Lower Limb Flashcards

(48 cards)

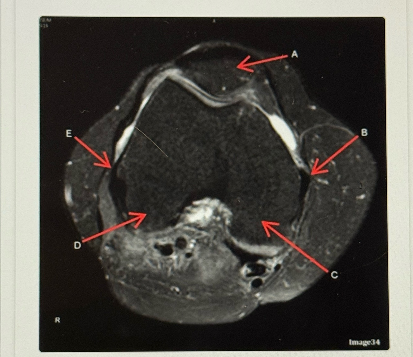
1
Q

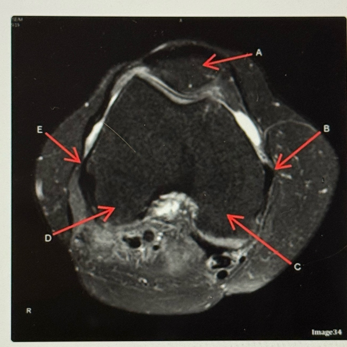
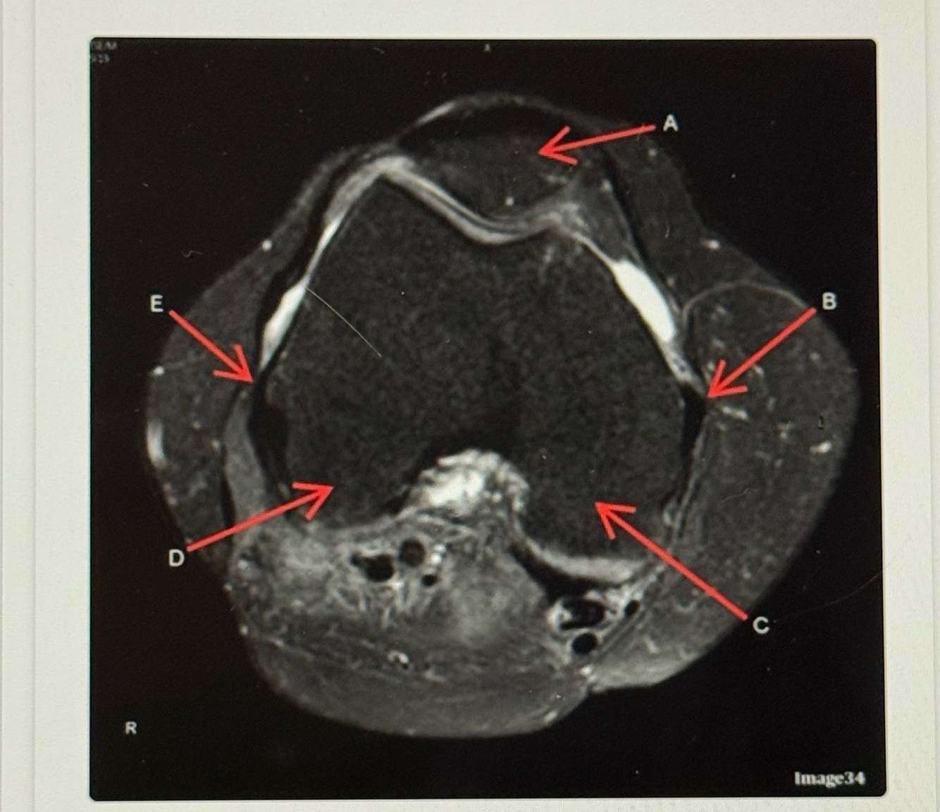
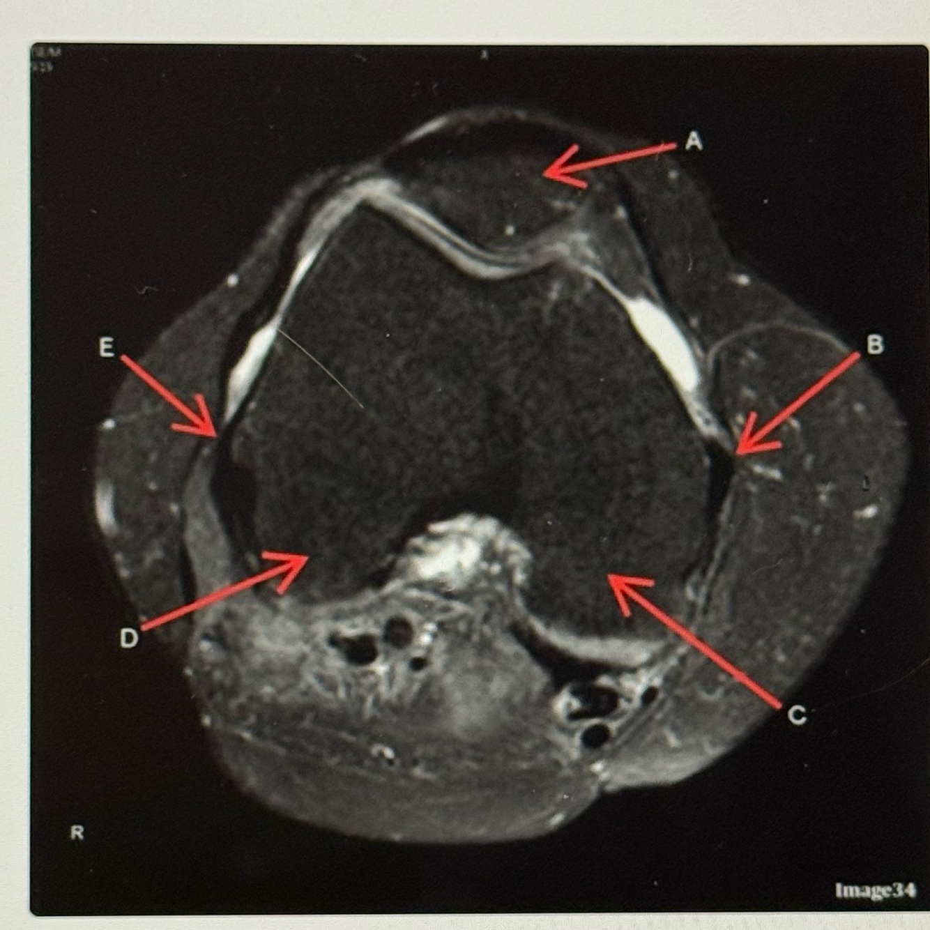
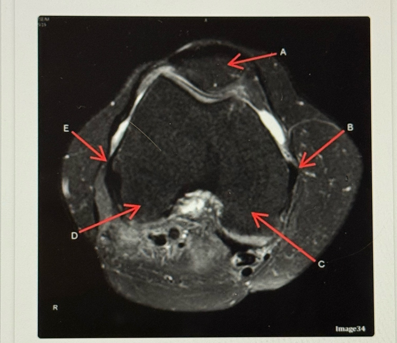
Letter C points to the

A

Vastus medialis muscle

How well did you know this?
1
Not at all
2
3
4
5
Perfectly
2
Q

Letter D points to the

A

Sartorius muscle

How well did you know this?
1
Not at all
2
3
4
5
Perfectly
3
Q

Letter E points to the

A

Medial condyle

How well did you know this?
1
Not at all
2
3
4
5
Perfectly
4
Q

Letter F points to the

A

Medial head gastrocnemius

How well did you know this?
1
Not at all
2
3
4
5
Perfectly
5
Q

Letter G points to the

A

Lateral head gastrocnemius

How well did you know this?
1
Not at all
2
3
4
5
Perfectly
6
Q

Letter H points to the

A

Posterior cruciate ligament

How well did you know this?
1
Not at all
2
3
4
5
Perfectly
7
Q

Letter J points to the

A

Medial epicondyle

How well did you know this?
1
Not at all
2
3
4
5
Perfectly
8
Q

Letter K points to the

A

Medial retinaculum

How well did you know this?
1
Not at all
2
3
4
5
Perfectly
9
Q
A
How well did you know this?
1
Not at all
2
3
4
5
Perfectly
10
Q

Letter B points to the

A

Femur

How well did you know this?
1
Not at all
2
3
4
5
Perfectly
11
Q

Letter A points to the

A

Patella

How well did you know this?
1
Not at all
2
3
4
5
Perfectly
12
Q

Letter C points to the

A

Anterior horn of lateral meniscus

How well did you know this?
1
Not at all
2
3
4
5
Perfectly
13
Q

Letter D points to the

A

Tibia

How well did you know this?
1
Not at all
2
3
4
5
Perfectly
14
Q

Letter E points to the

A

Head of the fibula

How well did you know this?
1
Not at all
2
3
4
5
Perfectly
15
Q

Letter F points to the

A

Posterior horn of the lateral meniscus

How well did you know this?
1
Not at all
2
3
4
5
Perfectly
16
Q

Letter C points to the

A

Patellar tendon

How well did you know this?
1
Not at all
2
3
4
5
Perfectly
17
Q

Letter D points to the

A

Tibia

How well did you know this?
1
Not at all
2
3
4
5
Perfectly
18
Q

Letter E points to the

A

Posterior cruciate ligament (PCL)

How well did you know this?
1
Not at all
2
3
4
5
Perfectly
19
Q

Letter F points to the

A

Femur

How well did you know this?
1
Not at all
2
3
4
5
Perfectly
20
Q

Letter D points to the

A

Lateral femoral condyle

21
Q

Letter C points to the

A

Medial femoral condyle

22
Q

Letter B points to the

A

Medial
Collateral ligament (MCL)

23
Q

Letter A points to the

24
Q

Letter E points to the

A

Lateral collateral ligament (LCL)

25
Letter B points to the
Medial collateral ligament (MCL)
26
Letter A is pointing to the
Medial femoral condyle
27
Letter C points to the
Medial Meniscus
28
Letter D points to the
Tibeal plateau
29
Letter E points to the
Lateral meniscus
30
Letter F points to the
Lateral collateral ligament (LCL)
31
Letter B points to the
Lateral cuneiform
32
Letter C points to the
Cuboid
33
Letter A points to the
Intermediate cuneiform
34
Letter D points to the
Peroneus longus tendon
35
Letter E points to the
Calcaneus
36
Letter F points to the
Achilles tendon
37
Letter G points to the
Medial cuneiform
38
Letter P points to the
Articular cartilage
39
Letter M points to the
Anterior cruciate ligament
40
Letter N points to the
Lateral retinaculum
41
Letter O points to the
Intercondylar fossa
42
Letter K points to the
Medial retinaculum
43
Letter L points to the
Lateral epicondyle
44
Letter H points to the
Posterior cruciate ligament (PCL)
45
Letter D points to the
Sartorius muscle
46
Letter C points to the
Vastus medialis muscle
47
Match
48
Match