What is Pneumonia? (3 things)
What are the classifications of Pneumonia? (3 things)
Why is it important to distinguish between Community vs Hospital acquired pneumonias?
Causative organisms different –> abx treatments will be different
What are the Risk Factors for Pneumonia? (6 things)
What are the causes of Community vs Hospital Acquired Pneumonias? (2 + 3 things)
CAP: Strep pneumoniae / H influenzae
HAP: Gram -ve enterobacteria / Staph aureus / Pseudomonas
What are the pathophysiological steps of Pneumonia? (5 things)
What are the CF of Pneumonia? (9 things)
@ exam
(Bold ones distinguish Pneumonia from Bronchitis)
What severity score should you do to assess if a sus Pneumonia pt needs further investigation / hospitalisation?
CURB-65
What is the CURB-65 score?
1 point for each
What investigations should you do for CURB-65 score 2 (aka hospitalized) Pneumonia patients? (4 things)
What further investigations should you do for CURB-65 score 3+ (aka ITU) Pneumonia patients? (3 things)
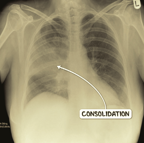
What will a CXR show in Pneumonia? (2 things)

What are the management options for Pneumonia? (5 things)
What is the NICE Abx recommendations for LOW grade COMMUNITY Acquired Pneumonia?
FIRST LINE: Amoxicillin (5 day course)
If allergic: Macrolide / Tetracycline
What is the NICE Abx recommendations for MODERATE - HIGH grade COMMUNITY Acquired Pneumonia?
DUAL Abx Therapy: Amoxicillin + Macrolide (7-10 day course)
Why is it important to check local guidelines for Abx for Pneumonia, esp for HAP? (2 things)
How do you monitor Pneumonia to see if Abx treatment working? (2 things)
What are the complications of Pneumonia? (4 things)