Lesion Identification Flashcards

(47 cards)

1
Q
A

Angular cheilitis

How well did you know this?
1
Not at all
2
3
4
5
Perfectly
2
Q
A

Black hairy tongue

How well did you know this?
1
Not at all
2
3
4
5
Perfectly
3
Q
A

White hairy tongue

How well did you know this?
1
Not at all
2
3
4
5
Perfectly
4
Q
A

Ectopic geographic tongue

How well did you know this?
1
Not at all
2
3
4
5
Perfectly
5
Q
A

Leukodema

How well did you know this?
1
Not at all
2
3
4
5
Perfectly
6
Q
A

Linea alba

How well did you know this?
1
Not at all
2
3
4
5
Perfectly
7
Q

What is the picture depicting?

A

Lingual varicosities

How well did you know this?
1
Not at all
2
3
4
5
Perfectly
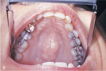
8
Q
A

Torus palatinus

How well did you know this?
1
Not at all
2
3
4
5
Perfectly
9
Q
A

Necrotizing ulcerative gingivitis

How well did you know this?
1
Not at all
2
3
4
5
Perfectly
10
Q
A

Bulla

How well did you know this?
1
Not at all
2
3
4
5
Perfectly
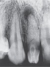
11
Q
A

Calcified pulp

How well did you know this?
1
Not at all
2
3
4
5
Perfectly
12
Q
A

Dentinogenesis imperfecta

How well did you know this?
1
Not at all
2
3
4
5
Perfectly
13
Q
A

Erythema migrans

How well did you know this?
1
Not at all
2
3
4
5
Perfectly
14
Q
A

Fissured tongue

How well did you know this?
1
Not at all
2
3
4
5
Perfectly
15
Q
A

Fordyce granules

How well did you know this?
1
Not at all
2
3
4
5
Perfectly
16
Q
A

Amelogenesis imperfecta

How well did you know this?
1
Not at all
2
3
4
5
Perfectly
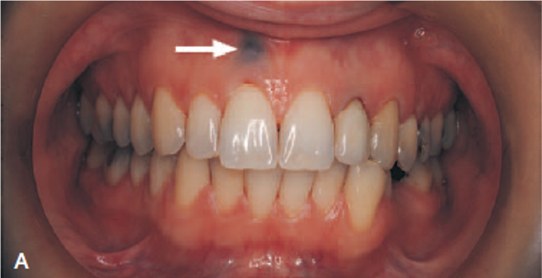
17
Q
A

Amalgam tattoo

How well did you know this?
1
Not at all
2
3
4
5
Perfectly
18
Q

How would you describe the lesion pictured? Why?

A

Diffuse

Non-circumscribed/ill-defined borders

How well did you know this?
1
Not at all
2
3
4
5
Perfectly
21
Q
A

Mandibular tori

22
Q
A

Melanin pigmentation

23
Q

How would you describe the pictured lesion? Why?

A

Multilocular

Soap bubble-like appearance

25
Describe the lesion
Pedunculated
26
Pustules
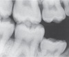
27
Describe the radiographic appearance of the AB
Radiolucent
28
Describe the radiographic appearance of the restorations
Radiopaque
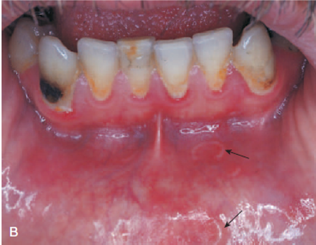
29
Retrocuspid papilla
30
Median rhomboid glossitis
31
Describe what is happening here
External root resorption
32
Describe the base of this lesion
Sessile
33
What is shown in the image on the right?
Supernumerary tooth
34
How would you describe the lesion shown? Why?
Unilocular/well circumscribed One compartment with defined borders
35
What condition does this image depict?
Microdontia
36
What condition does this image depict?
Macrodontia
37
What type of lesion is shown here? What is it caused by?
Vesicle caused by the herpes virus
38
What does this image depict?
Ankylosed teeth
39
What do these images depict?
Enamel hypoplasia resulting from congentical syphillis Causes Hutchinsons incisors and mulberry molars
40
What does this image depict?
Enamel hypoplasia
41
What is seen here?
Dens in dente
42
What condition is seen here?
Taurodontism. Enlarged and extended pulp chambers with shortened roots
43
What is shown here?
Talon cusp Has its own pulp chamber
44
Describe the roots
Dilascerated
45
What is this condition?
Concrescence
46
Describe the condition of the tooth
Fused (fusion) Root and crown
47
What is seen here
Tooth gemination