What is U/S best at determining?
Focal vs. diffuse disease
When is ultrasound preferred?
In patients with large accumulation of peritoneal fluid or those patients with larger fat stores, i.e. cachexia or young patients
When are radiographs preferred?
In patients with a lot of GI tract gas, food in the GI tract, or peritoneal gas
T/F: Often the results of the radiographs and ultrasound are non-specific
TRUE
If disease is suspected and no radiographic or ultrasonographic changes found, then what?
Usually an ultrasonographic guided biopsy is indicated
What is the largest organ within the cat and dog?
Liver
T/F: Liver lobes are usually not visible in the dog and cat
TRUE
*Exception: the lobe that points caudoventrally on the lateral projection (L lateral in dog, R lateral in cat)
T/F: Individual liver lobes cannot be seen ultrasonographically
FALSE–they can be seen
What does the cranial margin of the liver silhouette with?
Diaphragm
The R and L margin of the liver blend in with the abdominal body wall unless there is ___ present
Fat
Which margin of the liver is often delineated due to the falciform fat?
Ventral margin
What aspect is always difficult to see? Why?
Caudal aspect–due to summation, silhouetting, and superimposition of the adjacent organs
What does the uniform soft tissue caudal to lungs extend to on the lateral view?
Costal arch
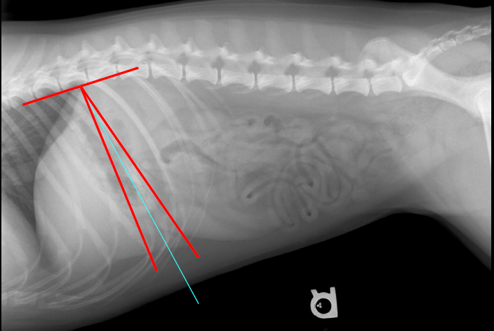
What is the gastric axis?
Line drawn through the fundus to the pylorus
What should the gastric axis be parallel/perpendicular to?
Should be parallel with the ribs and perpendicular to the spine
On ventrodorsal view the gastric axis is located over the ____ thoracic vertebrae
10th-12th
Is there something wrong with this radiograph?

Nope! The gastric axis is within the reference lines
What might be seen on a radiograph of an enlarged liver?
What might be seen on a radiography of a small liver?
T/F: Liver may appear enlarged if lungs are over-inflated due to dyspnea and pleural effusion
TRUE
T/F: Liver may appear small in diaphragmatic hernias or deep-chested dogs
TRUE
Is it possible for the spleen to slide between the liver and stomach?
YES