Lesson 2 - TISSUE CLASSIFICATION Flashcards

(24 cards)

1
Q

function: allows materials to pass by diffusion and filtration where protection is not important & secretes lubricating substances in serosae

location: air sacs of lungs and lining of ventral body cavity

A

simple squamous epithelium

How well did you know this?
1
Not at all
2
3
4
5
Perfectly
2
Q

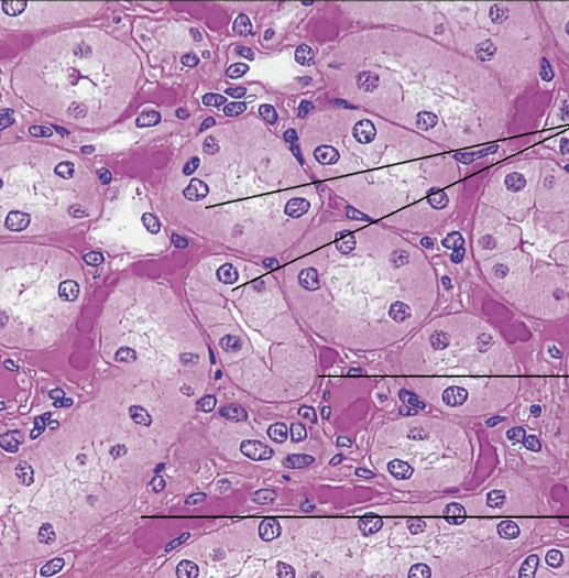
function: secretion & absorption

location: kidney tubules and ovary surface

A

simple cuboidal epithelium

How well did you know this?
1
Not at all
2
3
4
5
Perfectly
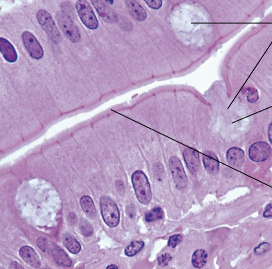
3
Q

function: absorption & secretion of mucus

location: nonciliated lines most of digestive tract & ciliated lines uterus

A

simple columnar epithelium

How well did you know this?
1
Not at all
2
3
4
5
Perfectly
4
Q

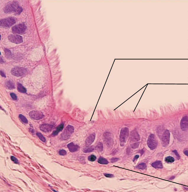
function: secretes substances & propulsion of mucus by ciliary action

location: lines trachea & upper respiratory tract

A

pseudostratified columnar epithelium

How well did you know this?
1
Not at all
2
3
4
5
Perfectly
5
Q

function: protects underlying tissues in areas subjected to abrasion

location: nonkeratinized forms linings in mouth & vagina

A

stratified squamous epithelium

How well did you know this?
1
Not at all
2
3
4
5
Perfectly
6
Q

function: protection

location: largest ducts of sweat glands & mammary glands

A

stratified cuboidal epithelium

How well did you know this?
1
Not at all
2
3
4
5
Perfectly
7
Q

function: protection & secretion

location: small amounts in male urethra & large ducts of some glands

A

stratified columnar epithelium

How well did you know this?
1
Not at all
2
3
4
5
Perfectly
8
Q

function: stretches readily & permits distention of urinary organ by contained urine

location: lines the ureters & bladder

A

transitional epithelium

How well did you know this?
1
Not at all
2
3
4
5
Perfectly
9
Q

function: gives rise to all other connective tissue types

location: embryo

A

embryonic connective tissue: mesenchyme

How well did you know this?
1
Not at all
2
3
4
5
Perfectly
10
Q

function: wraps and cushions organs & holds tissue fluid

location: under epithelia of body & packages organs

A

connective tissue proper: loose connective tissue, areolar

How well did you know this?
1
Not at all
2
3
4
5
Perfectly
11
Q

function: provides reserve fuel & insulates against heat loss

location: under skin & in breasts

A

connective tissue proper: loose connective tissue, adipose

How well did you know this?
1
Not at all
2
3
4
5
Perfectly
12
Q

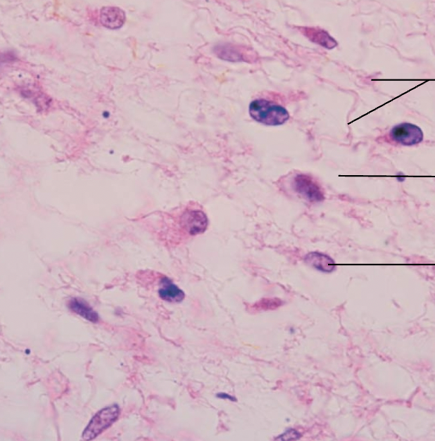
function: fibers form a soft internal skeleton (stroma) that support other cell types including white blood cells, mast cells, and macrophages

location: lymphoid organs (lymph nodes, bone marrow, and spleen)

A

connective tissue proper: loose connective tissue, reticular

How well did you know this?
1
Not at all
2
3
4
5
Perfectly
13
Q

function: attaches muscles to bones & attaches bones to bones

location: tendons, ligaments, aponeuroses

A

connective tissue proper: dense connective tissue, dense regular

How well did you know this?
1
Not at all
2
3
4
5
Perfectly
14
Q

function: able to withstand tension in many directions & provide structural strength

location: fibrous capsules of organs and joints & dermis of skin

A

connective tissue proper: dense connective tissue, dense irregular

How well did you know this?
1
Not at all
2
3
4
5
Perfectly
15
Q

function: allows recoil of tissue following stretching & maintains pulsatile flow of blood through arteries

location: walls of large arteries & walls of bronchial tubes

A

connective tissue proper: dense connective tissue, elastic

How well did you know this?
1
Not at all
2
3
4
5
Perfectly
16
Q

function: supports and reinforces & resilient cushion

location: cartilage of nose and trachea

A

cartilage: hyaline

17
Q

function: maintains the shape of a structure while allowing flexibility

location: external ear (auricle) & epiglottis

A

cartilage: elastic

18
Q

function: tensile strength with the ability to absorb compressive shock

location: intervertebral discs & pubic symphysis & discs of knee joint

A

cartilage: fibrocartilage

19
Q

function: supports and protects (by enclosing) & provides levers for the muscles to act on

location: bones

A

connective tissue: bones

20
Q

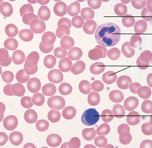
function: transport respiratory gases, nutrients, and wastes

location: within blood vessels

A

connective tissue: blood

21
Q

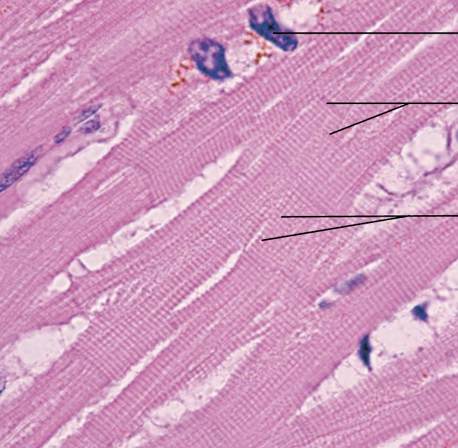
function: voluntary movement & locomotion

location: in skeletal muscles attached to bones or occasionally to skin

A

muscle: skeletal

22
Q

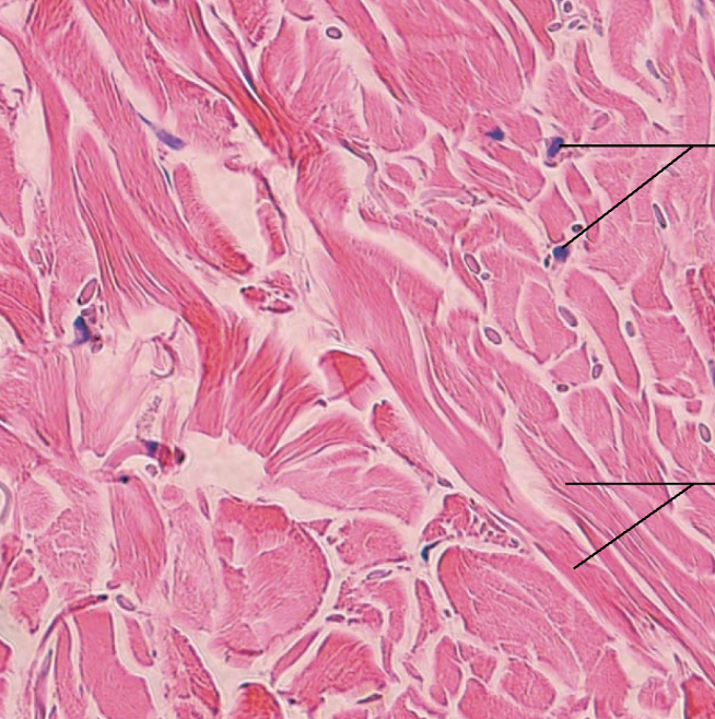
function: propels blood into circulation & involuntary control

location: walls of the heart

A

muscle: cardiac

23
Q

function: propels substances or objects along internal passageways & involuntary control

location: in the walls of hollow organs

A

muscle: smooth

24
Q

function: neurons transmit electrical signals from sensory receptors and to effectors (muscles and glands) & supporting cells support and protect neurons

location: brain, spinal cord, nerves

A

nervous tissue