what are some causes of cataracts?
BMI, diabetes, hypertension, sunlight/irradiation, smoking (3x increase in NSC), age/education and myopia
what are the 6 congenital or infantile cataracts?
anterior polar, coralliform, lamellar, cerulean, sutural and mittendorf’s dot
what does it mean when a congenital cataract is unilateral vs. bilateral?
unilateral = trauma or intrauterine infection (syphilis, rubella, measles) bilateral = inherited and associated with other diseases (60%) (hypoglycemia, trisomy, infectious disease and prematurity)
what is an anterior polar cataract?
congenital - caused by imperfect seperation, epithelial damage or incomplete vascular re-absorption as lens develops
what is a coralliform cataract?
congenital - autosomal dominant: round/oblong opacities that appear coral-like and have a variable affect on vision
what is a lamellar cataract?
congenital - common, bilateral and symmetrical: round, gray opacities that surround the nucleus (inherited or metabolic/inflammatory cause)
what is a cerulean cataract?
congenital - bilateral, non-progressive, small bluish dots scattered through lens (no affect on vision)
what is a sutural cataract?
congenital - dominantly inherited bluish dots or a dense, chalky band around the Y-sutures (if posterior it can affect vision)
what is Mittendorf’s dot?
embryological remnant of hyaloid artery on posterior surface of lens (inferior nasal)
what are the 3 types of age-related cataracts?
nuclear sclerotic, cortical, and posterior subcapsular
what are nuclear sclerotic cataracts caused by?
an alteration in lens metabolism which increases the concentration of insoluble proteins (amino acid residue = color change)
what are some symptoms of a nuclear sclerotic cataract?
as nucleus becomes more dense - changes refractive index and patient can have a myopic shift, can also have glare (halos/glare at night)
what causes a cortical cataract?
an imbalance of electrolytes that leads to an over-hydration of the lens = liquification of lens fibers
what are some signs and symptoms of cortical cataracts?
vacuoles, clefts, wedges (spoke pattern in periphery) or lamellar separations, swelling/edema, decreased night vision
what causes posterior subcapsular cataracts?
a loss of lens fiber nuclei and replacement by aberrantly migrating epithelial cells (cells cluster and breakdown adjacent cells) - seen in uveitis, RP and trauma
what are the symptoms of posterior subcapsular cataracts?
more day symptoms (more glare)
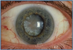
what are the 2 types of advanced cataracts?
mature/intumescent and hypermature/morgagnian
what are mature/intumescent cataracts?
dense and white (20/200), complete opacification and lens starts to swell

what are hypermature/morgagnian cataracts?
complete liquification of cortex, lens my sink/float, and need immediate surgery

what are the causes of anterior/posterior subcapsular secondary cataracts?
trauma, electric shock, glass blower, uveitis, RP, RD, degenerative myopia, diabetes, galactosemia, wilson’s disease, atopic dermatitis, steroids, miotics, chloroquine and amiodarone
what are the causes for nuclear secondary cataracts?
rubella, degenerative myopia, anterior segment ischemia
what are the causes for cortical secondary cataracts?
UV exposure, ciliary body tumors, Fabry’s, and dystrophia myotonica
what are 3 lens-induced ocular diseases that are indications for cataract surgery?
phacolytic glaucoma, lens-particle glaucoma, and phacoanaphylaxis
what are 3 indications for cataract surgery?
improvement of daily life, lens-induced ocular diseases, and prevention of sight threatening conditions (diabetic patients)