Linfomas Flashcards

(42 cards)

1
Q

Definição de linfadenopatia:

A
How well did you know this?
1
Not at all
2
3
4
5
Perfectly
2
Q

Etiologias da linfonodomegalias (Miami):

A
How well did you know this?
1
Not at all
2
3
4
5
Perfectly
3
Q

Indicações de biópsia de linfonodos: (5)

A
How well did you know this?
1
Not at all
2
3
4
5
Perfectly
4
Q

A maioria das linfadenopatias é de caráter……

A
How well did you know this?
1
Not at all
2
3
4
5
Perfectly
5
Q

Na suspeita de doença linfoproliferativa deve ser feito a…..

A

Biópsia excisional.

Não fazer PAAF.

How well did you know this?
1
Not at all
2
3
4
5
Perfectly
6
Q

Qual tipo de linfoma é mais prevalente?

A

Não Hodgkin.

How well did you know this?
1
Not at all
2
3
4
5
Perfectly
7
Q

Fatores de risco para o linfoma:

A
How well did you know this?
1
Not at all
2
3
4
5
Perfectly
8
Q

Sintomas B:

A
How well did you know this?
1
Not at all
2
3
4
5
Perfectly
9
Q

Epidemiologia do linfoma de Hodgkin:

A
How well did you know this?
1
Not at all
2
3
4
5
Perfectly
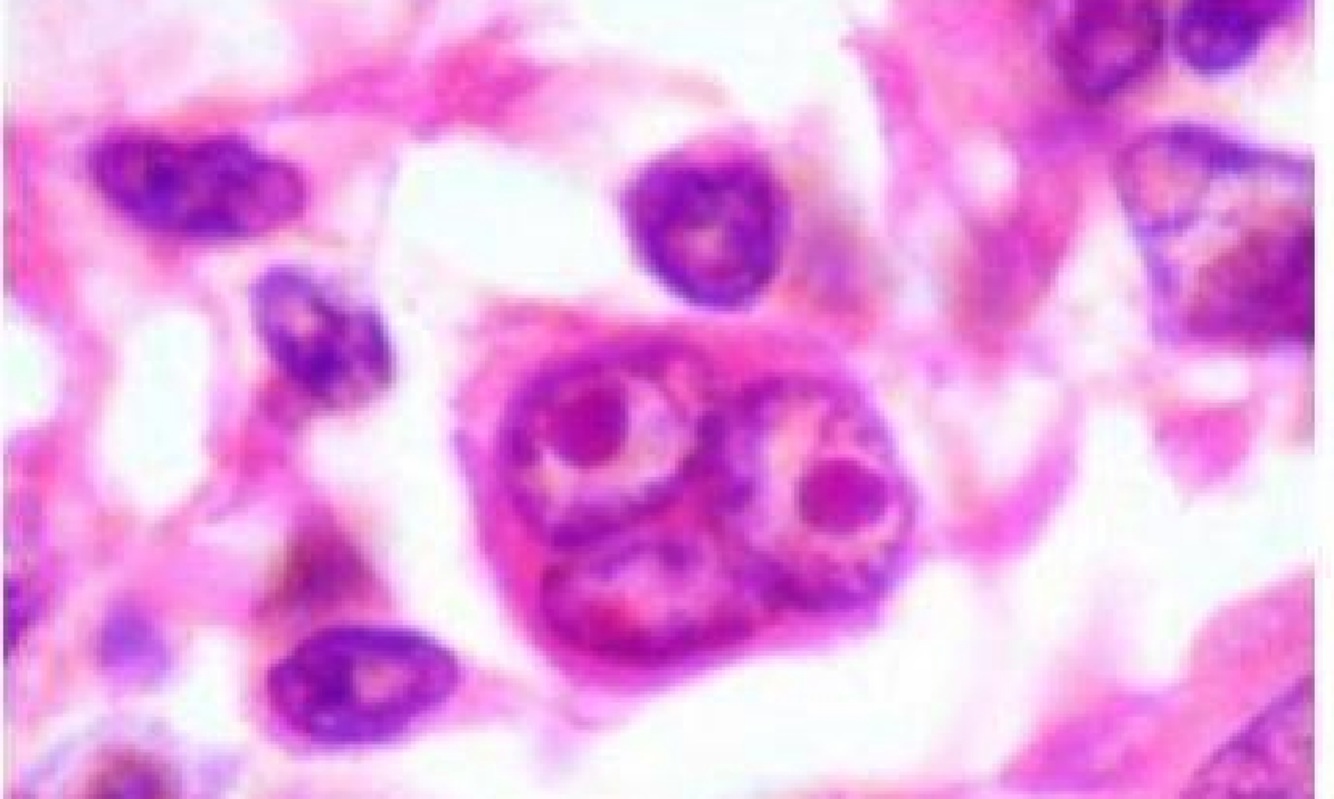
10
Q

Achado a seguir e Dx:

A

Reed Sternberg e Linfoma de Hodgkin.

How well did you know this?
1
Not at all
2
3
4
5
Perfectly
11
Q

Quais são os tipos e subtipos de linfoma de Hodgkin?

A
How well did you know this?
1
Not at all
2
3
4
5
Perfectly
12
Q

DHL e VHS para diferenciar linfoma de Hodgkin do não Hodgkin:

A
How well did you know this?
1
Not at all
2
3
4
5
Perfectly
13
Q

Como se diferencia as duas formas do Linfoma de Hodgkin?

A
How well did you know this?
1
Not at all
2
3
4
5
Perfectly
14
Q

Quadro clínico do Linfoma de Hodgkin:

A
How well did you know this?
1
Not at all
2
3
4
5
Perfectly
15
Q

Dor com ingestão de álcool tem associação com….

A

Linfoma de Hodgkin.

How well did you know this?
1
Not at all
2
3
4
5
Perfectly
16
Q

Linfonodos mais acometidos no linfoma de Hodgkin:

A
How well did you know this?
1
Not at all
2
3
4
5
Perfectly
17
Q

Padrão de disseminação do linfoma de Hodgkin:

18
Q

Envolvimento extranodal do linfoma de Hodgkin:

A

Sítio extranodal mais comum é a MO.

19
Q

Padrão ouro para o estadiamento dos linfomas:

20
Q

Clínica dos linfomas:

21
Q

Exames de estadiamento do linfoma:

22
Q

Estadiamento dos linfomas:

23
Q

Nos linfomas de Hodgkin, a massa tumoral é representada em

Maioria por…….

24
Q

Tto do linfoma de Hodgkin:

25
Epidemiologia do Linfoma não Hodgkin:
26
Fatores de risco para o Linfoma não Hodgkin:
27
Classificação clínica dos linfomas:
28
Qual o paradoxo prognóstico dos Linfomas não Hodgkin?
29
Quais são os linfomas indolentes não Hodgkin?
30
Quais são os linfomas não Hodgkin agressivos e os muito agressivos?
31
Qual o linfoma a seguir?
Linfoma folicular.
32
Tto do linfoma folicular:
33
Características do linfoma difuso de grandes células B:
34
Tto do linfoma difuso de grandes células B:
35
Qual o linfoma a seguir?
36
Linfoma de Burkitt está associado com qual vírus:
EBV e HIV.
37
Variantes clínicas do linfoma de Burkitt:
38
Dx do linfoma de Burkitt:
39
Qual linfoma a seguir?
40
O linfoma linfoblastico é muito agressivo?
Sim.
41
Imunofenotipagem dos linfomas:
42
Qual linfoma o acometimento mediastinal é mais comum?
Linfoma de Hodgkin.