Patient comes in with Hx of MM tear, which anatomy part will you scan?
a. Hip
b. bony pelvis
c. knee
d. ankle
c. knee
Where is Fibula located in relation to the Tibia in coronal view?
a. Anterior
b. Posterior
c. Lateral
d. Medial
c. Lateral
The purpose of magnetic resonance angiography is to image the:
a. Stationary soft tissue.
b. Blood flow.
c. Vessel lumen.
d. Only abnormal vessels
b. Blood flow.
When selecting only one slice at a time during a pulse sequence, which method for providing spatial localization is employed?
a. 3DFT.
b. FFT.
C.FT.
d. 2DFT.
d. 2DFT.
What makes up mortice angle?
a. Tibia, Fibula
b. Tibia, Fibula, Talus
c. Tibia, Fibula, Talus, Os Calcus
b. Tibia, Fibula, Talus
When patient comes in with Hx of AVN of hip which bone will be concern of AVN?
a. Neck of the Femur
b. Head of the Femur
c. Greater tuberosity
d. lesser tuberosity
b. Head of the Femur
b. Achillies
d. Sciatic
a. Sartorius muscle
b. Acetabulum
Which tendon attaches to the Tuberosity of 5th Metatarsal?
a. Peroneal tendon
b. Perotenal tendon
c. Posterior tibilas tendon
d. Anterior tibilas tendon
a. Peroneal tendon
b. Achillies tendon
C. Tibial nerve, Flexor Tendon,
What is the name of the artery next to Femoral Artery?
a. Lateral Femoral artery
b. Medial Femoral artery
C. Profundas femorus artery
d. Popliteal artery
C. Profundas femorus artery
Which nerve courses through the Tarsal tunnel?
a. Fibular
b. Tibial
C. Solus
d. Hollicus longus
b. Tibial
Which tendon attaches inferior to the Os Calcus?
a. Peroneal tendon
b. Achillies tendon
c. Plantar fascia tendon
d. Talofibular tendon
c. Plantar fascia tendon
C. coronal

C. coronal
What kind of exam is this?
a. Wrist
b. Ankle
C. foot

C. foot
What is the anatomical plain for the image above?
a. Axial
b. Sagittal
c. coronal

b. Sagittal
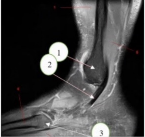
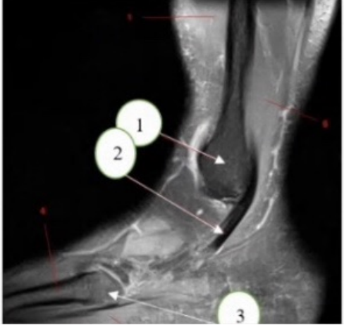
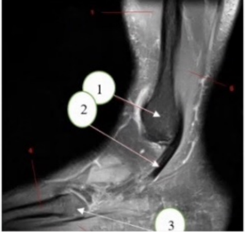
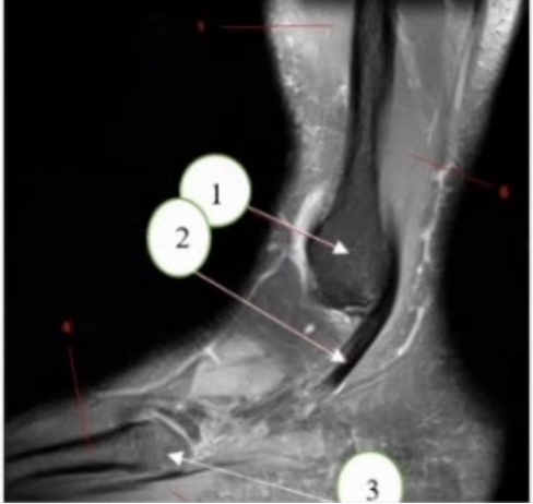
What anatomy is arrow 1 is pointing at?
a. Tibia
b. Fibula
c. Talus

b. Fibula
What anatomy is arrow 2 is pointing at?
a. Pealajurti tendon
b. Peroneal tendon
c achillies tendon
d. Tibialis tendon

b. Peroneal tendon
What anatomy is arrow 3 is pointing at?
a. 15 metacarpal tuberosity
b. 5 metatarsal tuberosity
C 15 melatarsal tuberosity

b. 5 metatarsal tuberosity
Key for 23-24 A medial meniscus B. lateral meniscus C. Tibia D. Fibula

