AML - Acute Myelogenous Leukemia
Epidemiology:
Presentation:
Diagnosis: Peripheral Blood Smear
Markers ___
Risk Factors:
Treatment: ____ (7 days) and ____ (days 1-3)
There are three subclassificatons of AML:
1 __
___ disruption blocks maturation and ____ accumulate. This creates a unique treatment plan that is only used in APL –> ___ (all trans-retinoid acid).
Presentation/Markers - Promyelocytes contain lots of ____! They contain numerous primary granules that increased the risk of ___, a common initial presentation.
Treatment: __ and ___- triggers promyelocytes to ___ normally. As a result, blasts decrease and WBCs are produced by BM.
2. Acute Monocytic Leukemia
Causes: - proliferation of ___
Markers: - usually ___ ___
Presentation: - blasts characteristically infiltrate ___
3. Acute Megakaryoblastic Leukemia
Causes Proliferation of ___
Markers:
Genetics: - associated with __ __(usually arises after __ yo).
AML may also arise from pre existing dysplasia (__ __), especialy with prior exposure to __ agents or radiotherapy.
MDS Myelodysplasia Syndrome
Presentation:
Genetics: 5q-MDS - this mutation has better outcomes
Lab Findings: - ___-___ ___
Typically seen after ___
- dysplastic cells on BMB - increased number of blasts (6-19%). Note: MDS can progress to ___ if blast numver progresses to > ___%.
Normal <__% blasts
MDS ___-___% blasts
AML >__% blasts
AML - Acute Myelogenous Leukemia
Epidemiology: - commonly arises in older adults
- 2nd most common cause of cancer in children
Presentation:
Diagnosis: Peripheral Blood Smear - few RBCs and few platelets - will see presence of blasts and Auer Rods with MPO (note, Auer Rods and MPO can cause DIC if they spill into the plasma)
Markers mpo+
Risk Factors:
Treatment: cytarabine (7 days) and daunorubicin (days 1-3)
There are three subclassificatons of AML:
RAR disruption blocks maturation and promyelocytes accumulate. This creates a unique treatment plan that is only used in APL –> ATRA (all trans-retinoid acid).
Presentation/Markers - Promyelocytes contain lots of MPO! They contain numerous primary granules that increased the risk of DIC, a common initial presentation.
Treatment: ATRA and arsenic- triggers promyelocytes to mature normally. As a result, blasts decrease and WBCs are produced by BM.
Causes: - proliferation of monoblasts
Markers: - usually NO MPO
Presentation: - blasts characteristically infiltrate GUMS
Causes Proliferation of MEGAKARYOBLASTS
Markers:
Genetics: - associated with DOWN SYNDROME (usually arises after 5 yo).
AML may also arise from pre existing dysplasia (myelodysplastic syndrome), especialy with prior exposure to alkylating agents or radiotherapy.
MDS Myelodysplasia Syndrome
Presentation:
Genetics: 5q-MDS - this mutation has better outcomes
Lab Findings: - Pseudo-Pelger-Huet Anomaly - neutrophils with bilobed nuclei.
Typically seen after chemo - dysplastic cells on BMB - increased number of blasts (6-19%). Note: MDS can progress to AML if blast > 20%.
Normal <5% blasts
MDS 6-19% blasts
AML >20% blasts

Treatment: 6MP
Two Subtypes:
1. B. ALL - most common type of ALL in children (peak incidence 4 yo)
Presentation:
___ –> due to marrow expansion -
____ - due to decreased neutrophils
Lymphadenopathy, splenomegaly, hepatomegaly –> “megaly’s” due to _____ being produced.
Genetics:
____ translocation is associated with poor prognosis. ____ creates fusion product of 2 genes. This is commonly seen in ___ and is a ____ prognosis.
B. A.L.L.
Risk Factors: - significantly higher risk in __ __ patients.
- ___ ____ children - risk for ALL is 10-20X greater.
1 - 3% of all ALL cases have __ ___.
Prognosis: ___:____ good prognosis (commonly seen in children)
___:____ worse prognosis (commonly seen in adults)
___ ___ ____ - most power predictor of prognosis - early response to therapy is the single most powerful prognostic predictor
T.ALL
T. ALL - characterized by lymphoblasts (___+) that express CD___ to ___. NOT ___.
Presentation:
The patient may presents with difficulty____.
Note: it is called acute lymphoblastic LYMPHOMA because the malignant cells for a mass
CD10 Expressers
Burk’s Balls Fall
Treatment:
Treatment: 6MP
Two Subtypes:
1. B. ALL - most common type of ALL in children (peak incidence 4 yo)
Presentation:
bone pain –> due to marrow expansion -
fever- due to decreased neutrophils
Lymphadenopathy, splenomegaly, hepatomegaly –> “megaly’s” due to lymphoblasts being produced.
Genetics:
9:22 translocation is associated with poor prognosis. 9:22 creates fusion product of 2 genes. This is commonly seen in adults and is a poor prognosis.
B. A.L.L.
Risk Factors: - significantly higher risk in down syndrome patients.
- DS children - risk for ALL is 10-20X greater.
1 - 3% of all ALL cases have DS.
Prognosis: 12:21 good prognosis (commonly seen in children)
9:22 worse prognosis (commonly seen in adults)
MRD (minimal residual disease) - most powerful predictor of prognosis - early response to therapy is the single most powerful prognostic predictor
T.ALL
T. ALL - characterized by lymphoblasts (TdT+) that express CD2 to 8. NOT CD10
Presentation:
- TRACHEAL obstruction –> b/c tumor can get so large, that it can compress other structures and can cause SVC syndrome (compresses blood flow through SVC).
The patient may presents with difficulty BREATHING
Note: it is called acute lymphoblastic LYMPHOMA because the malignant cells for a mass
Treatment:
CML
Genetics: - MUST HAVE ___:___ ___TRANSLOCATION with a breakpoint at ____ which generates __-___ fusion protein which increases __ __ activity.
Cr. __ breakpoints: - p___ (___ kDa protein) = seen in ALL
Presentation of CML: 3 Phases:
Chronic phase Lab Findings: - increased ____ (WBC = 100,000). - increase neutrophils, basophils and eosinophils.
Note: Remember neutrophil development? Myeloblast –> promyelocytes –> myelocytes –> bands. You can expect all of these to be ____ too.
Chronic Phase Presentation:
.after a few years, chronic phase moves to ACCELERATED PHASE:
Differential Diagnosis:
CML or ____ Rxn?
It is very important to distinguish CML from __ __ reaction (Leukomoid reaction), which is a normal response to infection. When you suspect CML, you must rule out the possibility that there is an occult infection going on.
CML must be distinguished from a leukomoid reaction:
LAP: Leukocyte alkaline phosphatase test - an enzyme found in normal ____
LAP - absent in neutrophils of __
If: ___ LAP –> CML
If: ____ LAP –> leukomoid reaction
Genetics: 9:22 - BCR-ABL fusion with increased tyrosine kinase activity which leads to long life. This fusion chromosome results in synthesis of tyrosine kinase protein that leads to long cell life –> allows WBCs to evade apoptosis and live a long life. LAP has been largely replaced by testing for Philadelphia chromosome.
Presentation: ___ IS COMMON! - enlarging ___ suggests accereleated phase of disease. - transformation to acute leukemia usually follows shortly thereafter
Treatment: Because CML involves Ph Cr and over expression of __ ___ enzyme, a # of drugs have been developed to target this problem.
Other notes: - Gleevec (Imatinib) resistance is developing. - During accelerated phase, use higher doses of ___.
Imatinib binds to ___ on GISTs (GI stromal tumors)
Imatinib binds to ___-alpha, which is seen in ___ ___
CML
Genetics: - MUST HAVE 9:22 PHILLY TRANSLOCATION with a breakpoint at 210 which generates BCR-ABL fusion protein which increases TYROSINE KINASE activity.
Cr. 22 breakpoints: - p190 (190 kDa protein) = seen in ALL
Presentation of CML: 3 Phases:
Chronic phase Lab Findings: - increased LEUKOCYTOSIS (WBC = 100,000). - increase neutrophils, basophils and eosinophils.
Note: Remember neutrophil development? Myeloblast –> promyelocytes –> myelocytes –> bands. You can expect all of these to be PRESENT too.
Chronic Phase Presentation:
.after a few years, chronic phase moves to ACCELERATED PHASE:
Differential Diagnosis:
CML or LEUKOMOID Rxn?
It is very important to distinguish CML from LEFT SHIFT reaction (Leukomoid reaction), which is a normal response to infection. When you suspect CML, you must rule out the possibility that there is an occult infection going on.
CML must be distinguished from a leukomoid reaction:
LAP: Leukocyte alkaline phosphatase test - an enzyme found in normal NEUTROPHILS
LAP - absent in neutrophils in CML
If: LOW LAP –> CML
If: HIGH LAP –> leukomoid reaction
Genetics: 9:22 - BCR-ABL fusion with increased tyrosine kinase activity which leads to long life. This fusion chromosome results in synthesis of tyrosine kinase protein that leads to long cell life –> allows WBCs to evade apoptosis and live a long life. LAP has been largely replaced by testing for Philadelphia chromosome.
Presentation: SPLENOMEGALY IS COMMON! - enlarging SPLEEN suggests accereleated phase of disease. - transformation to acute leukemia usually follows shortly thereafter
Treatment: Because CML involves Ph Cr and over expression of TYROSINE KINASE enzyme, a # of drugs have been developed to target this problem.
Other notes: - Gleevec (Imatinib) resistance is developing. - During accelerated phase, use higher doses of TKI.
Imatinib binds to C-KIT on GISTs (GI stromal tumors)
Imatinib binds to PDGFR-alpha, which is seen in HYPEREOSINOPHILIC SYNDROME
Chronic Lymphocytic Leukemia - CLL
4 STAGES OF CLL
low = 0 - ____ only
intermediate I - lymphocytosis, ____
intermeidiate II - lymphocytosis, ____
High - III - lymphocytosis, with Hb <____ due to progression of CLL in marrow
High IV - lymphocytosis, ___ <__ K due to progression of CLL in marrow
Presentation:
Note: when patients are diagnosed, many of them are just observed and go without treatment
Markers: CD_, CD__, CD___, CD___a and CD__ are co-expressed. Unique b/c CD__ = a typical B cell receptor and CD__, typical T cell receptor are expressed together
. Diagnosis: - lots of ___s! SLL is similar to CLL. They have the same malignant cells, but the disorders are differentiated by their WBC count.
____ - lymphocyte < 5000
___ - lymphocyte > 5000
Lab Findings: __ cells!
. Epidemiology: - median age of diagnosis is 60
Complications: __ __
How can we tell if a CLL patient’s thrombocytopenia is from ITP or stage IV disease?
Treatment for CLL and ITP- ___
Treatment for stage IV CLL - ___ __ and BM transplant.
Classic presentation: - patient with h/o CLL and suddenly sees rapid growth of ___ ___ lymphoma.
Treatment: bone marrow transplant but only if they have symptoms (stage 3 or 4 … Hb <11 and Plts < 100K)
Chronic Lymphocytic Leukemia - CLL
4 STAGES OF CLL
low = 0 - lymphocytosis only
intermediate I - lymphocytosis, lymphadenopathy
intermeidiate II - lymphocytosis, splenomegaly
High - III - lymphocytosis, with Hb <11.0 due to progression of CLL in marrow
High IV - lymphocytosis, platelets <100 K due to progression of CLL in marrow
Presentation:
Note: when patients are diagnosed, many of them are just observed and go without treatment
Markers: CD5, CD19, CD20, CD79a and CD23 are co-expressed. Unique b/c CD20 = a typical B cell receptor and CD5, typical T cell receptor are expressed together
. Diagnosis: - lots of WBCss! SLL is similar to CLL. They have the same malignant cells, but the disorders are differentiated by their WBC count.
CLL - lymphocyte < 5000
SLL - lymphocyte > 5000
Lab Findings: smuge cells!
. Epidemiology: - median age of diagnosis is 60
Complications: Immune dysregulation
How can we tell if a CLL patient’s thrombocytopenia is from ITP or stage IV disease?
Treatment for CLL and ITP- predisone
Treatment for stage IV CLL - cytotoxic chemo and BM transplant.
Classic presentation: - patient with h/o CLL and suddenly sees rapid growth of B cell lymphoma.
Treatment: bone marrow transplant but only if they have symptoms (stage 3 or 4 … Hb <11 and Plts < 100K)
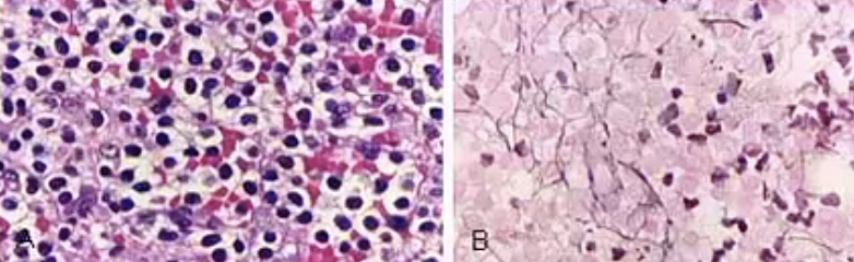
Hairy Cell Leukemia
Epidemiology: - median age is ___
Markers: CD___
Lab Findings: - lymphocytes with ___-like cytoplasmic projections.
Unique features:
Treatment: ____ (2CDA) - preferred initial therapy for HCL. Excellent clinical response. It is similar to adenosine (pure analog) and is highly toxic to cells in HCL.
Hairy Cell Leukemia
Epidemiology: - median age is 52
Markers: CD103
Lab Findings: - lymphocytes with hair-like cytoplasmic projections.
Unique features:
Treatment: cladribine (2CDA) - preferred initial therapy for HCL. Excellent clinical response. It is similar to adenosine (pure analog) and is highly toxic to cells in HCL.

Follicular Lymphoma
____% of all new NHL diagnosis
Epidemiology: - presents in ___
Markers: name 3
___. ___. ___, ___
Presentation:
Genetics: - t(___;____)
Cr. 14: ___ locus
Cr. 18:____ locus
Differential Diagnosis:
You must be able to distinguish FL from ___ ___ ____!!! The presence of _____ set reactive LAD apart from follicular lymphoma!! LAD and FL both have high ____ growth!
But:
This causes lots of cellular ___ which is cleaned up by ____ –> the presence of ____ set reactive LAD apart from follicular lymphoma. ____ ARE seen in LAD, but not in follicular lymphoma.
Prognosis: Not___, but is ____.
____ is a feared consequence of follicular lymphoma. Histology transformation occurs ___ to ___% of cases. When this happens, prognosis is ___!
Treatment: - reserved for people who are _____ - if symptomatic, use low dose chemo, or ____ (anti CD____)
Complications: - progression to diffuse large B cell lymphoma
Follicular Lymphoma
22% of all new NHL diagnosis
Epidemiology: - presents IN ELDERLY
Markers: CD19, CD20, BCL2, CD10
Presentation:
Genetics: - t(14;18)
Cr. 14: IGH locus
Cr. 18: BCL locus
Differential Diagnosis:
You must be able to distinguish FL from REACTIVE LYMPHADENOPATHY!!! The presence of MACROPHAGES set reactive LAD apart from follicular lymphoma!! LAD and FL both have high FOLLICULAR growth!
But:
This causes lots of cellular DEBRIS which is cleaned up by MACROPHAGES–> the presence of MACROPHAGES set reactive LAD apart from follicular lymphoma. MACROPHAGES ARE seen in LAD, but not in follicular lymphoma.
Prognosis: Not CURABLE, but is TREATABLE
DLBCL is a feared consequence of follicular lymphoma. Histology transformation occurs 10 to 70% of cases. When this happens, prognosis is POOR!
Treatment: - reserved for people who are SYMPTOMATIC - if symptomatic, use low dose chemo, or RITUXIMAB (anti CD20)
Complications: - progression to diffuse large B cell lymphoma
Diffuse Large B Cell (DLBCL)
Epidemiology: - affects usually _____ but affects ___% of children
Genetics: - 30% of patients have a ___;___ translocation
Markers: - expression of CD___ and CD___
Presentation: - presents late in adulthood as an enlarging LN or ___ ___ mass
Treatment:
Name 5 drugs
Diffuse Large B Cell (DLBCL)
Epidemiology: - affects usually OLDER ADULTS but affects 20% of children
Genetics: - 30% of patients have a 14;18 translocation
Markers: - expression of CD19 and CD20
Presentation: - presents late in adulthood as an enlarging LN or EXTRA NODALmass
Treatment:
R-CHOP
Name 5 drugs
RITUXIMAB
CYCLOPHOSPHAMIDE
HYDROXY-DOXORUBICIN
ONCOVIN- VINCRISTINE
PREDNISONE
Burkitt Lymphoma
Epidemiology: - affects adolescents of young adults - ___ form - involves jaw
Genetics: - t(__;___) translocation - but can also be __;___ translocation or ___;___ translocation.
_____ nuclear regulator) gene is translocated.
lots of ___ –> causes lots of growth!
What is ____? ____ is a growth promoter. Often, it is translocated to Cr. ___ (where ___ B cell heavy chain gene is located).
This translocation leads to over expression of ___ gene on B cells and causes ____.
Diagnosis - need tissue sample (because it is NOT in the blood) - ____% Ki-67 staining (Ki-67 shows us how many cells are ___)
Lab Findings: “__-___” appearance –> numerous rapidly dividing Burkitt Lymphoma cells create lots of ___. This debris is cleared by ____ which create a clearing space. This gives Burkitts Lymphoma a “__ ___” appearance.
Three forms:
1. Endemic -
African and New Guinea
Other AIDS defining malignancies:
Burkitt Lymphoma
Epidemiology: - affects adolescents of young adults - ENDEMIC form - involves jaw
Genetics: - t(8;14) translocation - but can also be 8;22 translocation or 8;2 translocation.
c-myc nuclear regulator) gene is translocated.
lots of cmyc –> causes lots of growth!
-cmyb gene found on Cr. 8.
What is cmyc? cmycis a growth promoter. Often, it is translocated to Cr. 14 (where Ig B cell heavy chain gene is located).
This translocation leads to over expression of cmyc gene on B cells and causes overgrowth.
Diagnosis - need tissue sample (because it is NOT in the blood) - 100% Ki-67 staining (Ki-67 shows us how many cells are dividing)
Lab Findings: “starry-sky” appearance –> numerous rapidly dividing Burkitt Lymphoma cells create lots of debris. This debris is cleared by macrophages which create a clearing space. This gives Burkitts Lymphoma a “starry sky” appearance.
Three forms:
1. Endemic -
African and New Guinea
Other AIDS defining malignancies:
Polycythemia Vera
Hgb: __ (normal 15)
Hct: __ (normal 45)
Presentation: - symptoms mostly due to ___ blood
Also, increased RBC leads to increase in blood ____, which causes ___ and ___
classically, ___-___ syndrome (blood clot in ___ vein) –> when you get a thrombosis in the hepatic vein which gives infarct in the liver
Diagnosis: PV MUST BE DISTINGUSHED FROM __ ___!
Why? –> if we have increased RBC, that could actually be due to another condition. For example, lets say that someone has lung disease, then their saturation O2 would be ___, and EPO would be ____. -
We could also get reactive PV from topic EPO production from renal cell carcinoma.
BUT…in PV, SaO2 is ____ and EPO is ____ due to ___ ____ b/c so many RBCs*
So, when diagnosing PV, we must exclude:
Treatment: - ____ (take away RBCs)
Note: without treatment, death usually occurs within a year. Complications:
Polycythemia Vera
Hgb: 20 (normal 15)
Hct: 60 (normal 45)
Presentation: - symptoms mostly due to VISCOUS blood
Also, increased RBC leads to increase in blood VOLUME, which causes HYPERTENSION and THROMNBOSIS
classically, BUDD-CHIARI syndrome (blood clot in PORTAL vein) –> when you get a thrombosis in the hepatic vein which gives infarct in the liver
Diagnosis: PV MUST BE DISTINGUSHED FROM REACTIVE POLYCYTHEMIA VERA!
Why? –> if we have increased RBC, that could actually be due to another condition. For example, lets say that someone has lung disease, then their saturation O2 would be LOW , and EPO would be NORMAL. -
We could also get reactive PV from topic EPO production from renal cell carcinoma.
BUT…in PV, SaO2 is NORMAL and EPO is DECREASED due to NEGATIVE FEEDBACK b/c so many RBCs*
So, when diagnosing PV, we must exclude:
Treatment: - PHLEBOTOMY (take away RBCs)
Note: without treatment, death usually occurs within a year. Complications:
Essential Thrombocythemia
Genetics: - associated with ____ mutation - predominantly affects ____/____
Presentation: - increased risk of ___ and/or ___ –> although there is an ____ in platelet count, they are not functioning properly, so you can still get bleeding or you can get thrombosis. - rarely progresses to marrow ____ or acute leukemia
Differential Diagnosis: - must exclude other _____ disorders.
In ___ and ___, you can ALSO see higher platelet count so you must rule CML and PV out first. In addition, you must exclude out ___ __. This causes high platelets because of another condition such as in: - infections - metastatic cancer - acute bleeding, hemolysis
Key blood tests: - measure RBC and test for __ __ ___. So, if C-reactive protein, fibrinogen, ESR or ferritin is high, then there could be high platelets due to an occult _____ reaction.
Prognosis: - Most patients have no disease related complications. PV complications are unusual
Treatment: ___, ____
Essential Thrombocythemia
Genetics: - associated with JAK2 mutation - predominantly affects MEGAKARYOCYTES/PLATELETS
Presentation: - increased risk of BLEEDING and/or THROMBOSIS–> although there is an INCREASE in platelet count, they are not functioning properly, so you can still get bleeding or you can get thrombosis. - rarely progresses to marrow FIBROSIS or acute leukemia
Differential Diagnosis: - must exclude other MYELOPROLIFERATIVE disorders.
In CML AND PV, you can ALSO see higher platelet count so you must rule CML and PV out first. In addition, you must exclude out REACTIVE THROMBOCYTHEMIA. This causes high platelets because of another condition such as in: - infections - metastatic cancer - acute bleeding, hemolysis
Key blood tests: - measure RBC and test for ACUTE PHASE REACTANTS. So, if C-reactive protein, fibrinogen, ESR or ferritin is high, then there could be high platelets due to an occult INFLAMMATION reaction.
Prognosis: - Most patients have no disease related complications. PV complications are unusual
Treatment: ASPIRIN, HYDROXYUREA
MYELOFIBROSIS
Genetics: - associated with __ MUTATION (50% of time)
Growth Factors:____ AND ____
Pathophysiology of primary myelofibrosis
Epidemiology - affects ___
Presentation - MASSIVE __
–> increased metabolism due to extra medullary hematopoiesis b/c BM is nonfunctioning
Lab Findings: - _____ smear - inappropriate release of cells from marrow - you will see immature __ and ___ precursors in blood - ___ ___ CELLS (____) is a CLASSIC finding in myelofibrosis. This is because RBCs are ___ as they squeeze through the fibrosis marrow!!
What is a leukoerythoblastic smear?
The vast majority of cell production has shifted over to the ___, however, the spleen is tiny compared to BM, so even though pt undergoes extrahematopoiesis, it is no where where they need to be.
Treamtment:__ __ __
MYELOFIBROSIS
Genetics: - associated with JAK2 MUTATION (50% of time)
Growth Factors:PDGF AND TGF-B
Pathophysiology of primary myelofibrosis
Epidemiology - affects OLDER PEOPLE
Presentation - MASSIVE SPLENOMEGALY
–> increased metabolism due to extra medullary hematopoiesis b/c BM is nonfunctioning
Lab Findings: - LEUKOERYTHBLASTIC smear - inappropriate release of cells from marrow - you will see immature GRANULOCYTE and RBC precursors in blood - TEAR DROP CELLS (DACROCYTES) is a CLASSIC finding in myelofibrosis. This is because RBCs are DEFORMED as they squeeze through the fibrosis marrow!!
What is a leukoerythoblastic smear?
The vast majority of cell production has shifted over to the SPLEEN, however, the spleen is tiny compared to BM, so even though pt undergoes extrahematopoiesis, it is no where where they need to be.
Treamtment: STEM CELL REPLACEMENT
Hodgkin Lymphoma
(40%) - neoplastic proliferation of REED STERNBERG CELLS, which are large B cells with multi lobed nuclei and prominent nucleoli “owl eyes”
Epidemiology: - HL has a ___ distribution - peaks at __ and __.
Presentation: - Enlarged ___ ___ node (which other disorder shares this feature?)
___ is the key word! __ lymph nodes are seen in infections, and these “reactive” lymph nodes are tender to touch.
So, enlarged painless lymph nodes suggest malignancy such as lymphomas.
RSC these are large multi lobed cells. Two halves are often mirror images of each other and look like “owl’s eyes.”
Hodgkin’s Hair Wax was Painless
(Note: although RS cells are in Hodgkin Lymphoma, they can also be seen in other disorders)
The malignant cell in Hodgkin Lymphoma is the Reed Sternberg cell. The cell is actually a minority in the cells that make up the enlarged lymph node. (only about 1-5%). The bulk of the cells are reacting to the presence of the RS cell’s release of large cytokines. If you remember, RS cells release lots of cytokines too. This can help you to remember that B symptoms are more common in Hodgkin lymphoma than in nonhodgkin lymphoma.
In addition, HL may lead to hyper-____. Why?
Risk Factors: - prior ___ infection (virus infects B cells)
Treatment: chemotherapy and radiation therapy, ___
4 types:
Classical Presentation: - enlarging ___ neck or ___ LN in a ___ adult (usually ___)
Lab Findings: - _____ ____ ___ ___ cells seen in clear __-___ spaces
Prognosis: - Slow growth –> indolent - ___ long term survival for the patient
Hodgkin Lymphoma
(40%) - neoplastic proliferation of REED STERNBERG CELLS, which are large B cells with multi lobed nuclei and prominent nucleoli “owl eyes”
Epidemiology: - HL has a BIMODAL distribution - peaks at 20 and 60.
Presentation: - Enlarged PAINLESS LYMPH node. this is similar to HCL.
PAINLESS is the key word! PAINFUL lymph nodes are seen in infections, and these “reactive” lymph nodes are tender to touch.
So, enlarged painless lymph nodes suggest malignancy such as lymphomas.
RSC these are large multi lobed cells. Two halves are often mirror images of each other and look like “owl’s eyes.”
(Note: although RS cells are in Hodgkin Lymphoma, they can also be seen in other disorders)
The malignant cell in Hodgkin Lymphoma is the Reed Sternberg cell. The cell is actually a minority in the cells that make up the enlarged lymph node. (only about 1-5%). The bulk of the cells are reacting to the presence of the RS cell’s release of large cytokines. If you remember, RS cells release lots of cytokines too. This can help you to remember that B symptoms are more common in Hodgkin lymphoma than in nonhodgkin lymphoma.
In addition, HL may lead to hyper-CALCEMIA. Why?
Risk Factors: - prior EBV infection (virus infects B cells)
Treatment: chemotherapy and radiation therapy, BLEOMYCIN
4 types:
Classical Presentation: - enlarging CERVICAL neck or MEDIASTINAL LN in a YOUNG adult (usually FEMALE)
Lab Findings: - LACUNAR VARIANT REEDSTERNBERG cells seen in clear LAKE-LIKE spaces
Prognosis: - Slow growth –> indolent - GOOD long term survival for the patient
Marginal Zone Lymphoma
B-cell malignancy that is adjacent to the ___ cells (___ zone is next to mantle cells which are next to ___)
So, the MZL is classically seen in ___ inflammatory states such as in:
Epidemiology - affects____
Genetics: - t(___;____)
Marginal Zone Lymphoma
B-cell malignancy that is adjacent to the mantle cells (marginal zone is next to mantle cells which are next to follicles)
So, the MZL is classically seen in chronic inflammatory states such as in:
Epidemiology - affects adults
Genetics: - t(11:18)
Mantle Cell Lymphoma
Epidemiology: - Affects adult ___ (males __ females)
Median Overall Survival - __ to __ years (___ prognosis)
Markers: CD___ and CD___ (and CD19) - like SLL and CLL!
Genetics: - ___:___ translocations (__ to __%) - Do you remember what was on Cr. 14? —> ___ ___!! -
What gets translocated there? —> ____!
What does over expression of ___ do? –> _____ the regulators which makes the cell cycle to go from ___ to ___ facilitating neoplastic proliferation.
Mantle Cell Lymphoma
Epidemiology: - Affects adult MALES (males >females)
Median Overall Survival - 3 to 4 years (POOR prognosis)
Markers: CD5 and CD20 (and CD19) - like SLL and CLL!
Genetics: - 11;14 translocations (30 to 40%) - Do you remember what was on Cr. 14? —> IMMUNOGLOBULIN HEAVY CHAIN!! -
What gets translocated there? —> CYCLIN D!
What does over expression of CYCLIN D do? –> PHOSPHORYLATES the regulators which makes the cell cycle to go from G1 to S facilitating neoplastic proliferation.
T cell Leukemia/Lymphoma
Epidemiology: - endemic in___, ___ and ___.
Presentation:
Remember, TCL will also presents the same way, except TCL its also have a ____!!!!!
Lab Findings: - key diagnostic test: ____ antibodies
Note: Patients with ___ ___ also have lytic bone lesions with high ___ levels. Do not confused this though with T cell Leukemia/Lymphoma. MM patients DO NOT have __ __, or __ __ and no ___
T cell Leukemia/Lymphoma
Epidemiology: - endemic in JAPAN, CARRIBEAN and W. AFRICA
Presentation:
Remember, TCL will also presents the same way, except TCL its also have a RASH!!!!!
Lab Findings: - key diagnostic test: ANTI HTLV-1 antibodies
Note: Patients with MM also have lytic bone lesions with high CA2+ levels. Do not confused this though with T cell Leukemia/Lymphoma. MM patients DO NOT have SKIN RASH, or LYMPHADENOPATHY and no LYMPHOCYTOSIS
Cuteaneous T cell Lymphoma
TWO TYPES
Presentation:
Diagnosis:
Presentation:
Lab Findings
Cuteaneous T cell Lymphoma
TWO TYPES
Presentation:
Diagnosis:
Presentation:
Lab Findings
Multiple Myeloma
BONE MARRROW > ____% MONOCLONCAL PLASMA CELLS (what is it in MGUS)
Often ___ in MM.
Epidemiology: - affects people > __-___ yo
Lab Diagnostic: - ___ - RBCs form a __ of ___.
This is caused by elevated ____ levels in plasma. This causes RBCs to ___ together.
Causes of MM: __-__ is elevated in MM.
__-__ is required for ___ cell proliferation.
Excess production causes excess ______ production –> MM symptoms results from excess production of immunoglobulins:
When these Ig’s are expressed in excess, we call them ____.
Let’s review what light chains are: 2 types: ___ and ___.
Each antibody has ___ identical light chains. So, an antibody has either have 2___ or 2 ___.
The __ ___ determines the antibody type. For example,___ heavy chain makes an antibody an IgG antibody –> What this means is that antibodies can be described as IgG-k or IgG-lambda.
Under normal circumstances, ___ cells express a slight ___ of __ chains, but these are normally filtered by the ___, and they are reabsorbed in the ___, where they are broken down.
However, in many cases of MM, ____ light chains are produced in excess by plasma cells, and when excess light chains are produced in MM, this leads to a special pathologies and symptoms that is part of the disorder:
Pathologies and Symptoms:
Why does renal failure happen? - this occurs because small amounts of light chains normally are filtered/reabsorbed by the PCT.
In the setting of MM, if ___ light chain is produced and ___ capacity is ____. - this means that the light chains then go to the __. There, it is combined with a protein called “__ __ __ ___ (THM).
In addition, some light chains get excreted into the __. When light chains are found in urine, they are called __ __ protein. ___ also contributes to renal failure. In fact, __ of ANY cause can cause renal failure. This is b/c high Ca++ levels impair the renal ability to concentrate the urine. When the kidneys can’t concentrated, they produce excess urine that is dilute –> this leads to ____ and volume contraction. This lowers ___ and causes renal failure.
Tests: Dipstick will be ____ for protein when light chain (LC) is in urine. That is b/c dipsticks can detect ____ but is poor at detecting LCs. For this reason, ___ is used – which is similar to SPEP. A positive UPEP test indicates the presence of LCs in urine.
When LCs are in the urine they are called __ __ PROTEIN.
Recurrent bacterial infections are commonly caused by: S. ___ S. ___ and E. Coli
Common way it is presented: - Elderly patient has a mild fall, and fractures their vertebral columns. A work up is done and identifies the MM.
____ is also seen due to bone resorption –> much higher serum calcium In addition, excess light chains can cause a type of ___that deposits into tissues called AL ____. There is a special test used to identify the excess Its that occurs in MM. It is called the SPEP –> serum protein electrophoresis
Numerous plasma cells with __-face chromatin and intracytoplasmic inclusions containg __ can be seen.
When you think of MM, think “MMM CRABB!”
What does it stand for?.
Multiple Myeloma
BONE MARRROW > 10% MONOCLONCAL PLASMA CELLS (In MGUS < 10%)
Often OVEREXPRESSED in MM.
Epidemiology: - affects people > 40-50 yo
Lab Diagnostic: - ROULEUX - RBCs form a STACK of COINS
This is caused by elevated PROTEIN levels in plasma. This causes RBCs to STICK together.
Causes of MM: IL-6 is elevated in MM.
IL-6 is required for PLASMA cell proliferation.
Excess production causes excess PLASMA production –> MM symptoms results from excess production of immunoglobulins:
When these Ig’s are expressed in excess, we call them PARAPROTENS.
Let’s review what light chains are: 2 types: KAPPA and LAMBDA
Each antibody has 2 identical light chains. So, an antibody has either have 2 KAPPA or 2 LAMBDA
The HEAVY CHAIN determines the antibody type. For example,G heavy chain makes an antibody an IgG antibody –> What this means is that antibodies can be described as IgG-k or IgG-lambda.
Under normal circumstances, PLASMA cells express a slight EXCESS of LIGHT chains, but these are normally filtered by the GLOMERULUS, and they are reabsorbed in the PCT, where they are broken down.
However, in many cases of MM, EXCESS light chains are produced in excess by plasma cells, and when excess light chains are produced in MM, this leads to a special pathologies and symptoms that is part of the disorder:
Pathologies and Symptoms:
1.RENAL Damage and Proteinuria –> LIGHT chains are toxic to kidneys and cause RENAL damage –> known as “MYELOMA kidney”
Why does renal failure happen? - this occurs because small amounts of light chains normally are filtered/reabsorbed by the PCT.
In the setting of MM, if EXCESS light chain is produced and PCT capacity is EXCEEDED. - this means that the light chains then go to the DCT. There, it is combined with a protein called “TAM HORSEFALL MUCO PROTEIN (THM).
In addition, some light chains get excreted into the URINE. When light chains are found in urine, they are called BENCE JONE protein. HYPERCALCEMIA also contributes to renal failure. In fact, HYPERCALCEMIA of ANY cause can cause renal failure. This is b/c high Ca++ levels impair the renal ability to concentrate the urine. When the kidneys can’t concentrated, they produce excess urine that is dilute –> this leads to POLYUREA and volume contraction. This lowers GFR and causes renal failure.
Tests: Dipstick will be NEGATIVE for protein when light chain (LC) is in urine. That is b/c dipsticks can detect ALBUMIN but is poor at detecting LCs. For this reason, UPEP is used – which is similar to SPEP. A positive UPEP test indicates the presence of LCs in urine.
When LCs are in the urine they are called BENCE JONE PROTEIN.
Recurrent bacterial infections are commonly caused by: S. PNEUMO, S. AUREUS and E. Coli
Common way it is presented: - Elderly patient has a mild fall, and fractures their vertebral columns. A work up is done and identifies the MM.
HYPERCALCEMIA is also seen due to bone resorption –> much higher serum calcium In addition, excess light chains can cause a type of AMYLOIDOSIS that deposits into tissues called AL (AMYLOID LIGHT CHAIN) AMYLOIDOSIS. There is a special test used to identify the excess Its that occurs in MM. It is called the SPEP –> serum protein electrophoresis
Numerous plasma cells with CLOCK-face chromatin and intracytoplasmic inclusions containg IG can be seen.
When you think of MM, think MMM, CRABB!. What does it stand for?
MM, MONOCLONAL, M PROTEIN
HYPERCALCEMIA
RENAL INSUFFICIENCY
ANEMIA
BONE LYTIC LESIONS, BACK PAIN
MGUS - monoclonal gammopathy of undetermined significance
So, lets say you see a patient with increased serum protein with M spike on SPEP. But then, you don’t see a lytic lesions, hypercalcemia, amyloid, OR Bence-Jones Proteinuria…what is going on with this ISOLATED M SPIKE?
This is called MGUS - monoclonal gammopathy of undetermined significance - asymptomatic plasma cell disorder
no CRABB symptoms.
MGUS - monoclonal gammopathy of undetermined significance
So, lets say you see a patient with increased serum protein with M spike on SPEP. But then, you don’t see a lytic lesions, hypercalcemia, amyloid, OR Bence-Jones Proteinuria…what is going on with this ISOLATED M SPIKE?
This is called MGUS - monoclonal gammopathy of undetermined significance - asymptomatic plasma cell disorder
no CRABB symptoms.
WM WALDERNSTRONG MACROBLOBINEMIA
WM WALDERNSTRONG MACROBLOBINEMIA
Langerhans Cell Histiocytosis
Lab Findings: - characteristic ___(TENNIS RACKET) granules seen on EM
Markers: - __ and ___ and ___ by immunohistochemistry
Key Pearls: - IF THE DISEASE IS NAMED AFTER SOMEONE, IT IS USUALLY MALIGNANT. - IF IT IS MALIGNANT, IT WILL INVOLVE THE SKIN - IF THE DISEASE HAS TWO NAMES IN IT: IT AFFECTS CHILDREN < 2. - IF IT HAS THREE NAMES, IT AFFECTS CHILDREN > 3
Hand-Schuller-Christian Disease -
Epidemiology: - affects children > ___
Presentation: - “SSLED”
Prognosis: ____
Eosinophilic granuloma
- common in _____
Presentation - pathologic ___ in adolescent
is the skin invovled?
Letterer-Siwe
____ proliferation of LCs
Epidemiology: - infants <__ y/o)
Presentation: - is there a ski rash?
lesions
Prognosis - ____
Langerhans Cell Histiocytosis
Lab Findings: - characteristic BIRBECK (TENNIS RACKET) granules seen on EM
Markers: - C1a and S100 and CD207 by immunohistochemistry
Key Pearls: - IF THE DISEASE IS NAMED AFTER SOMEONE, IT IS USUALLY MALIGNANT. - IF IT IS MALIGNANT, IT WILL INVOLVE THE SKIN - IF THE DISEASE HAS TWO NAMES IN IT: IT AFFECTS CHILDREN < 2. - IF IT HAS THREE NAMES, IT AFFECTS CHILDREN > 3
Hand-Schuller-Christian Disease -
Epidemiology: - affects children > 3
Presentation: - “SSLED”
scap rash
skin rash
lytic bone defects
diabetes insipidus
Prognosis: BAD
- benign proliferation of DC cells in BM
Presentation - pathologic fracture in adolescent
-SKIN is not involved - NO SKIN RASH
- pathological bone fracture but no osteosarcoma
Letterer-Siwe
MALIGNANT proliferation of LCs
Epidemiology: - infants <2 y/o)
Presentation: - skin RASH
lesions
Prognosis - pOOR
Anaplastic Large Cell Lymphoma (ALCA)
Presentation: - ___/___ skin, bone, soft tissue, lung liver)
Epidemiology ___ and ____adults __>>___
Advanced stage with __ ____ (fever, night sweats, weight loss)
____ CLINICAL COURSE
Lab Findings: -___ infiltrate - “______” cells
Markers: CD___, CD___ (STRONG), ALK-1 PROTEINS
Genotype: t(__;___)
Anaplastic Large Cell Lymphoma (ALCA)
Presentation: - nodal/extranodal (skin, bone, soft tissue, lung liver)
Epidemiology Children and young adults M>>F
Advanced stage with B symtpoms (fever, night sweats, weight loss)
AGGRESSIVE CLINICAL COURSE
Lab Findings: - sinusoidal infiltrate - “hallmark” cells
Markers: CD3, CD30 (STRONG), ALK-1 PROTEINS
Genotype: t(2;5)
For leukemias, it’s usually ___ ____ leukemias that present with massive hepatosplenomegaly because of extramedullary haematopoiesis as the marrow undergoes myelofibrosis.
_____ leukemias don’t typically present with hsp except for __ ____ ___, where there is splenomegaly as the spleen is a lymphoid organ.
For leukemias, it’s usually chronic myeloid leukemias that present with massive hepatosplenomegaly because of extramedullary haematopoiesis as the marrow undergoes myelofibrosis.
Acute leukemias don’t typically present with hsp except for acute lymphoblastic leukemia, where there is splenomegaly as the spleen is a lymphoid organ.
Tdt is a marker for what?
immature lymphoblasts
would you see a tdt marker for a mature lymphocyte?
no..only for immature lymphoblast