What are the 3 leading causes of pleural effusion in the US?
What is the most common finding auscultated over a pleural effusion; and what is auscultated toward the top of an effusion?
Which imaging study is usually the first study used to identify and quantify the amount of fluid seen with a pleural effusion?
CXR
How much pleural fluid is needed to blunt the costophrenic angle on plain CXR?
~250 mL
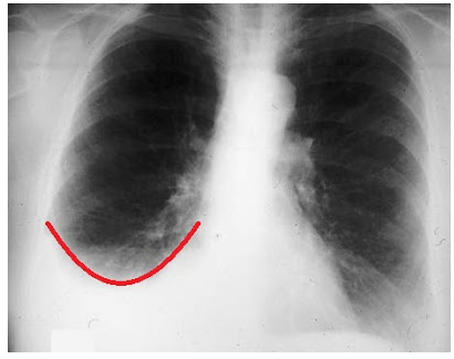
Which sign is created as greater amounts of fluid with a pleural effusion opacify the lower thorax?
“Meniscus sign”

After the presence of a pleural effusion is documented what study is used to evaluate whether an effusion is free-flowing or loculated (non-free flowing) and whether a sufficient quantity is present to perform thoracentesis?
Decubitus films
How much distance measured from the pleural fluid line to the chest wall on a decubitus radiograph is indicative of adequate pleural fluid to perform thoracentesis?
1-cm distance
Which imaging modality is highly sensitive for pulmonary embolism and may be indicated if the pretest probability of pulmonary embolism is moderate to high?
Spiral chest CT
Which imaging modality can be used to detect loculations, guide thoracentesis of a pleural effusion, and detect pleural abnormalities not apparent on CXR?
Ultrasound
Bilateral transudative pleural effusions are commonly associated with what underlying diseases?
Heart or liver failure
Bilatral exudative pleural effusions suggest what underlying disease(s)?
Malignancy, but may aso occur in pt’s w/ pleuritis due to SLE and other collagen vascular disorders
Caution is advised when performing thoacentesis in which pt’s?
Those w/ severe coagulopathy, thrombocytopenia, hemodynamic compromise, or on mechanical ventilation
What is the major complication of thoracentesis?
Pneumothorax
Gross pus in the pleural space is diagnostic of what?
Empyema
If TB is suspected on clinical presentation w/ pleural effusion which 3 diagnostic studies can be used as adjuncts to diagnosis?
An increased lymphocytic effusion (>50%) is most often due to what 2 etiologies?
Transudates are associated with a pleural fluid pH in what range (normal = 7.6 to 7.66)?
7.45 to 7.55
Pleural fluid amylase should be measured only when what 3 causes are being considered?
What are 5 underlying causes of a low pleural glucose?
Increased eosinophils (>10%) within the pleural space most often due to what?
Air in the pleural space
2 major causes of transudative pleural effusion and what are 3 other less common causes?

Which ratio of pleural protein/serum protein suggests the presence of an exudative vs. transudative pleural effusion?

Which ratio of pleural fluid LDH to serum LDH is suggestive of exudative vs. transudative pleural effusion?

Which findings of pleural fluid LDH compared to the upper limit of normal for serum is suggestive of exudative vs. transudative effusion?
