What is the first line treatment in Anaphylaxis?
IM Adrenaline
Which antibiotics would you prescribe in a case of atypical pneumonia?
Amoxicillin and a macrolide, such as clarithromycin.
Which organisms cause atypical pneumonia?
Mycoplasma pneumoniae
Chlamydia pneumoniae
Legionella pneumophila
Implicated in up to 40% of community-acquire pneumoniae.
How would you investigate a Microcytic Anaemia?
Haematinics
Coeliac Screen (TTG Antibody)
Remember the Red Flags
Top & Tail (OGD, colonoscopy)
Order depends on upper/lower symptoms.
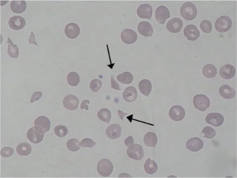
What does this blood film show?

Schistocytes (RBC fragments)
In this case, due to Haemolytic Uraemic Syndrome
Which conditions are included in the term ‘Microangiopathic Haemolytic Anaemia?
Disseminated Intravascular Coagulation
Haemolytic Uraemic Syndrome
Thrombotic Thrombocytopenic Purpura
What is Disseminated Intravascular Coagulation?
Disseminated coagulation leads to the formation of abnormal clots and fibrin deposits. These narrow blood vessels, causing RBCs to fragment.
How is DIC investigated?
Increased clot formation leads to low platelets and fibrinogen and increased PT/APTT
D-dimer and fibrin degradation products are high due to increased clot breakdown.
How is Haemolytic Uraemic Syndrome investigated>
Haemolysis (Decreased Hb, raised Bilirubin)
Uraemia
Decreased Platelets
How does Thrombotic Thrombocytopenic Purpura present?
Haemolytic Uraemic Syndrome +
Fever +
Neurological manifestations
How would you classify the causes of Haemolytic Anaemia?
Hereditary:
RBC Membrane (Hereditary Spherocytosis)
Enzyme Deficiency (G6PD Deficiency)
Haemoglobinopathy (Sickle Cell / Thalassaemias)
Acquired:
Autoimmune
Drugs
Infection
MAHA (Microcytic Angiopathic)
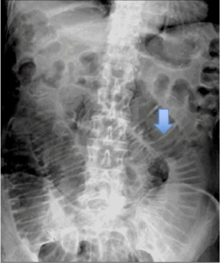
What does this AXR show?

Valvulae Conniventes
Small Bowel Dilatation (Obstruction)
How would you classify the clinical thinking about a patient presenting with hyponatraemia?
Hypovolamia:
Euvolaemia:
Hypervolaemia
Hyper/Hypo - Low urine Na
Eu-High urine Na
What are the causes of SIADH?
CNS Pathology
Lung Pathology
Drugs (SSRI, TCA, opiates, PPIs, carbamazepine)
Tumours
What is the name of this sign?

Onycholysis
What are the causes of onycholysis?
Trauma
Thyrotoxicosis
Fungal Infections
Psoriasis
What are the main complications of Diabetes?
Microvascular:
Macrovascular:
-MI/Stroke/PVD
Metabolic:
-DKA/HHS/Hypoglycaemia
What would you see on the ECG of someone experiencing a Posterior STEMI?
Prominent R wave in V1
What would you hear on auscultation of a patient with pericarditis?
Scratching Sound
What is the gold standard investigation for Ureteric Colic?
CT KUB
What are the causes of a raised ALP?
Obstructive Liver Disease
Bone Disease (Malignancy, fracture, Paget’s Disease)
What should a patient’s ALP be if they have Multiple Myeloma, and why?
Normal.
Osteoblasts make ALP
Plasma Cells suppress Osteoblasts.
What are the presenting signs of Multiple Myeloma?
Raised Calcium
Renal Impairment
Anaemia
Bone Pain
What is the most common cause of a lump in a young woman, that is
Small,
Smooth &
Mobile
?
Fibroadenoma