Liver Flashcards

(196 cards)

1
Q

What vessels leave/ enter the liver

A

Portal vein= brings food rich blood from the gut
Hepatic artery= brings arterial blood
Hepatic veins= taking away processed blood into the vena cava
Lymphatics taking away some lymph
Hepatic ducts removing bile to the gallbladder and hut

How well did you know this?
1
Not at all
2
3
4
5
Perfectly
2
Q

What is the blood supply to the liver?

A

Hepatic artery 25% (fully oxygenated blood)
Portal vein 75% (full of rich nutrients and toxins brought from the gut)

How well did you know this?
1
Not at all
2
3
4
5
Perfectly
3
Q

What is the layout of the liver?

A

Cells are arranged in perforated plates, one cell wide. Between the plates are sinusoidal blood channels, lined by endothelial cells

How well did you know this?
1
Not at all
2
3
4
5
Perfectly
4
Q

What are liver lobules?

A

Hexagonal areas of the liver
Along the central axis of each lobule runs a central vein, which is a branch of the hepatic vein

How well did you know this?
1
Not at all
2
3
4
5
Perfectly
5
Q

What is found in the portal triad?

A

Portal vein, bile duct and hepatic artery

How well did you know this?
1
Not at all
2
3
4
5
Perfectly
6
Q

What happens to the blood collected in the central veins?

A

Goes to sublobar veins, then collecting veins, then hepatic veins leaving the liver

How well did you know this?
1
Not at all
2
3
4
5
Perfectly
7
Q

What is a liver acinus?

A

The liver acinus represents a functional unit comprising of 3 or so lobules
The territory of an acinus has, as its axis, one final branch of the portal vein and is subdivided into 1. periportal- deals with sampling blood components and accordingly changes composition , 2. intermediate and 3. perivenous where blood gets enriched
Zone 1 gives signals to zone 3 where e.g. glycogen is broken down and low blood sugar is solved

How well did you know this?
1
Not at all
2
3
4
5
Perfectly
8
Q

In what direction is hepatic lobular blood flow and intralobular bile flow?

A

Hepatic blood flow= from branches of portal vein and hepatic artery on the periphery to the central veins via the sinusoids
Bile flow= lobules centre towards peripheral bile ducts in the bile canaliculi

How well did you know this?
1
Not at all
2
3
4
5
Perfectly
9
Q

What are liver sinusoids?

A

Low pressure vascular channels that recieve blood from portal vein/hepatic artery and deliver it to the central veins

How well did you know this?
1
Not at all
2
3
4
5
Perfectly
10
Q

What are sinusoids lined by and is on the other side of them?

A

Fenestrated endothelial cells, which are loosely attached.
Plasma can thus pass through into the perisinusoidal space of disse, where they can interact with hepatocytes

How well did you know this?
1
Not at all
2
3
4
5
Perfectly
11
Q

What are Kupffer cells and where do they lie?

A

a phagocytic cell which forms the lining of the sinusoids of the liver and is involved in the breakdown of red blood cells.

How well did you know this?
1
Not at all
2
3
4
5
Perfectly
12
Q

What are stellate cells?

A

Hepatic stellate cells reside in the perisinusoidal space, between sinusoidal endothelial cells and hepatocytes, store vitamin A, and produce collagen when activated (cirrosis)

How well did you know this?
1
Not at all
2
3
4
5
Perfectly
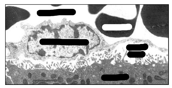
13
Q

What are the different cells shown on this image of a sinusoid?

A
How well did you know this?
1
Not at all
2
3
4
5
Perfectly
14
Q

How are the hepatocytes arranged in the liver?

A

80% of mass of liver is hepatocytes, arranged in plates that anastomose with one another. Cells are polygonal in shape and can have two nuceli
Sides can be in contact with sinusoids or neighbouring hepatocytes (lateral faces)
A portion of the lateral faces are modified to form bile canaliculi

How well did you know this?
1
Not at all
2
3
4
5
Perfectly
15
Q

What occurs in liver cirrhosis?

A

Kupffer cells get activated and the sellate cells also get activated and produce collagen
Fenestrations start to close up due to collagen deposition
Sinusoidal pressure thus increases- portal hypertension
Many hepatocytes die and others get surrounded by fibrous tissue
Lose the hexagonal lobe structure and portal triads bridge

How well did you know this?
1
Not at all
2
3
4
5
Perfectly
16
Q

Where does bile flow within the liver?

A

Bile is collected in the bile canaliculi between hepatic cells which lead to canals of Hering which drain into bile ducts in the portal triads

How well did you know this?
1
Not at all
2
3
4
5
Perfectly
17
Q

How is lymph formed in the liver?

A

Lymph is formed by filtration of the plasma into the spaces of Disse as blood flows through the sinusoids
Filters through space of disse then lymph tracts are formed although the microanatomy is not clear

How well did you know this?
1
Not at all
2
3
4
5
Perfectly
18
Q

What are the following labels?

A
How well did you know this?
1
Not at all
2
3
4
5
Perfectly
19
Q

What are the following missing labels?

A
How well did you know this?
1
Not at all
2
3
4
5
Perfectly
20
Q

What are the two main functions of the liver in terms of metabolism?

A

Glucose metabolism
Bilirubin metabolism

How well did you know this?
1
Not at all
2
3
4
5
Perfectly
21
Q

How is glucose regulated in the liver?

A

Insulin from pancreas stimulates formation of glycogen in the liver
Glucagon from pancreas stimulates release of glycogen in the liver

How well did you know this?
1
Not at all
2
3
4
5
Perfectly
22
Q

How is bilirubin metabolism regulated in the liver?

A

Haemoglobin in the blood is ultimately broken down to bilirubin
If there is high levels will be turned to unconjugated the liver will turn it to conjugated and it will either go into the billary system to the small intestine and faeces or excreted in the urine

How well did you know this?
1
Not at all
2
3
4
5
Perfectly
23
Q

How does the liver deal with toxins?

A

Toxins gathered through skin, breathing or food
Through help of co-enzymes it turns them into water soluable waste products which are put into the bile into the stoo l or excreted in the urine

How well did you know this?
1
Not at all
2
3
4
5
Perfectly
24
Q

What causes and are the symptoms of jaundice?

A

Yellowing of skin and eyes is associated with accumulation of bilirubin in the skin, mainly caused by liver and gallbladder disorders
Causes- gallstones, tumours, cirrosis due to e.g. alcohol

How well did you know this?
1
Not at all
2
3
4
5
Perfectly
25
What are some routine liver function tests?
Bilirubin ALT and AST GGT Alkaline phosphatase Albumin Prothrombin time ratio
26
What does prothrombin time and albumin reflect?
Ability of blood to clot- clotting factors produced by liver Synthetic function of liver Same for albumin- synthesised in albumin
27
How often are red blood cells broken down via haemolysis?
Every 3 months
28
What does failure to clear gut derived toxins result in?
Failure to clear gut derived toxins from the liver such as NH3 results in an overwhelming number of toxins circulating in the blood which can cause encephalopathy Symptoms include drowsiness and confusion
29
Why in liver failure can clotting factors and anticoagulants be balanced?
The liver produces both clotting factors and anticoagulants so it may stop producing both and they will still be in balance with one another
30
What is the half life of clotting factors and albumin?
Clotting factors= 6-12 hours Albumin= weeks
31
What is the difference between chronic and acute liver failure?
Time scale; acute is <2-3 months and chronic is >2-3 months Usually have different aetiologies and different clinical presentations
32
What signs are there in acute liver disease?
High ALT Uncommon- with jaundice and coagulopathy Rare- with jaundice/coagulopathy and encephalopathy
33
What is the most common cause of acute liver injury?
Paracetemol overdose- 80-90% of cases
34
What are causes of acute liver failure?
Drugs Acute viral infections (Hep B,A,E) Autoimmune hepatitis Seronegative (non A-E) hepatitis Vascular diseases Metabolic diseases such as Wilson's Cancer Ischaemia due to hypotension Toxins- amanita phalloides mushroom and carbon tetrachoride
35
What drugs can cause acute liver failure?
Antibiotics especially anti-TB meds Antiepileptics Herbal remedies Ecstasy Paracetemol
36
What is Wilson's disease?
Accumulation of copper, causes acute liver failure. Commonly seen in teens and young adults
37
What is stigmata of cirrhosis?
Clinical features of chronic liver disease Include spider naevi, palmar erythema, jaundice, hair loss, leuconychia, asterixis, ascites
38
What is the antidote to paracetemol overdose?
N-acetyl cysteine infusion
39
How do you treat coagulopathy in acute liver failure?
Give Vit K - it is a substrate that is required for certain clotting factor synthesis (II, VII, IX, X) If this does not work, give fresh frozen plasma which contains clotting factors, however you cannot measure liver function through clotting tests
40
What signs indicate a patient will not recover spontaneously in a paracetemol overdose?
Pro-thrombin time > 100 AND anuric or creatinine > 300 AND Grade 3-4 encephalopathy (coma)
41
What does malaise mean?
Feeling 'out of sorts'
42
What does a ALT falling in acute liver disease show?
Injury is getting better OR running out of hepatocytes to die
43
What signs indicate a patient will not recover spontaneously in non-paracetemol acute liver failure?
3 out of 5= unlikely to recover spontaneously - age < 10 or > 40 - aetiology (drug or seronegative cause worse than viral) - prothrombin time > 50 - bilirubin > 300 - Time from jaundice to encephalopathy < 7 days
44
What is the management for acute liver failure?
Identify and treat the underlying cause (NAC for paracetemol, antivirals for Hep and steroids for autoimmune hepatitis) Supportive care, monitoring and liver transplant if needed
45
Why can hepatic encephalopathy occur in chronic liver failure?
- Failure of hepatocyte function (NH3 clearance) - Portosystemic shunting where new veins arise and blood from portal system bypasses liver into the systemic circulation e.g. eosphageal varices
46
What can trigger hepatic encephalopathy?
Constipation Drugs such as opiates and sedatives Dehydration Infections GI bleeding
47
What is ascites and what can it result in?
A condition in which fluid collects in spaces within the abdomen Causes low albumin, portal hypertension and renal hypoperfusion
48
What are the most common causes of chronic liver disease?
ANY CAUSE OF CIRRHOSIS - Alcohol - NAFLD - Hepatitis B or C - Haemochromatosis - Wilsons disease - Primary biliary cholangitis - Autoimmune hepatitis
49
What is Haemochromatosis?
Haemochromatosis is an inherited condition where iron levels in the body slowly build up over many years.
50
What is cholangitis?
Cholangitis is an inflammation of the bile duct system
51
What is spider naevi?
Sign of chronic liver failure, a cluster of minature red blood vessels under the skin
52
What is important to do when you suspect alcohol related cirrhosis?
Exclude other conditions including: hepatitis B/C haemochromatosis autoimmune liver disease
53
What is the management for chronic liver failure?
Identify and treat underlying cause Abstinence for alcohol Antivirals for hepatitis B/C Steroids for autoimmune hepatitis No treatment for jaundice Low salt diet and diuretics for ascites Laxatives and antbiotics for encephalopathy Liver transplantation if appropriate
54
What is given in alcohol withdrawal patients?
Diazepam Vit B supplements (Pabrinex/thiamine)
55
What are ascites treated with?
Low salt diet and diuretics
56
What are varices (expanded blood vessels in the esophagus to stomach) treated with?
Beta-blocker to reduce pressure / risk of bleeding
57
What are the clinical symptoms of hepatitis?
Jaundice Dark urine Clay-coloured stool Nausea and vomiting Loss of appetite Fever Abdominal pain Weakness
58
What is hepatitis?
Hepatitis is an inflammation of the liver that is caused by a variety of infectious viruses and noninfectious agents
59
What tests can be done to check for viral causes of hepatitis?
Enzyme immunosorbent assays Viral antigen tests Anti-viral antibody tests PCR for viral load Biopsy- not first line test
60
What hepatitis viruses can be transmitted parentally or sexually?
Hepatitis B,C,D
61
What is parental transmission?
Through blood or blood products
62
What hepatitis viruses are transmitted fecal-orally through food or water?
Hepatitis A and E
63
What hepatitis viruses are eneveloped?
Hepatitis B,C,D
64
Who can hepatitis D infect?
Only can infect someone who is hepatitis B positive
65
What hepatitis virus infections can become chronic?
B,C,D
66
What is the incubation time of hep A, and who does it affect?
Incubation time is 10-50 days then there is an abrupt onset of symptoms commonly with pyrexia (fever), can be asymptomatic Primarily seen in children and young adults
67
How is hepatitis A treated?
Treatment= supportive Resolves spontaneously followed by life long immunity
68
How is hepatitis A diagnosed?
Specific diagnosis is made by the detection of (IgM) antibodies in the blood. IgG antibodies are also present and RNA is in the blood, both can be tested forf
69
What is the incubation time for hep B virus and who is it seen in?
40-180 days Primarily seen in babies and young adult
70
How can hep B be transmitted?
Parentally, sexually and vertically (mother to baby in pregnancy)
71
What is the treatment for hep B infection?
For chronic infection Interferon alpha OR antivirals (eg, tenofovir, entecavir) There is also a surface antigen vaccine available for prevention
72
What are the different hep B antigens (and antibodies) that can be tested for?
Hep B surface antigen (HBsAg) found in acute and chronic Hep B core antigen (HBcAg) found in recent infection Hep B E antigen (HBeAg) found in active Anti-HBcAg IgG and IgM can be found- recent or past infection
73
In what areas of the world are chronic hep B carriers most high?
South-East Asia, parts of China, sub-saharan Africa
74
How is Hep C usually diagnosed in patients?
The acute phase is often completely asymptomatic, patients usually picked up randomly on screens when they are in the chronic stage
75
Is there a vaccine for Hep C?
NO
76
What is the treatment for Hep C chronic infection?
Antivirals such as protease inhibitors
77
What is chronic infection of hep B and C associated with?
Hepatocellular cancer
78
What are the different tests that can be done to test for hep C?
Anti Hep C antibodies- recent or past infection Hep C antigens- active infection PCR- determines viral load
79
What are the two ways in which Hep D can infect someone?
Co-infection with hep B, at the same time Super infection on a chrinic hep B infection
80
In the UK, what is the main form of transmission of hep E?
Pork from sausages
81
What is the treatment for hep E?
Supportive No vaccine available
82
In what patients can chronic hep E infection occur?
Only in patients with transplants
83
Other than hepatitis viruses, what other viral causes can cause hepatitis?
Non A-E hepatitis Epstein barr virus Cytomegalovirus Herpes simplex virus Rubella virus Enteroviruses Yellow fever virus
84
What can occur in chronic infection of hepatitis viruses?
After 15-20 years can cause liver cirrhosis which cannot be treated and requires transplantation
85
What is a viral envelope?
A viral envelope is the outermost layer of many types of viruses. It protects the genetic material in their life cycle when traveling between host cells.
86
What are the symptoms that arise from an acute hep A,B,C,D,E infection?
Most people do not experience any symptoms when newly infected. However, some people have acute illness with symptoms that last several weeks, including yellowing of the skin and eyes (jaundice), dark urine, extreme fatigue, nausea, vomiting and abdominal pain Can be asymptomatic in all of them however
87
What vitamin do stellate cells store?
Vitamin A
88
What does the sinusoidal wall provide for?
(a) blood cleansing e.g. of toxins (b) haemopoiesis in the embryo (c) bringing plasma into intimate contact with the hepatic cell for its metabolic functions of storage, synthesis and transformations
89
What occurs in the different zones of the liver acinus?
90
What are the most important functions of the liver?
91
What is xenobiotic metabolism?
Drug metabolism, sometimes called xenobiotic metabolism, is the process of biotransforming less polar compounds into more polar compounds that can be excreted more easily. Biotransformation typically occurs through a series of enzymatic reactions involving the cytochrome P450 system.
92
How is paracetemol metabolised and what happens in overdose?
NAPQI has a half life of ms and is very toxic NAPQI is mopped up by glutathione In overdose, glutathione stores are depleted and NAPQI builds up. NAC is the antidote; is a glutathione donor
93
How is alcohol metabolised by the liver?
94
Why does alcohol flush syndrome occur?
Due to a deficiency of ALDH-2 enzyme
95
What are the differences in phase 1 and phase 2 drug metabolism?
Phase I: Yields a polar, water-soluble, metabolite that is often still active. Many of the products in this phase can also become substrates for phase II. Phase II: Yields a large polar metabolite by adding endogenous hydrophilic groups to form water-soluble inactive compounds that can be excreted by the body.
96
What is fatty liver?
Fatty liver refers to excessive accumulation of triglycerides inside the liver cells
97
What are the most common causes of fatty liver?
NAFLD- obesity and diabetes type II Alcohol Wilson's disease, hepatitis C, HIV, low protein diet
98
What does metabolism of alcohol produce?
Produces free radicals
99
How does alcohol cause fatty liver disease?
Oxidative stress through NADH production causes hepatocyte production Large amount of alcohol through NADH production enhances lipolysis and release of free fatty acids The reactive oxygen species produced causes mitochondrial dysfunction (stops fatty acid oxidation)
100
How much alcohol needs to be consumed for fatty liver disease to occur?
Consumption of > 60g alcohol a day
101
What is steosis?
Simple fatty liver (steatosis) – a largely harmless build-up of fat in the liver cells that may only be diagnosed during tests carried out for another reason
102
What can you stain for to check if it is alcoholic fatty liver?
Mallory's hyaline bodies; intermediate keratin filament proteins Only present in alcoholic fatty liver, not NAFLD
103
What is another term for NAFLD?
Metabolic associated fatty liver disease
104
What criteria do you need for metabolic liver disease (ATP III criteria)?
At least 3 of: Abdominal obesity (waist ratio) 102cm men and 88cm women Serum triglycercides > 150mg/dl HDL < 40 men and <50 women mg/dl BP > 130/85 Fasting blood glucose > 100 mg/dl
105
Who is most likely to get NAFLD?
Closely linked to obesity and type 2 diabetes
106
How may microbiota be linked to NAFLD?
Bacteria may produce ethanol like products which contributes to fatty liver
107
What is NASH?
Subgroup of patients that develop non-alcoholic steatohepatitis Continuous fat turnover and inflammation causes damage to hepatocytes and they are replaced with fibrous tissue
108
What is the spectrum of NAFLD?
109
What are the clinical features of NAFLD?
- Can be asymptomatic - Abnormal liver biochemistry tests - Abdominal pain or a non-specific 'fullness' - Heptaomegaly, bigger liver than usual - Acanthosis nigricans for children (pigmentation at the back of the neck)
110
How is NAFLD diagnosed?
Chronic elevation of serum aminotransferases and other abnormal laboratory features Exclusion of other liver diseases Imaging studies- cannot easily detect steatosis Liver biopsy occasionally
111
What laboratory features can be seen in NAFLD?
Increased ALT and AST Increased GGT Increased glucose and HOMA-IR Increased total cholesterol and triglycerides
112
What is HOMA-IR?
Homeostasis model assessment of insulin resistance It approximates insulin resistance. HOMA-IR = fasting glucose (mmol/L) X fasting insulin (mU/L) / 22.5 HOMA-IR >3 severe insulin resistance in non diabetic patients
113
How does insulin resistance cause fatty liver disease?
Insulin resistance in adipose tissue results in a reduction in the uptake of circulating free fatty acids This leads to reactive oxygen species production, mitochondrial dysfunction and activation of fibrosis pathways
114
What is the roll of reactive oxygen species in NASH?
Lipid peroxidation which causes cell death Neutrophil infiltration which causes inflammation Cytokines are induced and activates stellate cells which causes fibrosis Fas ligand is induced leading to apoptosis in the mitochondria
115
How is fat important in pro-inflammatory and anti-inflammatory events?
Adipose tissue is a physiological reseviour of hormones and cytokines
116
What treatment is there for NAFLD?
Weight reduction Diet- low corbs and saturated fat, high vit E and C 2-3 cups of coffee a day may be beneficial Exercise Bariatric surgery Drugs; cannabinoid receptor antagonists, insulin sensitisers such as metformin and antioxidants
117
What is the pathophysiology of cirrhosis?
Fibrotic tissue disrupts the hepatic architecture Increases resistance and causes portal hypertension There is disorganised regeneration and hepatocyte function deregulated Leads to nodules of hepatocytes surrounded by fibrosis
118
What can portal hypertension lead to?
Bleeding from varices Encephalopathy (flapping tremor, confusion) Ascites Liver failure; low albumin, prolonged PT, low urea high ammonia
119
What are varices?
Varices are expanded blood vessels in the esophagus, the tube that connects the mouth and stomach. Esophageal varices are a common complication of advanced cirrhosis Blood bypasses the liver- through the coronary vein to the lower part of the esophagus. Then through azygous and hemiazygous systems to vena cava
120
How are varices treated?
Variceal ligation: In this procedure, tiny elastic bands are wrapped around the varices to cut off blood flow through the varices. Medications to slow blood flow into the portal vein and diverting blood flow away from the portal vein through e.g. stents
121
What are cholangioles?
Ductules occurring between a bile canaliculus and an interlobular bile duct.
122
What are the different cells present in the liver?
123
What can pass through the endothelial gaps in the sinusoids?
Metabolites, proteins, drugs, lipoproteins, viruses
124
By what cycle do hepatocytes metabolise proteins and what proteins do they metabolise?
Via the Krebs/TCA/ citric acid cycle Synthesises hormones, neurotransmitters, plasma proteins, nucleotides, non-essential amino acids, ferratin, coaguglation factors, CRP and albumin
125
Why can varices cause encephaopathy?
Waste products (UREA) from protein metabolism enter the systemic circulation and travel to the brain and affect astrocytes- causes encephalopathy
126
What are the 3 phases of drug metabolism
Go from lipid soluable form suitable for absorpsion to a water soluable form suitable for excretion PHASE 1- Oxidation, reduction or hydrolysis. Oxidation most common- endoplasmic reticulum of hepatocytes PHASE 2- combining substances made in phase 1 with an endogenous subsatnce to form an inactivae conjugate that is soluable- can be excreted PHASE 3- excretion of compound into bile, mediated by ATP
127
What does bile consist of?
Constituents: Bile acids – primary (made in liver), secondary (absorbed). Allows digestion of dietary fats through emulsification Phospholipids Cholesterol Conjugated drugs Electrolytes: Na, Cl, HCO3, Cu Bilirubin
128
What vitamins and minerals are stored within the liver?
Vit A,D,B12 stored in large amounts Small amounts of Vit K and folate Metabolises cholecalciferol vitamin D3 to activated 25-(OH) vitamin D Minerals- iron and copper stored
129
What is the precursor to cirrhosis?
Fibrosis
130
How does liver cirrhosis occur?
Fibrosis= Healing response of liver to chronic injury e.g. viruses, drugs Hepatic injury can result in inflammatory mediators being released- results in calcium matrix deposition At this stage, it is reversible Repeated injury= scar matrix continuous to accumulate and liver architecture is disrupted, hepatocytes fail to regenerate and fail to undergo their functions Not reversible
131
What inflammatory mediators are released in response to hepatic injury
IGF-1 and TGF-alpha Activate stellate cells which then produce collagen and more pro inflammatory cytokines
132
What does collagen deposition in the space of disse cause?
It causes a decrease in metabolite and oxygen exchange across space of Disse which causes hepatocyte dysfunction. This leads to increased angiogenesis (new blood vessels), sinusoidal remodelling and hepatocyte death This leads to increased sinusoidal resistance and portal hypertension
133
What happens due to portal hypertension?
Vasodilators released causes salt and water retnetion Increased cardiac ouput Increased portal venous outflow
134
What are the physical signs in patients with cirrhosis?
135
What are the physical signs in patients with cirrhosis?
136
What is decompensated cirrhosis?
Decompensated cirrhosis is defined as an acute deterioration in liver function in a patient with cirrhosis and is characterised by jaundice, ascites, hepatic encephalopathy, hepatorenal syndrome or variceal haemorrhage
137
How is fibrosis/cirrhosis diagnosed?
Transient elastography (Fibroscan) used in combination with serum markers and symptoms
138
What is the most common abnormality to have in the liver?
Non-alcoholic fatty liver disease, 95% of cases are linked to obesity
139
How does chronic injury to the liver cause portal hypertension?
Chronic sustained injury= cirrhosis, which increases the resistance in the liver This causes hypertension in the portal vein; goes from 3-5mmHg to upto 14mmHg
140
What clotting factors does the liver produce?
All clotting factors are produced in the liver except for 8 8 is synthesised in endothelial cells of which the liver has lots of
141
Why does transplant cure haemophilia?
Lots of haemophiliacs have cirrhosis Transplant cures haemophilia as factor 8 is made in blood vessels and the liver has lots of them
142
What are the holes in the epithelium lining of the sinusoids called?
Fenestrations
143
What about hepatocytes makes transplants easier?
They do not have HLA antigens on them so only blood group needs to match Bile ducts have antigens so rejection can still arise from that
144
What are the causes of a isolated rise in bilirubin?
Gilberts syndrome and hamolysis
145
What is Gilbert's syndrome?
Gilbert's syndrome is an inherited (genetic) liver disorder that affects the body's ability to process bilirubin. In Gilbert's syndrome, the faulty gene means bilirubin is not passed into bile at the normal rate. Instead, it builds up in the bloodstream
146
What is hemolysis?
Hemolysis is the medical term used to describe the destruction of red blood cells
147
How is bilirubin broken down?
Haem (contains iron) is broken down to biliverdin and bilirubin Once it gets to the liver it gets internalised and becomes water soluable in the form of diglucuronide (conjugated) Is then put into the biliary system into the bile and then stool Some is reabsorbed as urobilinogen
148
What is the diagram that shows bilirubin metabolism?
149
What are the two enzymes that are measured in liver function tests?
Alanine transaminase (ALT) Aspartate transaminase (AST)
150
What is the half life of ALT and AST?
Hours
151
When do AST and ALT levels rise?
Increased when hepatocytes die, ALT and AST will leak out in blood
152
What are normal AST and ALT levels?
Men= <30, women= <19 all dead e.g. in paracetemol= 10000, 10% dead= 1000, 1% dead= 100
153
What does the ratio of AST: ALT tell us when AST>ALT?
Alcoholic liver disease or advancing fibrosis
154
What do the AST and ALT measurements tell us?
How many hepatocytes have died in the last 12 hours
155
What does alkaline phosphatase show in LFTs?
If it is high tells us there is something that is irritating the bile ducts- stones or autoimmune disease However, it is not specific (also found in bone, intestines and placenta) Need to check gamma GTP to confirm its a liver cause
156
What does high levels of gamma GTP show?
Enzyme induction only Enzyme induction is a process in which a molecule (e.g. a drug) induces enhances the expression of an enzyme.
157
What can cause enzyme induction in the liver?
Alcohol, obesity, phenytoin and carbamazipine (epilepsy drugs), NAFLD and cirrhosis
158
What causes abnormal levels of albumin?
Low due to dilution or reduced synthesis why the liver High in dehydration or malnutrition
159
What are albumin levels like in cirrhosis?
Often normal in cirrhosis until liver is failing
160
What is prothrombin time?
Good marker of synthetic function of the liver Very good marker of acute liver failure but rarely very abnormal in cirrhosis
161
What are different prothrombin times?
Normal > 10s In paracetemol overdose, can be > 100s
162
What happens when there is a mild increase in ALT levels?
Commonly seen- NASH, hepatitis C, alcoholic liver disease and alcoholic hepatitis
163
What are the next steps after abnormal LFTs are found?
Check for hepatitis viruses Autoantibodies for autoimmune diseases Ultrasound scan and referral
164
Why do bilirubin levels go up in fasting?
Ketones displace uncoagulated bilirubin from albumin
165
What enzyme does Gilbert's syndrome effect/
Gilbert's syndrome is determined by genetic defects in UDP-glucuronyltransferase (Rate limiting enzyme that converts unconjugated to conjugated)
166
What can cause an increase in aminotransferase (ALT)?
Alcohol, cirrhosis, medication such as paracetemol overdose, phenytoin, carbamazepine, acute viral hepatitis, NAFLD or neoplasms
167
What tests are used to check on liver synthetic function?
Albumin and pro-thrombin time
168
What can a low albumin show?
Serum albumin levels fall with all liver diseases, however can be non-hepatic causes= abnormal losses in urine, malnutrition or malabsorpsion
169
What can a high pro-thrombin time indicate?
Liver disease, bleeding disorder, vit K deficiency or use of anticoagulants such as warfarin
170
At what level of bilirubin is jaundice seen?
> 35 umol/L
171
What does bile consist of?
Water, bile salts, cholesterol and bilirubin
172
What is unconjugated bilirubin added to to make it water soluable?
Glucuronic acid in the liver- becomes conjugated
173
What is bilirubin excreted as in the stool?
Stercobilin
174
What are the 3 main categories of jaundice?
-Pre-hepatic -Hepatic -Post hepatic
175
What are the main causes of pre-hepatic jaundice and what happens in it?
Haemolysis Gilbert's syndrome Causes unconjugated bilirubin levels to rise
176
What are the main causes of hepatic jaundice and what happens in it?
Hepatocyte damage due to - viruses - drugs - alcohol - autoimmune diseases - sepsis - right heart failure Rise in both unconjugated and conjugated bilirubin
177
What symptoms occur in post-hepatic jaundice?
Pale stools and dark urine Bilirubin is conjugated so is water soluable and gets excreted into the urine Also itch- bile salts end up in the skin
178
What are some causes of post hepatic jaundice?
Gallstones Cholangiocarcinoma Pancreatic tumour
179
What are the different malignancies that can occur in obstructive jaundice?
Lymphadenopathy- compression from nodes if metastases has occured
180
What is Whipple's procedure?
Type of operation that removes cholangiocarcinomas, ampulla or pancreatic cancers Take out gallbladder, all of duodenum, part of stomach, distal bile duct and putting them back together
181
What is endoscopic retrograde cholangiopancreatography?
Camera used to place wires up the ampulla and bile duct Can help drag gallstones out with a balloon or take biopsies and put stents in place for cancers that are blocking the tube
182
What are the signs of liver disease on examination?
Peripheral stigmata of liver disease Hepatomegaly Splenomegaly Ascites
183
What are the peripheral stigmata of liver disease signs?
- Finger clubbing - Palmar erythema - Dupuytren's - Virchows nodes - Jaundice - Spider naevi -Gynaecomastia
184
What is palmar erythema?
Red palms
185
What is dupuuytrens contracture?
Dupuytren contracture is a painless condition that causes one or more fingers to bend toward the palm of the hand
186
What is Virchow's node?
big node in the left supraclavicular fossa (sign of cancer
187
What is spider naevi?
A lesion which contains a central, red spot and reddish extensions which radiate outward like a spider's web if pressed on, it blanches
188
What is gynaecomastia?
Men developing breasts
189
What does the ALP:ALT/AST ratio tell us?
If ALP > ALT/AST = obstructive picture If ALT/AST > ALP = liver disease
190
What artery supplies the gallbladder?
Cystic artery (branch of the right hepatic artery)
191
Who is more likely to develop gallstones?
Females Forty Fat Fair
192
What is the clinical presentation of gallstones?
80% are asymptomatic - RUQ or epigastric pain - Colicky (builds up and dies down) but eventually becomes constant - Dyspepsia, nausea, vomiting
193
What is cholecystitis?
Cholecystitis is a redness and swelling (inflammation) of the gallbladder. It happens when bile becomes trapped and builds up. In most cases this happens when gallstones block the bile duct Presents with colicky or constant pain and temperature
194
What is biliary colic?
If a gallstone becomes trapped in an opening (duct) inside the gallbladder, it can trigger a sudden, intense pain in your tummy that usually lasts between 1 and 5 hours. This type of abdominal pain is known as biliary colic.
195
What is the management of gallstones?
- analgesia - antibiotics (if stones get infected) - ERCP - surgery - percutaneous drainage of gallbladder
196
What is the name given to the surgery of removing the gallbladder?
Laparoscopic cholecystectomy