Lect 1 (part 2) Flashcards

(56 cards)

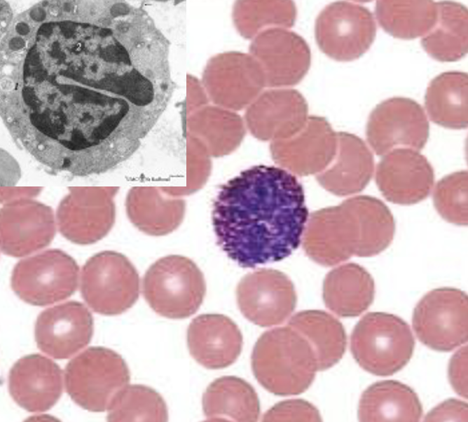
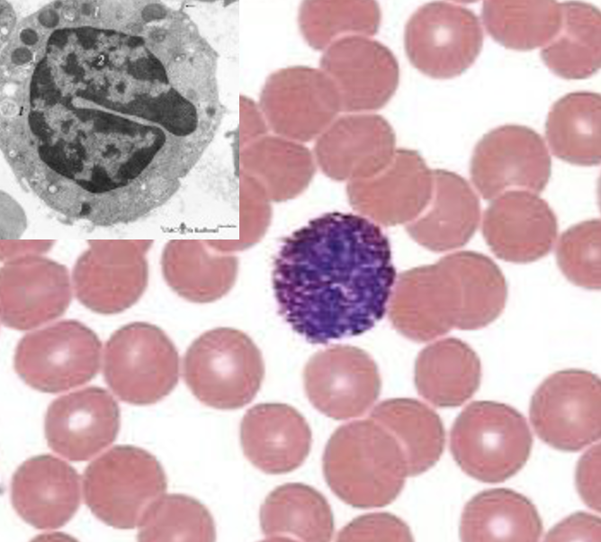
1
Q

What type of cell is this?

A

Basophil granulocytes

How well did you know this?
1
Not at all
2
3
4
5
Perfectly
2
Q

Size and life span of basophil granulocytes

A
  1. size (diameter) : 10-14 μm
  2. life span: 3-10 days
How well did you know this?
1
Not at all
2
3
4
5
Perfectly
3
Q

Basophil granulocytes have large granules stained with basic dyes contain____ (3)

A

heparin, histamine, slow reacting substance (SRS)

How well did you know this?
1
Not at all
2
3
4
5
Perfectly
4
Q

5 functions of basophil granulocytes

A
  1. inflammatory reactions (allergic symptoms)
  2. prevention of blood clotting too quickly (heparin, SRS)
  3. vasodilatation (histamine)
  4. release of vasoactive agents
  5. receptor for IgE
How well did you know this?
1
Not at all
2
3
4
5
Perfectly
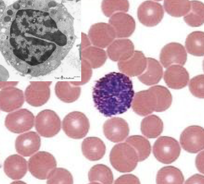
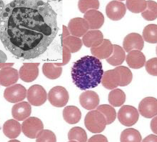
5
Q

What type of cell is this?

A

Basophil granulocytes

How well did you know this?
1
Not at all
2
3
4
5
Perfectly
6
Q

Name of these cells

A

Lymphocytes

How well did you know this?
1
Not at all
2
3
4
5
Perfectly
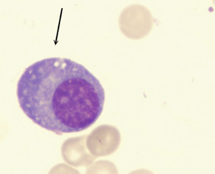
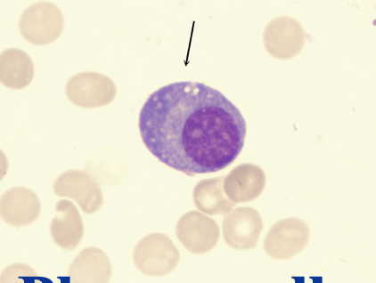
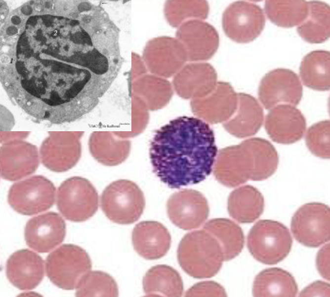
7
Q

Name of this cell

A

Large granular lymphocte

How well did you know this?
1
Not at all
2
3
4
5
Perfectly
8
Q

Identify

A

1/ T lymphocyte
2/ B lymphocyte
3/ Plasma cell

How well did you know this?
1
Not at all
2
3
4
5
Perfectly
9
Q

Function of T lymphocyte

A

cell mediated immunity

How well did you know this?
1
Not at all
2
3
4
5
Perfectly
10
Q

2 functions of B lymphocyte

A

humoral immune response, Ig production (differentiate into plasma cell)

How well did you know this?
1
Not at all
2
3
4
5
Perfectly
11
Q

Function of Natural killer (1-3%)

A

killing infected or tumor cells by causing them to lyse (perforin)

How well did you know this?
1
Not at all
2
3
4
5
Perfectly
12
Q

T LYMPHOCYTE
-> What are the Sites of Development, maturation and activation?

A

bone marrow, thymus, lymphatic organs (T dependent area)

How well did you know this?
1
Not at all
2
3
4
5
Perfectly
13
Q

B LYMPHOCYTE
-> What are the Sites of Development, maturation and activation?

A

bone marrow, lymphatic organs (B dependent area)

How well did you know this?
1
Not at all
2
3
4
5
Perfectly
14
Q

Activation of lymphocytes

A
How well did you know this?
1
Not at all
2
3
4
5
Perfectly
15
Q

Identify

A

B lymphocyte

How well did you know this?
1
Not at all
2
3
4
5
Perfectly
16
Q

Identify

A

Plasma cell

How well did you know this?
1
Not at all
2
3
4
5
Perfectly
17
Q

Plasma cell is a derivative of ___

A

B lymphocytes

How well did you know this?
1
Not at all
2
3
4
5
Perfectly
18
Q

Formation of blood cells (hemopoiesis)
-> 3 phases of Intrauterine – fetal hemopoiesis?

A
  1. First or prehepatic phase – blood islands in the wall of yolk sac
  2. Second or hepatosplenothymic phase – move to liver and lymphatic tissues
  3. Third or medullolymphatic phase – bone marrow and lymphatic tissues
How well did you know this?
1
Not at all
2
3
4
5
Perfectly
19
Q

Formation of blood cells (hemopoiesis)
-> Adult hemopoiesis
-> What happen during Myelopoiesis - bone marrow?

A
  1. Erythropoiesis
  2. Granulocytopoiesis
  3. Monocytopoiesis
  4. Thrombocytopoiesis
How well did you know this?
1
Not at all
2
3
4
5
Perfectly
20
Q

Formation of blood cells (hemopoiesis)
-> Adult hemopoiesis
-> Sites of Lymphopoiesis?

A

bone marrow, lymphatic tissues

How well did you know this?
1
Not at all
2
3
4
5
Perfectly
21
Q

9 locations of Location of red bone marrow

A
  1. Carticular cartilage
  2. spongy bone
  3. compact bone
    4. medullary/marrow canal
  4. yellow bone marrow
  5. periosteum
  6. proximal epiphysis of long bones (femur, humerus)
  7. diaphysis
  8. distal epiphysis
How well did you know this?
1
Not at all
2
3
4
5
Perfectly
22
Q

There is a conversion of ___ to ___ marrow

A

Red to yellow

How well did you know this?
1
Not at all
2
3
4
5
Perfectly
23
Q

Which flat bones that you can find red bone marrow?

A

hip bone, sternum, skull, ribs, vertebrae

24
Q

Identify 1 - 3

A
  1. Adipose cell
  2. Adventitial cell
  3. Arterial capillary
25
Identify 1 - 3
1. Hematopoietic compartments 2. Endothelial cell 3. Megakaryocytes
26
Identify
1. Erythroblastic islet 2. Penetration of megakaryocyte by white cell
27
Composition of red bone marrow
1. Stroma 2. Specialized blood vessels 3. Sponge like network of hemopoetic, reticular and other cells 4. Some specific cell types
28
What does stroma of red bone marrow cell include?
1. reticular connective tissue 2. Reticular (adventitial) cells and reticular fibers
29
Composition of red bone marrow -> Specialized blood vessels which are interposed between ___ and ___
arteries and veins
30
What are cell types included in red bone marrow?
developing blood cells, megakaryocytes, macrophages, mast cells, plasma cells, fat cells
31
What is Hematopoietic Stem Cell (HSC)?
pluripotential (true) stem cells
32
What are some functions of Hematopoietic Stem Cell (HSC)?
self-renewal, enormous proliferation, differentiation into multiple cell lineage
33
Hematopoietic Stem Cell (HSC) can differentiate into multiple cell lineage -> Name 2 types of cells that can be differentiated into
1. Myeloid stem cell 2. Lymphoid stem cell
34
What types of stem cells are myeloid and lymphoid stem cells?
Multipotent stem cells
35
What can myeloid stem cells differentiate into?
CFU - Gemm (CFU - Colony Forming Unit Cells)
36
What can lymphoid SC differentiate into?
B cell and T cell
37
What type of cells are CFUs, B and T cells?
Progenitor cells
38
The role of Colony Forming Unit Cells (CFU)?
proliferate and differentiate into precursor cells in the presence of appropriate growth factors
39
Steps of Erythropoiesis
Synthesis and accumulation of hemoglobin -> Basophilia → Eosinophilia -> Extrusion of the nucleus → Reticulocyte -> Mature erythrocyte
40
Erythropoiesis -> Identify
Reticulocyte
41
Myeloid SC -> What are some regulatory factors of Erythropoiesis?
erythropoetin (kidney, liver), Iron, Cobalt, C, B6, B12 vitamines
42
The role of Erythropoetin
43
Myeloid SC -> Steps of Megakaryopoesis - thrombopoesis
Megacaryoblast -> Promegakaryocyte -> Megakaryocyte -> Thrombocytes
44
What is Platelet?
Platelet: irregularly shaped fragments of megacaryocytes
45
What is the Regulatory factor of Megakaryopoesis - thrombopoesis ?
thrombopoetin (liver)
46
Steps of Granulopoiesis
47
What are granulator factors of granulopoesis?
(GM-CSF, G-CSF, interleukine 3, 5,6, 11) stromal cells - macrophages, endothel, adventitial cells, fibrocytes, adipocytes
48
Identify this type of cell
Myleoblast
49
Identify this type of cell
Promyelocyte
50
Identify this type of cell
Early neutrophilic myelocyte
51
Identify this type of cell
Early basophilic myelocyte
52
Steps of Monopoesis in YOLK SAC
53
Steps of Monopoesis in FETAL LIVER
54
Steps of Monopoesis in ADULT BONE MARROW
55
Steps of Monopoesis in ADULT PERIPHERAL BLOOD
56
Steps of Monopoesis in ADULT TISSUES