What is MS?
What is Uhthoff’s phenomena?
What is a relapse?
Why does it matter that MS symptoms present in a subacute manner?
What does it mean that MS is a disease separated by time and space?
What tests can you do help dx MS?

How is IV gadolinium used in MS mgmt?

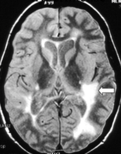
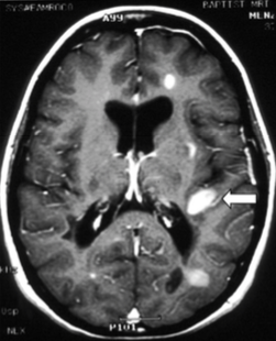
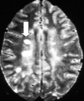
What do you see here?
Are oligoclonal bands in the CSF specific for MS?

In addition to MRI and LP, what is another test you can do for MS? How does it work?

What are the classic dx criteria for MS?
What is one of the typical distributions of MS plaques?

In addition to the classic periventricular plaques, where else in the brain can these be in MS pts?

What is going on in this luxol fast blue stained image?


What is going on at a cellular level in these MS plaques?

How are axons affected in MS plaques?

Describe the pathogenesis of MS.

How are TH1 and TH2 cells involved in MS?

What is the epi of MS?
What are the clinical types of MS? Describe their basic features.
What are the features of PPMS?
What is the prevalence of the types of MS? Overall prognosis?
Describe the natural history of the 4 main types of MS.

Overall, what is the natural hx of MS (w/o drugs)?