Qual dos dois tipos de linfoma é mais comum: Hodgkin ou Não Hodgkin?
Linfoma Não Hodgkin
Quais os fatores que aumentam as chances de desenvolvimento de linfomas? (7)
Qual a faixa etária mais acometida pelos Linfomas Não Hodgkin?
Idosos (50-65 anos)
Quais os linfomas relacionados com a AIDS e qual é o mais comum?
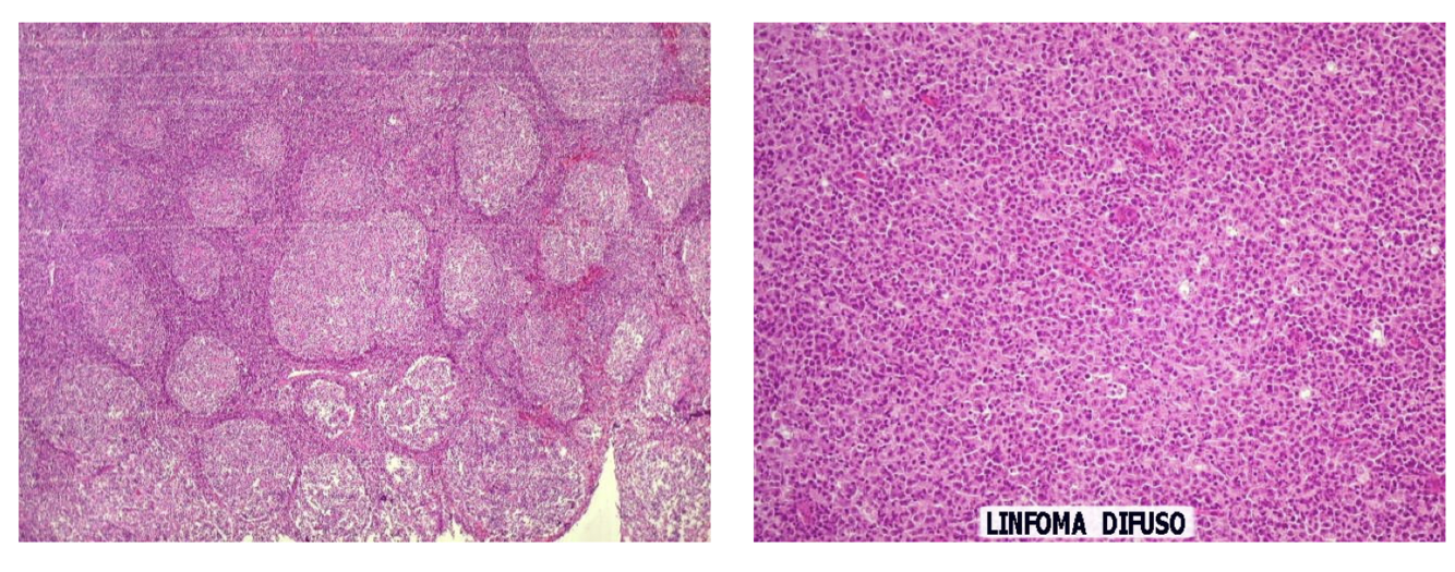
O que significa falar que um linfoma tem padrão folicular ou difuso?

Quais são as manifestações clínicas mais características dos linfomas?
Quais as características de um linfonodo suspeito canditado a ser biopsiado?
Quais as cadeias mais acometidas pelos LNH?
Além dos linfonodos cervicais, supraclaviculares e inguinais, acometem mais:
Os linfonodos mediastinais são bem menos afetados quando comparados ao LH.
Quais dos dois tipos de linfoma (LH ou LNH) tem maior acometimento extranodal e quais são os principais sítios acometidos?
Linfoma Não Hodgkin
Quais são os achados laboratoriais dos LNH?
Qual achado no hemograma é o mais sugestivo de infiltração medular no LNH?
Leucopenia
Quais os fatores prognósticos do LNH?
Como é o estadiamento Ann Harbor?
É usado tanto para LNH como para LH. Deve-se colocar B (caso presença de um ou mais sintoma B) ou A (caso ausência de todos).

Como os linfomas são dividios clinicamente e qual é o protótipo de cada grupo?
Qual o LNH mais comum de todos?
Linfoma B difuso de grandes células
Como é o quadro clínico do linfoma folicular de células B? (4)
V ou F: os linfomas foliculares de células B frequentemente são diagnosticados em estágios mais iniciais
Falso. Por ter curso indolente há um atraso muito grande no diagnóstico, o que dá tempo suficiente para que a doença se espalhe.
Qual a complicação clássica do linfoma folicular de células B?
Transformação em um linfoma B agressivo, geralmente o difuso de grandes células.
Quais os marcadores típicos do linfoma folicular de células B e qual a mutação mais comumente detectada?
CD10 e CD43. t(14;18)
São via de regra negativos para CD5
Quais as células presentes no linfoma folicular de células B?
Centrócitos e centroblastos

Quais são as principais células do linfoma difuso de grandes células B?
Centroblastos
Como é o quadro clínico do lifoma difuso de grandes células B?
Qual o marcador da imunofenotipagem presente no linfoma difuso de grandes células B?
CD45
V ou F: o linfoma de Burkitt é o linfoma mais comum da infância
Falso. O mais comum é o linfoma linfoblástico de células pré-T.