What are the normal appearances of the liver on MRI scans, when compared to the spleen?
T1W:Normal liver is slightly higher signal intensity when compared to the spleen. Focal liver lesions are normally low signal on T1 weighted. T2W: Normal liver is less than or equal to the spleen in signal strength. most lesions are high intensity.
What are some of the causes of fatty infiltration of the liver?
Steatosis is due to the hepatocytes becoming filled with cholesterol and triglycerides. Causes include: 1: obesity, 2: alcoholism, 3: steroid therapy, 4: diabetes, 5: pancreatitis, 6: glycogen storage diseases 7:chemotherapy.
What is the role of trans-jugular intrahepatic portosystemic shunts (TIPS)?
1: Effective treatment for portal hypertension. 2: Long-term control of oesophageal varices.
How can cirrhotic regenerative nodules be differentiated from malignant neoplastic lesions on CT
Regenerative nodules have the same imaging characteristics as normal hepatic parenchyma but stand out because of their surrounding fibrous bands They measure 3 to 10 mm in size. CT: most regenerative nodules are isointense to the surrounding liver parenchyma and are usually not detected. Occasionally they will appear hyperintense due to iron deposition (siderotic nodules).
How can cirrhotic regenerative nodules be differentiated from malignant neoplastic lesions on MRI?
T1 weighted: variable signal intensity but they do not show early arterial enhancement unlike hepatocellular carcinoma. T2 weighted: May be hypo-intense (siderotic nodules), isointense but not hyperintense unlike most liver metastases and dysplastic nodules.
DDx for patchy areas of low attenuation within the liver, post IV contrast?
1: Cirrhosis 2: Hepatitis 3: Portal Vein Thrombosis 4: Chr. Budd-Chiari 5: Lymphoma 6: Sarcoidosis
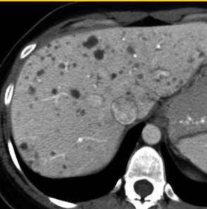
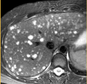
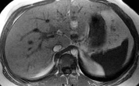
DDx for Non-enhancing Cystic Liver Lesions

Top Differential Diagnoses:
Biliary Hamartoma:
Fx:
NECT
CECT
MR Findings
Clinical Mx:
