Liver Functions
Pattern of Blood supply of LIver
Portal v.- 75% poorly ox blod from intestines
Hepatic a.- 25%

Classic Lobule Structure
Liver ligaments: falciform & ligamentum teres (umbilical v. remnant)
Classic lobule= 6 sided polyhedral prism

Liver Vasculature
Hepatic vein (IVC, clean blood) anastomoses with hepatic artery (branch of celiac trunk) and portal vein (from digestive organs).
Digestive system–> Liver–> Other Organs
Structure of Classic Lobule

Biliary Duct

Liver Acinus
Short axis between 2 portal triads and long axis between 2 central veins. Looks like a diamond
Portal Lobule
Between 3 central v.
Liver like exocrine gland
Acinus into 3 zones
zone 1= most O2 rich, perilobular
Zone 3= most O2 poor, centrilobular *necrosis most common*

Hepatocytes
Ea can perform most of liver f
Common to see polyploidy due to binuclear cells, lysosomes and peroxisomes.
Hepatocytes very active!
Hepatic Sinusoids
Specialized caps carry blood through liver
Associated w/ endothelial cells
Kupffer cells: APC
Ito cells- fat storing (vit A), found in space of Disse
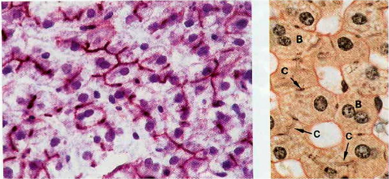
Bile Canaliculi
Small enlargement in extracell space b/t 2 hepatocytes. Sealed by zonula occludens
Form continuous branching sys w/in lobule.
Join bile ducts in portal triad via canals of Hering
2 bile ducts exit liver & merge to form Hepatic duct.

CIrrhosis
Hepatic Cell Injury
Intesne collagen secretion in myofibroblasts (from Ito cells)

Duct Systems

Gallbladder
Reservoir for bile & concentrates it by removing H2O
Mucosa
Muscularis externa
Serosa
**NO SUBMUCOSA OR MUSCULARIS MUCOSAE