leukemia Flashcards

(20 cards)

1
Q

DIAGRAM what is leukemia

A

series of mutations in myeloid or lymphoid stem cells

How well did you know this?
1
Not at all
2
3
4
5
Perfectly
2
Q

difference of leukemia unlike other cancer-

A

often not any solid tumour- because normal stem cells circulate in blood, these cancer cells circulate in blood

How well did you know this?
1
Not at all
2
3
4
5
Perfectly
3
Q

benign vs malignant difference in leukemia

A

INVASION and METASTASIS don’t apply, so other ways of distinguishing benign and malignant needed: benign= chronic ie goes on for long, and malignant= acute ie disease aggressive

How well did you know this?
1
Not at all
2
3
4
5
Perfectly
4
Q

how leukemia classified

A

chronic vs acute, lymphoid vs myeloid, lymphoid B or T, myeloid megakaryocytic,erythroid,monocytic or granulocytic

How well did you know this?
1
Not at all
2
3
4
5
Perfectly
5
Q

causes of leukemia

A

mutation in protooncogene/TMS, or creation of fusion gene

How well did you know this?
1
Not at all
2
3
4
5
Perfectly
6
Q

causes of mutations in leukemia

A

radiation, anti-cancer drugs, cigarettes, chemicals eg benzene

How well did you know this?
1
Not at all
2
3
4
5
Perfectly
7
Q

difference between AML and CML- genes

A

T.F are affected, so multiple genes affected: in CML, a gene producing protein of membrane receptor or cytoplasmic protein affected, which is not as serious

How well did you know this?
1
Not at all
2
3
4
5
Perfectly
8
Q

difference between AML and CML: cells

A

failure of production of mature cells ie lots of immature cells ie myeloblasts vs too much production of mature cells eg too many granulocytes ie differentiation still occurs

How well did you know this?
1
Not at all
2
3
4
5
Perfectly
9
Q

differnce between ACL and CLL- cell

A

failure of production of mature cells ie lots of immature cells ie lymphoblasts vs mature B/T cells, but still abnormal

How well did you know this?
1
Not at all
2
3
4
5
Perfectly
10
Q

features of leukemia due to accumulation of abnormal cells: especially ALL

A

leucocytosis, bone pain (if acute), hepato/splenomegaly (abnormal cells enter these tissues), lymphadenopathy (ie enlargement of nodes if lymphoid), enlargement of thymus (if T lymphoid), testicular enlargement and skin infiltration

How well did you know this?
1
Not at all
2
3
4
5
Perfectly
11
Q

metabolic effects of leukemia

A

too much uric acid ie renal failure (due to DNA breakdown), weight loss (energy to break down DNA), and fever/sweating (due to high metabolic rate)

How well did you know this?
1
Not at all
2
3
4
5
Perfectly
12
Q

effects due to lack of normal cells- especially in ALL and why it occurs in ALL

A

anemia- leads to fatigue/breathlessness+ pale: thrombocytopenia- leeds to bleeding, bruises+ petechiae: neutropenia= fever: occurs because the amounts of lymphoblasts crowd the other cells

How well did you know this?
1
Not at all
2
3
4
5
Perfectly
13
Q

effect of leukemia on immune system, and particularly which type

A

deficiency due to less B/T cells especially CLL

How well did you know this?
1
Not at all
2
3
4
5
Perfectly
14
Q

who does ALL affect most and why

A

children, due to delayed exposure to common pathogen

How well did you know this?
1
Not at all
2
3
4
5
Perfectly
15
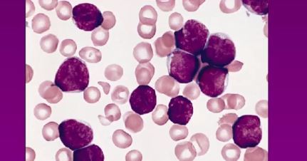
Q

DIAGRAM blood film in ALL

A

very large lymphoblasts

How well did you know this?
1
Not at all
2
3
4
5
Perfectly
16
Q

immunophenotyping

A

tells you were ALL is B or T cell, and whether there’s leukemia- if there is, they will expresss CD19 and TDT

17
Q

cytogenetic analysis and prognosis

A

analyses chromosomes, whether there are translocations/extra choromosomes- important of prognosis

18
Q

FISH in cytogenetic analysis ie fluorescence

A

if there is translocation, there is fusion of two colours

19
Q

treatment of ALL

A

supportive therapy ie gives RBC, platelets and antibiotics- also systemic (as leukemia not one tumour) and intrathecal (via CSF in spine) chemotherapy

20
Q

types of ALL and effect on treatment

A

many different types dependent on cytogenetics- effects optimal treatment