Define dysplasia
Disordered/presence of cells of an abnormal type within a tissue which may signify a stage preceding the development of cancer
Define metaplasia
When one cell type is replaced by a different cell type
Define anaplasia
Implying dedifferentiation, cells lacking normal structure and function
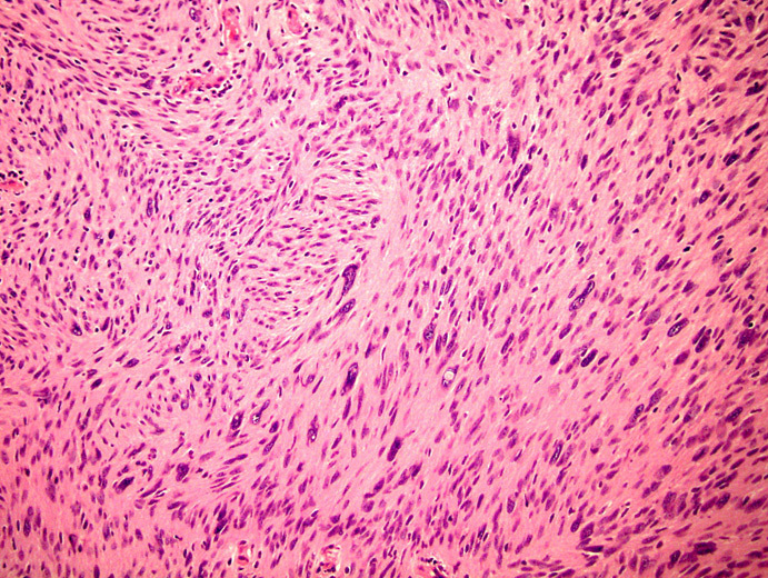
Explain the pictured condition

Traumatic neuroma –> non-neoplastic proliferation associated with previous injury of a peripheral nerve. Try to reconnect/regenerate nerve axons that have been injured, so causes the recruitment of supportive cells to elongate the axons (astrocytes etc.) which form a disorganised lump.
What are the 4 tyes of vascular malformations found in the brain due to disordered blood vessel formation?
Why are arteriovenous malformations so serious?
They do not have a capillary bed so you do not get the step down in pressure between arteries and vein which can cause tearing and sudden haemorrhage.
Name some features of anaplastic cells.
May be giant
Nuclei may be hyperchromatic/variable in size/shape
Chromatin may be coarse and clumped
Mitoses may be numerous and atypical
Nucleoli may be very larger
Cells may lose normal polarity (abnormal positioning)
What is the most reliable feature that distinuguishes malignant from benign tumours?
Local invasiveness: Benign neoplasms remain localised at their site of origin.
Cancers grow by progressive infiltration, invasion, destruction and penetration of the surrounding tissue.
What is the most common primary site you would expect to see in a secondary brain metastases? And where else?
From the respiratory tract (50%), breast (15%), skin/melanoma (11%), unknown primary (11%)
What is tumour grading?
important clinical measure of the degree of abnormality of a neoplasm.
A high grade tumour is synonymous with a poor patient prognosis.
What type of histology would you expect in a schwannoma?
Regions of high density staining material and low density staining material.

Name 3 types of peripheral nerve sheath tumours.
Name some CNS tumours and their origin cell types.

What is unique about the grading of CNS tumours compared to other tumour types.
CNS tumours use a malignancy scale rather than a grading scale
Grade I – Low proliferative potential and possibility of cure
Grade II – Infiltrative in nature, often reoccur despite low proliferative potential
Grade III – Evidence of malignancy including nuclear atypia and frequent mitosis
Grade IV – Malignant, mitotically active, prone to necrosis, propensity for rapid disease evolution
Name a proliferation marker that could be used in the diagnosis of cancer.
Ki67 ot MIB-1 (cell-cycle proliferation markers)
What are paraneoplastic effects when related to the nervous system?
Disorders of the nervous system caused indirectly by cancers, not by the mass action, direct invasion or metastasis of the cancer. Examples include immune responses that target the cancer may also affect cells of the nervous system and myasthenia gravis assoaciated with thymus gland cancer.