Lecture 34 Flashcards

(37 cards)

1
Q

What is Cytology?
* Examining _____ (usually from a _____ or _____ sample) under a microscope
o Normal or hyperplastic
o Inflammatory
o Neoplastic
o Infectious organisms!

A

What is Cytology?
* Examining cells (usually from a mass or fluid sample) under a microscope
o Normal or hyperplastic
o Inflammatory
o Neoplastic
o Infectious organisms!

How well did you know this?
1
Not at all
2
3
4
5
Perfectly
2
Q

Sample Types for Cytology
* ____-needle aspiration and ______ smear; tissue imprints
o E.g?
* Washes
o E.g.?
* Fluids
o E.g.?

A

Sample Types for Cytology
* Fine-needle aspiration and impression smear; tissue imprints
o FNA: Typically 22G needle and 5cc syringe
* Washes
o Prostatic, transtracheal, etc.
* Fluids
o Peritoneal, pericardial, pleural, synovial
o Cerebrospinal fluid, bronchoalveolar lavage
o Urine

How well did you know this?
1
Not at all
2
3
4
5
Perfectly
3
Q

What are the pros of Cytology?

A

PROS
* Minimally invasive
* Fast, simple, inexpensive
* Relatively simple
* Better cellular detail than
histopathology
* Infectious organisms

How well did you know this?
1
Not at all
2
3
4
5
Perfectly
4
Q

What are the cons of Cytology?

A

CONS
* Cannot evaluate tissue architecture
* Poorly exfoliating lesions
o Some sarcomas (more mesenchymal)
* Ruptured cells
* Can’t always make a
diagnosis
* Sometimes difficult to differentiate reactive mesenchymal cells from neoplastic cells

How well did you know this?
1
Not at all
2
3
4
5
Perfectly
5
Q

Components of Cytologic Evaluation
* **Best to send organ aspirates and bone marrows for pathologist evaluation - do not try to interpret
* Overall cellularity
- High vs. low
- Low cellularity samples make interpretation difficult to
impossible
* Cell components/types
- Uniform population: normal, hyperplastic or neoplastic
- Mixed: inflammatory, or neoplasia with inflammation
* Background components
o Blood, proteinaceous material, organisms

A

Components of Cytologic Evaluation
* **Best to send organ aspirates and bone marrows for pathologist evaluation - do not try to interpret
* Overall cellularity
- High vs. low
- Low cellularity samples make interpretation difficult to
impossible
* Cell components/types
- Uniform population: normal, hyperplastic or neoplastic
- Mixed: inflammatory, or neoplasia with inflammation
* Background components
o Blood, proteinaceous material, organisms

How well did you know this?
1
Not at all
2
3
4
5
Perfectly
6
Q

Cytology Basics
* Scan the slide at low magnification (10x)
* Find cellular areas where cells are well spread out and intact
o Can evaluate appearance of nucleus and cytoplasm of individual cells

A

Cytology Basics
* Scan the slide at low magnification (10x)
* Find cellular areas where cells are well spread out
and intact
o Can evaluate appearance of nucleus and cytoplasm of
individual cells

How well did you know this?
1
Not at all
2
3
4
5
Perfectly
7
Q

have to use 40x
Cell structure = immersion oil under 100x

Must tell person you are sending it to where the sample was obtained from.

What questions do you ask yourself if inflammatory? Non-inflammatory?

A

xx

How well did you know this?
1
Not at all
2
3
4
5
Perfectly
8
Q

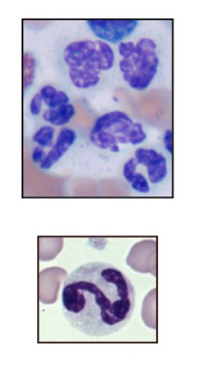
Inflammatory Cell Types?

A

o Neutrophils
o Eosinophils
o Lymphocytes
o Macrophages
o Plasma cells
o Mast cells

How well did you know this?
1
Not at all
2
3
4
5
Perfectly
9
Q

Classification of
Inflammatory Lesions IMPORTANT
* Suppurative inflammation =
* Mononuclear =
* Histiocytic/Granulomatous =
* Pyogranulomatous =
* Eosinophilic =
* Lymphoplasmacytic =
* Mixed =

A
  • Suppurative/neutrophilic - neutrophils
  • Mononuclear - lymphocytes, plasma cells or macrophages
  • Histiocytic/Granulomatous
  • Macrophages
  • Pyogranulomatous
  • Neutrophils + macrophages
  • Eosinophilic = eosinophils
  • Lymphoplasmacytic
  • Mixed = Any combination of cells
How well did you know this?
1
Not at all
2
3
4
5
Perfectly
10
Q

Suppurative Inflammation
* >70% of inflammatory cells are _______
* Evaluate ______ morphology
o Degenerate or non-degenerate?
o If degenerate, go on a bug hunt!

A

Suppurative Inflammation
* >70% of inflammatory cells are neutrophils
* Evaluate neutrophil morphology
o Degenerate or non-degenerate?
o If degenerate, go on a bug hunt!

How well did you know this?
1
Not at all
2
3
4
5
Perfectly
11
Q
A

Neutrophil

How well did you know this?
1
Not at all
2
3
4
5
Perfectly
12
Q

Causes of Suppurative
Inflammation: Infectious
* Bacterial infection
o Suspect this if _______ neutrophils are present!!!
o (Even if you see no _______)
o Termed ____ suppurative if ______ are seen
* Suppurative + eosinophilic component
o Suggests ____ or _____ component to inflammatory response

A

Causes of Suppurative
Inflammation: Infectious
* Bacterial infection
o Suspect this if degenerate neutrophils are present!!!
o (Even if you see no bacteria)
o Termed septic suppurative if bacteria are seen
* Suppurative + eosinophilic component
o Suggests parasitic or allergic component to inflammatory
response

How well did you know this?
1
Not at all
2
3
4
5
Perfectly
13
Q

Causes of Suppurative
Inflammation: Non-Infectious

A
  1. Severe irritant/chemical
    o Example: uroperitoneum, bile peritonitis
  2. Immune-mediated inflammation
  3. Trauma
  4. Ruptured follicular/epidermal cysts
How well did you know this?
1
Not at all
2
3
4
5
Perfectly
14
Q

Histiocytic/Granulomatous Inflammation
* >50% ______
* Causes: infectious
1. Protozoal infection (e.g. Leishmania, Toxoplasma spp.)
2. Atypical bacteria (Mycobacteria, Nocardia, Actinomyces spp.)
3. Fungal infection
* Suspect this especially if epithelioid
macrophages +/- multinucleated giant
cells are found!
* Histoplasma, Blastomyces, Cryptococcus,
Coccidioides spp.

A

Histiocytic/Granulomatous Inflammation
* >50% macrophages
* Causes: infectious
o Protozoal infection (e.g. Leishmania,
Toxoplasma spp.)
o Atypical bacteria (Mycobacteria, Nocardia,
Actinomyces spp.)
o Fungal infection
* Suspect this especially if epithelioid
macrophages +/- multinucleated giant
cells are found!
* Histoplasma, Blastomyces, Cryptococcus,
Coccidioides spp.

How well did you know this?
1
Not at all
2
3
4
5
Perfectly
15
Q

Histiocytic/Granulomatous Inflammation
* Causes: non-infectious

A
  1. Foreign body or foreign material
    * Plants (grass awns)
    * Vaccine adjuvant
  2. Acral lick dermatitis/lick granuloma
  3. Late stage of chronic/resolving inflammation
How well did you know this?
1
Not at all
2
3
4
5
Perfectly
16
Q

Pyogranulomatous Inflammation
* 50-70% __________
* 30-50% _________ cells = ?
–> Causes
1. Foreign body or fungal infection
* Suspect this especially if epithelioid macrophages +/- multinucleated giant cells are found!
2. Chronic/resolving suppurative
inflammation

A

Pyogranulomatous Inflammation
* 50-70% neutrophils
* 30-50% mononuclear cells
o Macrophages, multinucleated giant cells, lymphocytes, plasma cells, mast cells
* Causes
o Foreign body or fungal infection
* Suspect this especially if epithelioid macrophages +/- multinucleated giant cells are found!
o Chronic/resolving suppurative
inflammation

17
Q

Eosinophilic Inflammation
* > 12% eosinophils
* Causes: infectious
o Parasites
* Dracunculiasis, demodicosis, dirofilaria, dermatophytes
o Oomycosis and algal organisms
* Pythium, Prototheca (seen in sheep, goats, and dogs)
* Causes: non-infectious
o *May see increased numbers of mast cells and/or basophils, too
o Eosinophilic plaque/granuloma induces eosinophilic inflammation. Commonly seen in cats, and sometimes dogs IMPORTANT
o Flea bite allergy/food allergy/atopy (eosinophilic inflammation on site).
o Arthropod bite reaction

A

Eosinophilic Inflammation
* > 12% eosinophils
* Causes: infectious
o Parasites
* Dracunculiasis, demodicosis, dirofilaria, dermatophytes
o Oomycosis and algal organisms
* Pythium, Prototheca (seen in sheep, goats, and dogs)
* Causes: non-infectious
o *May see increased numbers of mast cells and/or basophils, too
o Eosinophilic plaque/granuloma
o Flea bite allergy/food allergy/atopy
o Arthropod bite reaction

18
Q

Neoplasia
* 3 general categories: ?
o **Remember to scan at low magnification (____x) first to
assess cell distribution
o Need to evaluate cytologic criteria of malignancy to determine benign vs. malignant - for epithelial or mesenchymal tumors ONLY
* Not reliable for round cell tumors

A

Neoplasia
* 3 general categories:
o Epithelial cells
o Round cells
o Mesenchymal cells
o **Remember to scan at low magnification (10x) first to
assess cell distribution
o Need to evaluate cytologic criteria of malignancy to
determine benign vs. malignant - for epithelial or
mesenchymal tumors ONLY
* Not reliable for round cell tumors

19
Q

Neoplasia Cytologic Criteria for Malignancy IMPORTANT
* Anisocytosis
o Variation in cell _____ between cells of the same _____.
* Anisokaryosis
o Variation in nuclear ____ between cells of the same _____
* Immature chromatin
* Multinucleation
o A single cell has more than ____ nucleus
* Abnormal mitotic figures
* Nucleolar changes
o Nucleoli are ______ and ____, _______, and/or ______ shaped

A
  • Anisocytosis
    o Variation in cell size between cells of the same origin
  • Anisokaryosis
    o Variation in nuclear size between cells of the same origin
  • Immature chromatin
  • Multinucleation
    o A single cell has more than one nucleus
  • Abnormal mitotic figures
  • Nucleolar changes
    o Nucleoli are enlarged and prominent, multiple, and/or variably shaped
20
Q

Neoplasia: Epithelial
* Characteristics
o Usually in tightly cohesive clusters
o Polygonal to round shape
o Often distinct intercellular junctions

21
Q

Neoplasia: Round
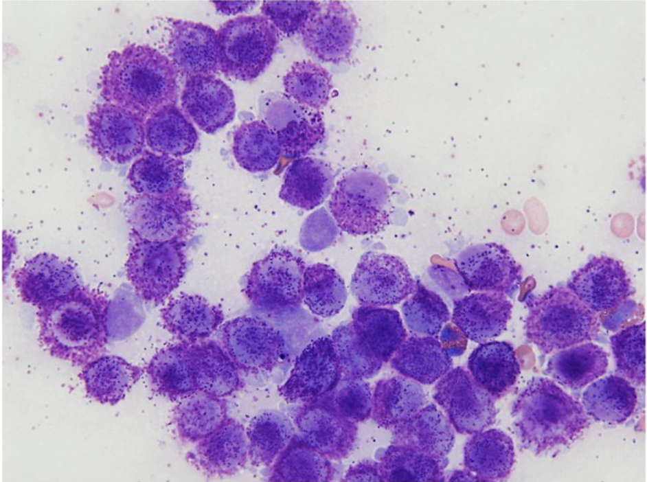
* Round cell tumor categories ?IMPORTANT

  • Characteristics
    o _________ well - samples usually highly cellular
    o _______ shape/borders
    o Can be in ______ or _________ distributed
    o Criteria of ________ not as reliable
A

Neoplasia: Round
* Round cell tumor categories
o Plasma cell
o Histiocytoma
o Lymphoma
o Transmissible venereal tumor (TVT)
o Mast cell tumor
o +/- melanoma
* Characteristics
o Exfoliate well - samples usually highly cellular
o Round shape/borders
o Can be in clusters or individually distributed
o Criteria of malignancy not as reliable

22
Q
A

Neoplasia: round

23
Q

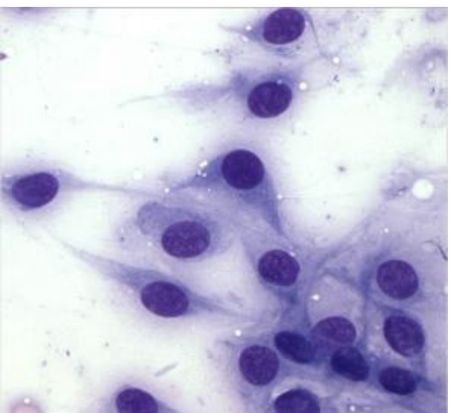
Neoplasia: Mesenchymal
* Characteristics
o Exfoliate _______ - better suited for histopathology
o Usually distributed both in _______ and _________
o Wispy, ______ to ______, abundant cytoplasm

A

Neoplasia: Mesenchymal
* Characteristics
o Exfoliate poorly - better suited for histopathology
o Usually distributed both in clusters and individually
o Wispy, attenuated to stellate, abundant cytoplasm

24
Q
A

Neoplasia: Mesenchymal

25
Fluid Analysis Sample Types?
* Peritoneal * Pleural * CSF * TTW/BAL * Synovial * Pericardial * Ocular
26
The four basic parts of fluid analysis Four basic parts
1. Color, clarity 2. Cell count 3. Total protein 4. Cytologic evaluation o Differential cell count o Cell morphology o Organisms, etc. 5. Additional tests may be indicated
27
Collecting & Submitting Fluids * Should be collected into an _____ (_____ top) tube to prevent clotting IMPORTANT * If cultured, separate aliquot should be collected into red top tube o EDTA is bacteriostatic and can interfere with culture results (false neg.) IMPORTANT * If fluid will be processed more than 2 hours after collection, make direct smears o Send smears, purple top, and red top to the laboratory. Smears help with morphology. Do not send samples for cytology in same containers as histopath b/c formalin fumes damage smear.
Collecting & Submitting Fluids * Should be collected into an EDTA (purple top) tube to prevent clotting IMPORTANT * If cultured, separate aliquot should be collected into red top tube o EDTA is bacteriostatic and can interfere with culture results (false neg.) IMPORTANT * If fluid will be processed more than 2 hours after collection, make direct smears o Send smears, purple top, and red top to the laboratory
28
Gross Examination of Fluids * Color (can sometimes give you a clue as to etiology) 1. Normal: clear to pale yellow 2. Iatrogenic or true hemorrhage: red 3. Bile: yellow to dark green 4. Urine: bright yellow 5. Turbidity: * Increased cellularity * Bacteria * Fibrin * Lipid * Ingesta from GI rupture or accidental enterocentesis
Gross Examination of Fluids * Color (can sometimes give you a clue as to etiology) 1. Normal: clear to pale yellow 2. Iatrogenic or true hemorrhage: red 3. Bile: yellow to dark green 4. Urine: bright yellow 5. Turbidity: * Increased cellularity * Bacteria * Fibrin * Lipid * Ingesta from GI rupture or accidental enterocentesis
29
Protein and Cell Counts on Fluids: Methods * Protein o Refractometry (peritoneal, pericardial, pleural, synovial fluids) o Biochemical methods (CSF) * Cell counts o Total nucleated cell count (TNCC) typically obtained via automated hematology analyzer o WBC differential count obtained by counting leukocytes on a stained cytology slide
30
Classification of Effusions IMPORTANT * Based on total ______ cell count and _____ concentration * Pure Transudate o < 2.5 g/dL protein and < 1,500 TNCC/uL * Exudate o > 2.5 g/dL protein and > 5,000 TNCC/uL * Modified Transudate o Those not meeting the criteria above—somewhere in _______
Classification of Effusions IMPORTANT * Based on total nucleated cell count and protein concentration * Pure Transudate o < 2.5 g/dL protein and < 1,500 TNCC/uL * Exudate o > 2.5 g/dL protein and > 5,000 TNCC/uL * Modified Transudate o Those not meeting the criteria above—somewhere in between
31
Hemorrhagic Effusions Must distinguish from peripheral blood contamination! * True hemorrhage o Erythrophagocytosis * Macs that contain RBCs o Hemosiderin-laden macrophages * Breakdown RBC product o Supernatant pink, yellow, or orange unless acute hemorrhage o PCV and protein close to peripheral blood values * Blood contamination o Platelets o Absence of erythrophagocytosis o Protein and cell counts less than peripheral blood (true hemorrhage vs. blood contaminations) o Clear supernatant
Hemorrhagic Effusions Must distinguish from peripheral blood contamination! * True hemorrhage o Erythrophagocytosis * Macs that contain RBCs o Hemosiderin-laden macrophages * Breakdown RBC product o Supernatant pink, yellow, or orange unless acute hemorrhage o PCV and protein close to peripheral blood values * Blood contamination o Platelets o Absence of erythrophagocytosis o Protein and cell counts less than peripheral blood o Clear supernatant
32
True Hemorrhage
33
Hemorrhagic Effusions * Causes o Traumatic * Blunt or penetrating trauma: hit by car, gunshot wound o Non-traumatic * Malignant neoplasia (e.g. hemangiosarcoma) * Hematoma * Organ torsion (splenic/liver/other) * Rodenticide toxicosis/other coagulopathies
34
Chylous Effusion * Mainly small lymphocytes when acute o Increasing numbers of neutrophils, macrophages over time * Often modified transudate o May be an exudate * Origin: Leakage of thoracic duct/other lymphatics IMPORTANT * Chylomicrons present, overall white- pink, opaque, does not clear with centrifugation * Triglyceride level 2-3x > than in serum
Chylous Effusion * Mainly small lymphocytes when acute o Increasing numbers of neutrophils, macrophages over time * Often modified transudate o May be an exudate * Origin: Leakage of thoracic duct/other lymphatics IMPORTANT * Chylomicrons present, overall white- pink, opaque, does not clear with centrifugation * Triglyceride level 2-3x > than in serum
35
Chylous Effusion: Causes * Pleural cavity: o Cardiovascular disease o Neoplasia (when patient has lymphoma, thymoma in thoracic cavity) IMPORTANT - seen in cats. o Heartworm disease o Diaphragmatic hernia o Lung lobe torsion o Fungal granulomas o Idiopathic * Peritoneal cavity: o Cardiovascular disease o FIP is one of the most important causes o Neoplasia o Steatitis o Biliary cirrhosis o Lymphatic rupture/leakage
Chylous Effusion: Causes * Pleural cavity: o Cardiovascular disease o Neoplasia (when patient has lymphoma, thymoma in thoracic cavity) IMPORTANT - seen in cats. o Heartworm disease o Diaphragmatic hernia o Lung lobe torsion o Fungal granulomas o Idiopathic * Peritoneal cavity: o Cardiovascular disease o FIP is one of the most important causes o Neoplasia o Steatitis o Biliary cirrhosis o Lymphatic rupture/leakage
36
Biochemical Tests on Fluids * Used to confirm or differentiate between causes of an effusion * Fluid analyte level generally compared to serum or plasma level
37
Biochemical Tests on Fluids * Septic effusions o Serum and fluid glucose concentration difference of > 20 mg/dL helps support septic vs. non-septic effusion * Fluid glucose concentration < serum glucose (bacteria consume glucose) o Lactate: septic effusions often have lactate concentrations > blood concentrations * Chylous effusions o Triglycerides in fluid often > 3x serum triglycerides * Bilious effusions o Fluid bilirubin often several times higher than serum bilirubin * Uroperitoneum o Fluid creatinine and potassium concentrations often > 2x serum levels
Biochemical Tests on Fluids * Septic effusions o Serum and fluid glucose concentration difference of > 20 mg/dL helps support septic vs. non-septic effusion * Fluid glucose concentration < serum glucose (bacteria consume glucose) o Lactate: septic effusions often have lactate concentrations > blood concentrations * Chylous effusions o Triglycerides in fluid often > 3x serum triglycerides * Bilious effusions o Fluid bilirubin often several times higher than serum bilirubin * Uroperitoneum o Fluid creatinine and potassium concentrations often > 2x serum levels