The gallbladder stores and concentrates bile (~50 ml), but is not an essential orgen.
What supplies blood to the gallbladder?
What controls bile flow?
What percentage of biliary tract disease is attributable to gallstones?
over 95%
What is the primary site of gallstone impaction?
The rapid tapering of the gallbladder neck just proximal to the cystic duct.
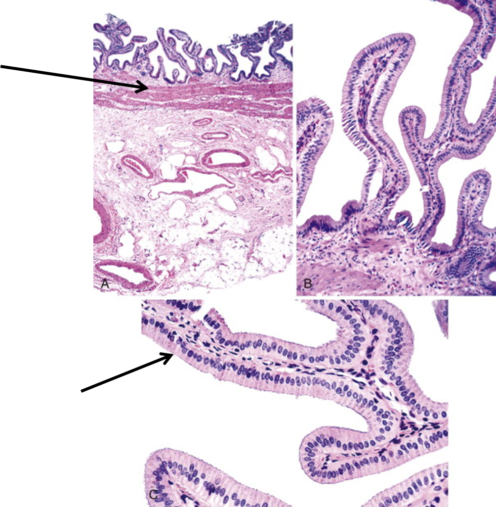
On histological exam you will notice that the gallbladder differs from the remainder of the GI tract in that it lacks a discrete muscularis mucosae and submucosa.
Identify the indicated structures.

Upper arrow = single smooth muscle layer and subserosal soft tissue.
Lower arrow = Absorptive columnar epithelium of the mucosa
Gallbladder congenital anomalies can arise in the form of:
Shape
Number
Position
Give some examples of each.
Shape
Number
Position
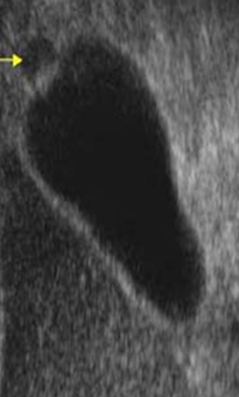
This asymptomatic 2nd year med student was practicing ultrasound on himself when he found the attached image. Concerned he asks you what you think is going on.
You, being a jerk answer… “ooh that looks like gallstones for sure.” Before telling him that you’re kidding and that it actually is?

A phyrigian cap denotes folding of the fundus back upon the gallbladder body.

•Although clinically unimportant, it may be mistaken on ultrasound examination for septation or possibly stone
What are the major components of bile?
Bile salts - chenodeoxycholates
Cholates - yeah I read it as chocolates first too.
deoxycholates
phospholipids
Cholelithiasis impacts 10-20% of the adult population in the developed world.
What are four major risk factors?
What are the two general classes of gallstones?
Do they show up on xray?
15-20% per radiopaedia
“Who ya gonna trust?”

What symptoms do most gallstones present with?
Vast majority (75-80%) are silent.
Although the most frequent outcome is for the patient with a gallstone to remain asymptomatic throughout life, some do develop symptoms.
What are 4 of the most common complications?
Surgical tx of asymptomatic gallstones is discouraged. In what patients is surgery recommended?
3
Patients with risk factors for complications of gallstones may be offered elective cholecystectomy. What are some examples of these risk factors?
In what populations are the prevalence rates of gallstones highest?
What american population has the lowest?
Highest
Lowest
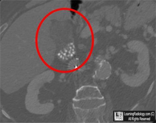
What is shown on this imaging study?

Cholelithiasis
What is shown in this image?

Cholesterolosis - sometimes referred to as “strawberry gallbladder”
What precipitates acute cholecystitis in 90% of cases?
Obstruction of the neck or the cystic duct by a stone.
What are two possible presentations of acute calculous cholecystitis?
Is the incidence of gangrene and perforation of the gallbladder higher in acalculous or calculous acute cholecystitis?
Acalculous - more insidious presentation
What is acute acalculous cholecystitis thought to result from?
Ischemia - cystic artery is an end artery with no collateral circulation
What are five risk factors associated with acalculous cholecystitis?
Acute cholecystitis may present with epigastric or right upper quadrant pain 1-2 hours after ingestion of a fatty meal.
What is a major complication in 10-15% of cases?
What do most authorities agree is the role of infection in the onset of acute cholecystitis?
In acute cholecystitis, the gallbladder is enlarged, edematous and congested. What is the histologic hallmark of acute cholecystitis?
Presence of neutrophils in the gallbladder mucosa and wall
In acute cholecystitis, the mucosa is often, but not invariably ulcerated. If obstruction of the cystic duct results in frank pus in the lumen of the gallbladder, what do we call this?
What is usually present in the bile in this situation?
Empyema of the gallbladder
Enteric organisms