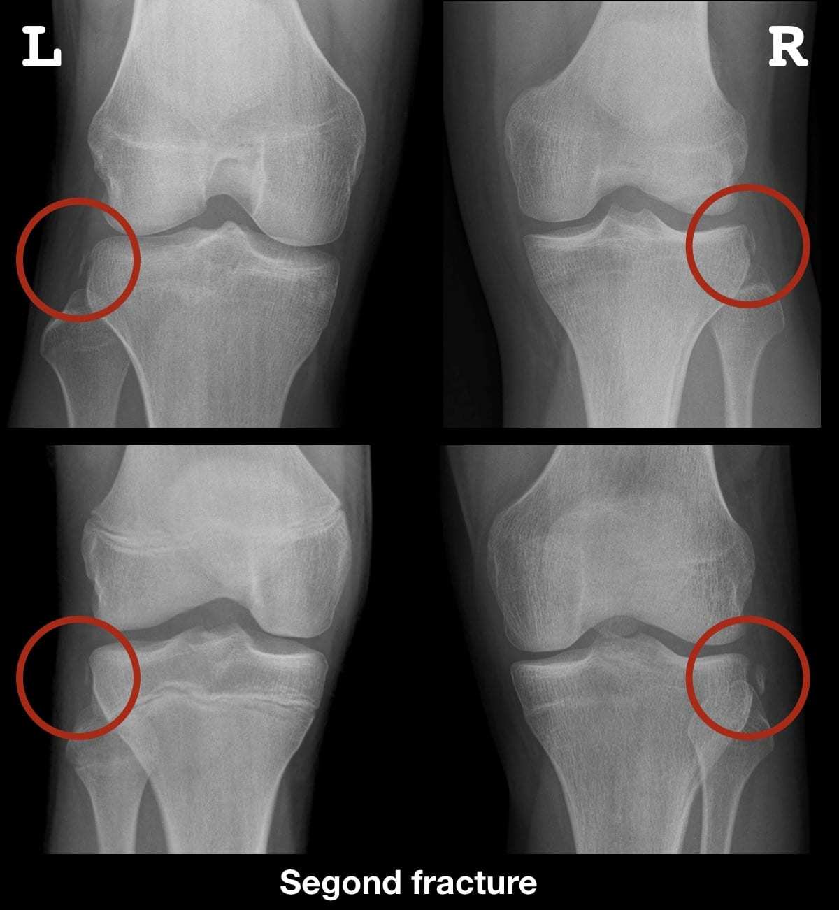
Imagem
RX:
Fratura de segond - Avulsão do planalto lateral = patognomônico para lesão do LCA
RNM: Padrão ouro 93%
↳Alterações de trajeto
↳Sinal do LCP em cajado
↳Subluxação tibiofemoral
↳Sinal da incisura vazia

Lesão do ligamento cruzado anterior
Lesões associadas:
Tríade:
Menisco 50-70%
↳Menisco l’A’teral no trauma ‘A’gudo
↳Menisco medial no trauma crônico
Lesões osteocondral - 20-30%
LCM ou LCL - 5-24%
Tríade infeliz de O’Donoghue
LCA, LCM e Menisco medial
Lesão do ligamento cruzado anterior
Fatores de risco
Mulher
↳Notch intercondilar mais estreito
↳Slope tibial mais acentuado
↳Força muscular menor
↳Ciclo ovulatório
Lesão do ligamento cruzado anterior
Tratamento
Conservador:
Baixa demanda
Assintomático
Cirúrgico:
Demanda elevada
Sintomas de falseio
Técnicas:
Reparo: Avulsão óssea
Reconstrução
Lesão do ligamento cruzado anterior
Tratamento
Reconstrução:
Opções de enxerto
Autoenxertos:
↳Ligamento patelar - Interface osso/osso - 2300N
↳Semitendineo e grácil - 4180N - Parestesia do ramo infrapatelar do safeno - Perda de força de flexão
↳Quadríceps
Sintético
Aloenxerto - Baixa integração
Lesão do ligamento cruzado anterior
Tratamento
Técnicas de implantação do neoligamento:
Pontos de referência
Falhas de técnica
10mm anterior ao LCP ou na borda posterior do corno anterior do Menisco Lateral
50-70º no plano coronal
Se implante tibial:
Muito anterior:
↳Tenso em flexão
↳Impingement anterior no intercôndilo
Muito posterior:
↳Tenso em extensão
↳Impingement no LCP

Lesão do ligamento cruzado anterior
Complicações
Perda de EXTENSÃO!
Dor anterior
Artrofibrose
Infecção
Re-ruptura