____ is the central detection and monitoring of visual function in glc
Perimetry
Physiological blind spot is about __ degrees temporal from fixation
15
What is the hill of vision?
___ is the clincal standard for measuring glaucomatous VF defects
Standard Automated Perimetry (SAP)
What is suprathreshold technique
What is the best technique for glaucoma evaluation? What’s the con of using this test?
Full threshold.. IT TAKES SO LONG to do
What are the 2 types of full threshold technique? What is the difference between each test?
SITA standard is designed for
SITA FAST is good in subjects who..
have difficulty completeting a long VF test
List 5 Patient dependent factors.
What are the other factors? (5)
Other factors
Field loss (SAP) is an indicated for what?
advanced disease
If early in disease what test would you order & how often would you repeat testing?
If late in disease what test would you order & how often would you repeating testing?
What are the common glaucomatous VF defects?
T/F a normal VF does not exclude glaucoma
TRUE, but it does exclude advanced disease
Approximately __ of RGC lost before 5-10DB of VF reduction
40%
fibers from the ___ retina usually most susceptible to damage
temporal
Damaged NFL typically give isolated damage in the ___ areas (__ - __ degrees). Eventually forming ____.
paracentral; 10-20
Arcuate scotomas
Early non-specific changes produces what type of visual field loss?
generalized constriction
Early significant changes produces what type of visual field loss

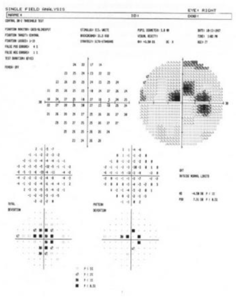
What does the image represent? Describe each.

What type of VF loss does this represent?

Paracentral scotoma
What type of VF loss does this represent?

Arcuate scotoma (Bjerrum)