Lecture 4 Flashcards

(23 cards)

1
Q

What part of the brain contains more neuron than the entire rest of the brain

A

Cerebellum

How well did you know this?
1
Not at all
2
3
4
5
Perfectly
2
Q

The cerebellum has 3 functional parts

A

vestibulocerebellum
Spinocerebellum
Cerebrocerebellum

How well did you know this?
1
Not at all
2
3
4
5
Perfectly
3
Q

vestibulocerebellum:

A

balance and eyemovement

How well did you know this?
1
Not at all
2
3
4
5
Perfectly
4
Q

Spinocerebellum:

A

enhances muscle tone, coordinates skilled voluntary movements, accurate timing of multiple joints, input from motorcortex, feedback from peripheral receptors, fine tuning execution and termination of a movement to assure smooth and precise coordination, rapidly changing/phasic movements (piano)

How well did you know this?
1
Not at all
2
3
4
5
Perfectly
5
Q

Cerebrocerebellum:

A

planning and initiating voluntary activity, providing input to cortex

How well did you know this?
1
Not at all
2
3
4
5
Perfectly
6
Q
A
How well did you know this?
1
Not at all
2
3
4
5
Perfectly
7
Q
A
How well did you know this?
1
Not at all
2
3
4
5
Perfectly
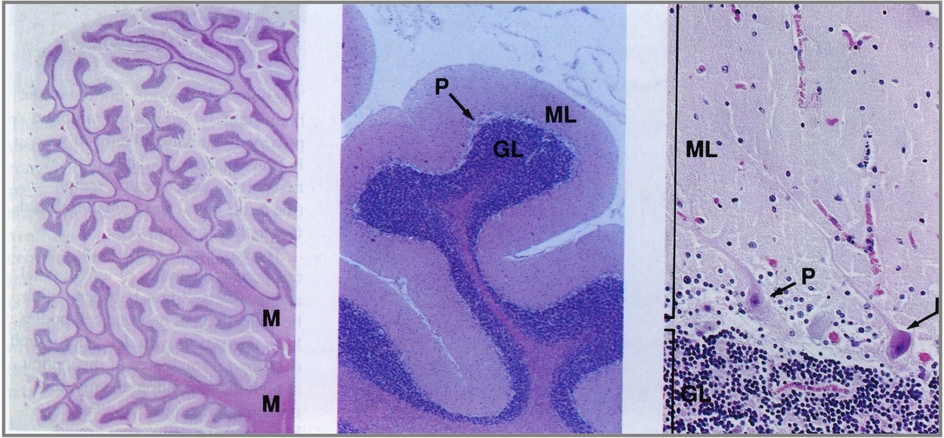
8
Q

Cerebellum cortex has 3 layers:

A

outer molecular layer, Purkinye layer, inner granular layer

How well did you know this?
1
Not at all
2
3
4
5
Perfectly
9
Q

Cerebellar disease:

A

poor ballance, nystagmus, reduced muscle tone, inability to rapidly alternate movements, inability to stop and start movement quickly (intention tremor)

How well did you know this?
1
Not at all
2
3
4
5
Perfectly
10
Q

Critical relay station between spinal cord and rest of brain

A

Brain stem, medulla, pons, midbrain

How well did you know this?
1
Not at all
2
3
4
5
Perfectly
11
Q

Brain stem, medulla, pons, midbrain consists of

A

12 pairs of cranial nerves

How well did you know this?
1
Not at all
2
3
4
5
Perfectly
12
Q

Neuronal clusters of brainstem, medulla, pons, MB

A

respiratory control center, heart+blood vessel function

How well did you know this?
1
Not at all
2
3
4
5
Perfectly
13
Q

brainstem, medulla, pons, MB also responsible for

A
  • Regulating muscle reflexes for posture
  • Reticular formation: integrates sensory input, ascending as reticular activating system (RAS) for cortical alertness
How well did you know this?
1
Not at all
2
3
4
5
Perfectly
14
Q
A
How well did you know this?
1
Not at all
2
3
4
5
Perfectly
15
Q

MIdbrain functions

A

Eye movement

How well did you know this?
1
Not at all
2
3
4
5
Perfectly
16
Q

Pons functions

A

Relay station between cerebrum and cerebellum; coordination of breathing

17
Q

Medulla oblongata

A

Control of involuntary functions

18
Q

Reticular formation

A

Arousal, sleep, muscle tone, pain modulation.

19
Q

Brain stem origin of cranial nerves

22
Q

Reticular formation damage:

A

coma, with respiratory center intact

23
Q

Reticular formation is the _______ center

A

Vomiting centre (eg increased intracranial pressure)