What are the 2 ‘spaces’ between the meninges?
Subarachnoid space lies between arachnoid and pia mater, contains CSF, (veins) and arteries, prone to infection (menigitis).
What are the two ‘types’ of meninges?
There are two types of meninges:
What is CBF?
The cerebrospinal fluid (CSF) is the fluid located in ventricles and subarachnoid space around brain and spinal cord.
Where is the CSF produced?
Most of the CSF is formed by choroid plexus, mainly in the lateral ventricles.
A small amount of CSF is produced directly from the interstitial fluid of the brain by bulk flow along perivascular spaces and along axon tracts.
This involves two processes in series
Describe the Choroid Plexus Structure
Fenestrated capillary network surrounded by a single r_ow of epithelial cells_ (part of the blood brain barrier)
Choroid plexus epithelial cells
Total CSF volume is usually _______\_
The CSF volume in ventricles is __________\_
Total CSF volume is usually ~150ml (can vary from 140 to 270ml in adults). Total CSF volume gradually increases with age.
The CSF volume in ventricles is 12-25ml.
Describe how CSF are produced
Most of the CSF is formed by choroid plexus, mainly in the lateral ventricles.
This involves two processes in series
(a) Ultrafiltration across choroidal capillary wall (fenestrated), which depends on hydrostatic pressure in the capillaries;
* Fluid is pushed out into the interstitial space from the capillaries
(b) Active secretion by choroidal epithelium (endothelial and epithelial cells of choroid plexus have specific transport systems for a variety of compounds including ions, vitamins, nucleosides, purines, glucose and amino acids).
* The fluid needs to be actively secereted to become the CSF(found outside of the choroidal epithelium) because of the tight junctions
The flow of CSF from ventricles is fascilitated by …….
The flow of CSF from ventricles is facilitated by:
Describe the direction of flow of the CSF
CSF flow follows the following route:
Describe where/how the CSF are absorbed
CSF returns to the vascular system by entering the dural venous sinuses via arachnoid granulations.[2] These are outpouchings of the arachnoid mater into the venous sinuses around the brain, with valves to ensure one-way drainage.
The major route of CSF absorption is via the small arachnoid villi and the larger arachnoid granulations.
The arachnoid villi are herniations of arachnoid membrane through dura mater into lumen of superior sagittal sinus and other cerebral veins.
CSF absorption is not regulated by any transport process.
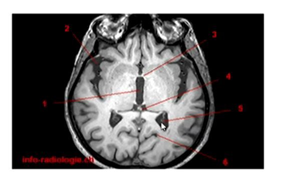
Label 1 and 5
1) Third ventricle
5) Posterior horn of lateral ventricles
What is the turnover rate of CsF
3-4x per day
(600ml/day 0.35ml/min)
Most of the CSF is in the….
Subarachnoid space
What are Arachnoid villi?

CSF absorption is proportional to ___________\_
CSF absorption is proportional to CSF pressure (65-250 mmH2O).
Therefore, huge increase in CSF production is required to raise intracranial pressure to a level at which production greatly exceeds CSF absorption.
How can a sample of CSF be obtained?
A sample of CSF can be obtained from subarachnoid space in lumbar theca sac by lumbar puncture.
CSF sample is most commonly examined for presence of cells (leukocytes, erythrocytes, tumour cells), concentrations of protein and glucose are measured. If infection is suspected (e.g. meningitis), CSF can be cultured. A variety of other tests can be done for special indications.
Which lumbar space do you obtain the CSF from?
L3/4 intervertebral space
What is the normal CSF composition (KNOW THE NUMBERS)
Normal cerebrospinal fluid appears clear and colourless:
How much glucose should there be in CSF?
Glucose >2.5mmol/l (depends on blood glucose and rate of brain glucose metabolism
How much WBC should be in the CSF?
White blood cells <5x106/L (no polymorphs)
How much protein is there in the CSF?
Protein <0.45g/l
How does the CSF change in Meningitis?
Normal cerebrospinal fluid appears clear and colourless:
How does the CSF change in Subarachnoid Haemorrahge?
Normal CSF composition (know numbers!)
Normal cerebrospinal fluid appears clear and colourless:
CSF has…
↑ white blood cells (mostly polymorphs)
↑ protein
± ↓ glucose
What do they have?
Meningitis